验证数据展示
经过测试的应用
| Positive WB detected in | mouse colon tissue, mouse heart tissue, mouse lung tissue, mouse uterus tissue |
| Positive IP detected in | mouse lung tissue |
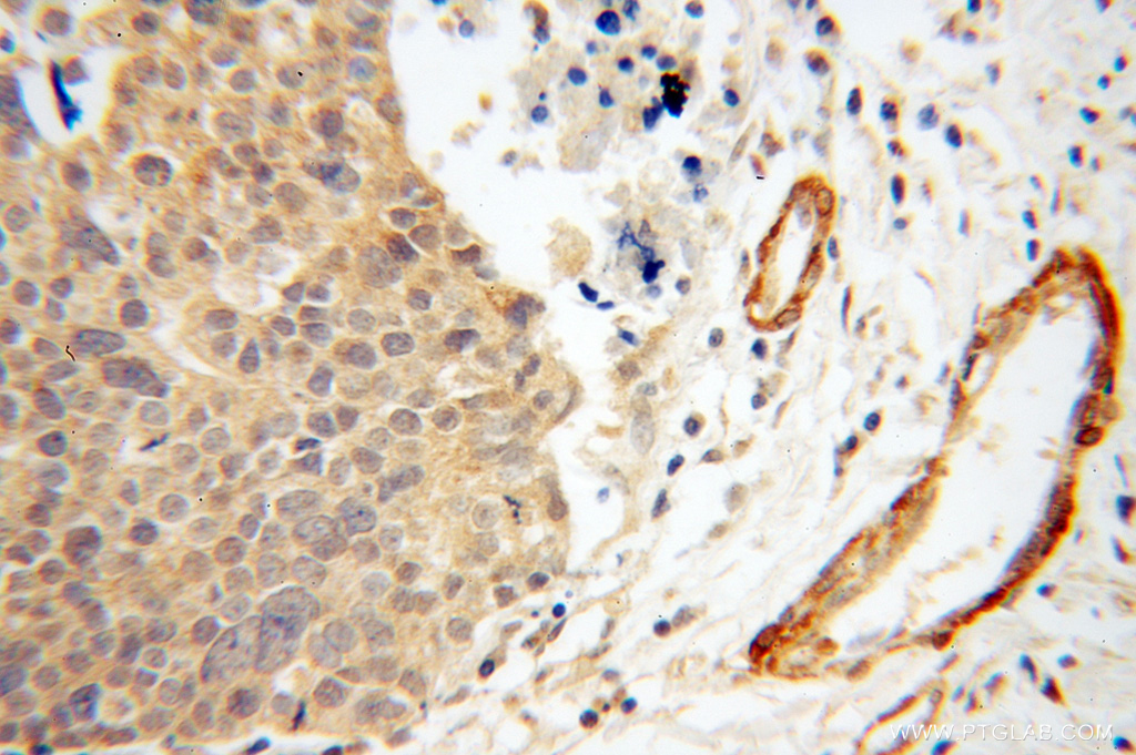
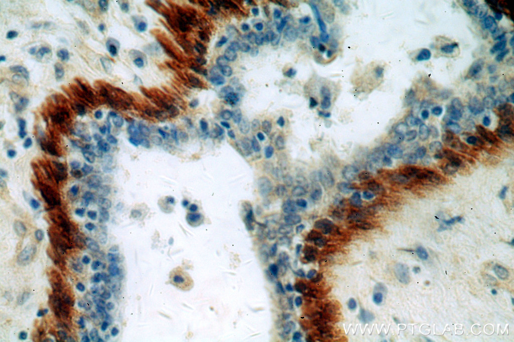
| Positive IHC detected in | human appendicitis tissue, human heart tissue Note: suggested antigen retrieval with TE buffer pH 9.0; (*) Alternatively, antigen retrieval may be performed with citrate buffer pH 6.0 |
| Positive IF-P detected in | mouse heart tissue |
| Positive IF/ICC detected in | C2C12 cells, H9C2 cells |
| Positive FC (Intra) detected in | C2C12 cells |
推荐稀释比
| 应用 | 推荐稀释比 |
|---|---|
| Western Blot (WB) | WB : 1:5000-1:50000 |
| Immunoprecipitation (IP) | IP : 0.5-4.0 ug for 1.0-3.0 mg of total protein lysate |
| Immunohistochemistry (IHC) | IHC : 1:2000-1:8000 |
| Immunofluorescence (IF)-P | IF-P : 1:50-1:500 |
| Immunofluorescence (IF)/ICC | IF/ICC : 1:200-1:800 |
| Flow Cytometry (FC) (INTRA) | FC (INTRA) : 0.40 ug per 10^6 cells in a 100 µl suspension |
| It is recommended that this reagent should be titrated in each testing system to obtain optimal results. | |
| Sample-dependent, Check data in validation data gallery. | |
产品信息
13938-1-AP targets Calponin in WB, IHC, IF/ICC, IF-P, FC (Intra), IP, ELISA applications and shows reactivity with human, mouse, rat samples.
| 经测试应用 | WB, IHC, IF/ICC, IF-P, FC (Intra), IP, ELISA Application Description |
| 文献引用应用 | WB, IHC, IF |
| 经测试反应性 | human, mouse, rat |
| 文献引用反应性 | human, mouse, rat, pig, bovine |
| 免疫原 |
CatNo: Ag4989 Product name: Recombinant human Calponin protein Source: e coli.-derived, PGEX-4T Tag: GST Domain: 1-297 aa of BC022015 Sequence: MSSAHFNRGPAYGLSAEVKNKLAQKYDHQREQELREWIEGVTGRRIGNNFMDGLKDGIILCEFINKLQPGSVKKINESTQNWHQLENIGNFIKAITKYGVKPHDIFEANDLFENTNHTQVQSTLLALASMAKTKGNKVNVGVKYAEKQERKFEPGKLREGRNIIGLQMGTNKFASQQGMTAYGTRRHLYDPKLGTDQPLDQATISLQMGTNKGASQAGMTAPGTKRQIFEPGLGMEHCDTLNVSLQMGSNKGASQRGMTVYGLPRQVYDPKYCLTPEYPELGEPAHNHHAHNYYNSA 种属同源性预测 |
| 宿主/亚型 | Rabbit / IgG |
| 抗体类别 | Polyclonal |
| 产品类型 | Antibody |
| 全称 | calponin 1, basic, smooth muscle |
| 别名 | CNN1, Basic calponin, Calponin 1, Calponin-1, CNN 1 |
| 计算分子量 | 33 kDa |
| 观测分子量 | 35 kDa |
| GenBank蛋白编号 | BC022015 |
| 基因名称 | Calponin |
| Gene ID (NCBI) | 1264 |
| RRID | AB_2082010 |
| 偶联类型 | Unconjugated |
| 形式 | Liquid |
| 纯化方式 | Antigen affinity purification |
| UNIPROT ID | P51911 |
| 储存缓冲液 | PBS with 0.02% sodium azide and 50% glycerol, pH 7.3. |
| 储存条件 | Store at -20°C. Stable for one year after shipment. Aliquoting is unnecessary for -20oC storage. |
背景介绍
Calponin is a family of actin filament-associated proteins which regulate smooth muscle cell contraction. Three isoforms of calponin exist: calponin h1 (CNN1) , calponin h2 (CNN2) and calponin 3 (CNN3). CNN1 is a basic 34-kD protein specifically expressed in smooth muscle and a marker of smooth muscle cell differentiation. This antibody raised against the full-length of human CNN1 may cross-react with CNN2 and CNN3.
实验方案
| Product Specific Protocols | |
|---|---|
| IF protocol for Calponin antibody 13938-1-AP | Download protocol |
| IHC protocol for Calponin antibody 13938-1-AP | Download protocol |
| IP protocol for Calponin antibody 13938-1-AP | Download protocol |
| WB protocol for Calponin antibody 13938-1-AP | Download protocol |
| Standard Protocols | |
|---|---|
| Click here to view our Standard Protocols |
发表文章
| Species | Application | Title |
|---|---|---|
Circ Res Mitochondrial Protein Poldip2 Controls VSMC Differentiated Phenotype by O-Linked GlcNAc Transferase-Dependent Inhibition of a Ubiquitin Proteasome System. | ||
J Clin Invest Circular RNA circEsyt2 regulates vascular smooth muscle cell remodeling via splicing regulation. | ||
Acta Biomater Hybrid electrospun rapamycin-loaded small-diameter decellularized vascular grafts effectively inhibit intimal hyperplasia. | ||
Theranostics Salvia miltiorrhiza-derived miRNAs suppress vascular remodeling through regulating OTUD7B/KLF4/NMHC IIA axis. | ||
Phytomedicine Betulinaldehyde inhibits vascular remodeling by regulating the microenvironment through the PLCγ1/Ca2+/MMP9 pathway | ||
Phytomedicine Quercetin improves airway remodeling in COPD rats by suppressing phenotypic switch of ASMCs via inhibiting the Wnt5a/β-catenin pathway |












