验证数据展示
经过测试的应用
| Positive WB detected in | mouse brain tissue, rat brain tissue |
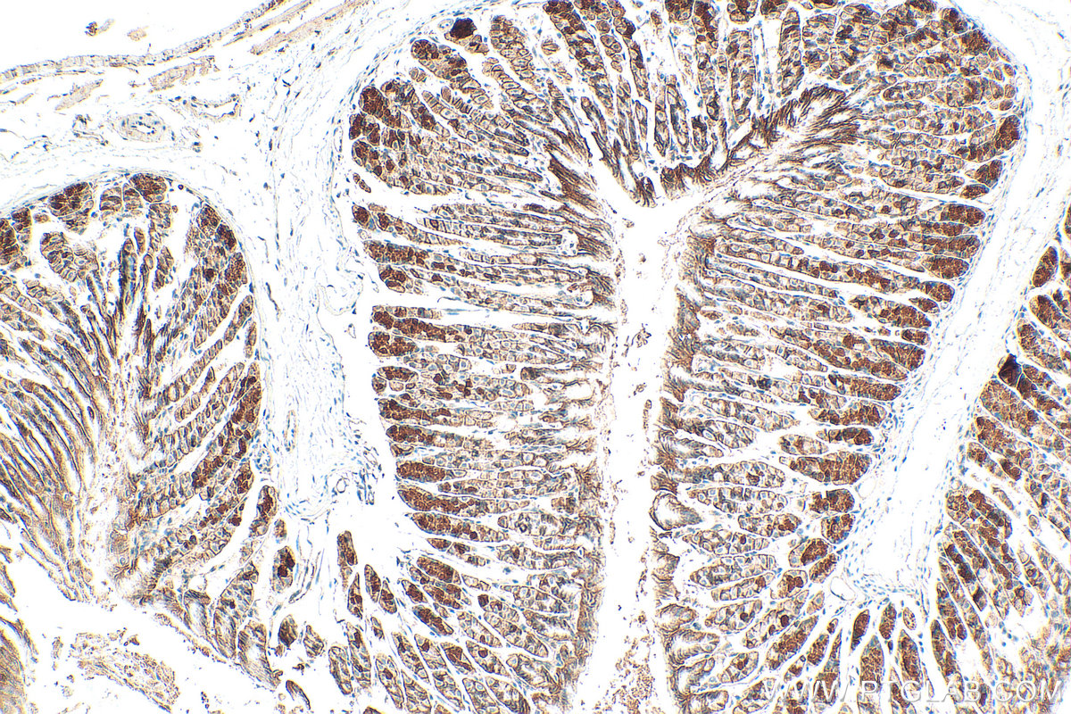
| Positive IHC detected in | mouse stomach tissue Note: suggested antigen retrieval with TE buffer pH 9.0; (*) Alternatively, antigen retrieval may be performed with citrate buffer pH 6.0 |
推荐稀释比
| 应用 | 推荐稀释比 |
|---|---|
| Western Blot (WB) | WB : 1:1000-1:4000 |
| Immunohistochemistry (IHC) | IHC : 1:200-1:800 |
| It is recommended that this reagent should be titrated in each testing system to obtain optimal results. | |
| Sample-dependent, Check data in validation data gallery. | |
产品信息
26559-1-AP targets CMTM4 in WB, IHC, ELISA applications and shows reactivity with human, mouse, rat samples.
| 经测试应用 | WB, IHC, ELISA Application Description |
| 经测试反应性 | human, mouse, rat |
| 免疫原 |
CatNo: Ag23648 Product name: Recombinant human CMTM4 protein Source: e coli.-derived, PGEX-4T Tag: GST Domain: 1-82 aa of BC093679 Sequence: MRSGEELDGFEGEASSTSMISGASSPYQPTTEPVSQRRGLAGLRCDPDYLRGALGRLKVAQVILALIAFICIETIMACSPCE 种属同源性预测 |
| 宿主/亚型 | Rabbit / IgG |
| 抗体类别 | Polyclonal |
| 产品类型 | Antibody |
| 全称 | CKLF-like MARVEL transmembrane domain containing 4 |
| 别名 | Chemokine-like factor superfamily member 4, CKLF-like MARVEL transmembrane domain-containing protein 4, CKLFSF4 |
| 观测分子量 | 26 kDa |
| GenBank蛋白编号 | BC093679 |
| 基因名称 | CMTM4 |
| Gene ID (NCBI) | 146223 |
| RRID | AB_3085882 |
| 偶联类型 | Unconjugated |
| 形式 | Liquid |
| 纯化方式 | Antigen affinity purification |
| UNIPROT ID | Q8IZR5 |
| 储存缓冲液 | PBS with 0.02% sodium azide and 50% glycerol, pH 7.3. |
| 储存条件 | Store at -20°C. Stable for one year after shipment. Aliquoting is unnecessary for -20oC storage. |
背景介绍
CMTM4 belongs to the CKLF-like MARVEL transmembrane domain containing (CMTM) family which contain a structurally conserved MAL and related proteins for vesicle trafficking and membrane linking (MARVEL) domain (PMID: 32944388). CMTM4 plays an important role in mediating endothelial barrier function and controlling vascular sprouting (PMID: 30097810). CMTM4 has been reported to be the major regulator of PD-L1 in liver cancer (PMID: 34558800) and play a tumor suppressive role in colorectal cancer (PMID: 31435638).
实验方案
| Product Specific Protocols | |
|---|---|
| IHC protocol for CMTM4 antibody 26559-1-AP | Download protocol |
| WB protocol for CMTM4 antibody 26559-1-AP | Download protocol |
| Standard Protocols | |
|---|---|
| Click here to view our Standard Protocols |


