验证数据展示
经过测试的应用
| Positive WB detected in | HepG2 cells, HEK-293 cells, HeLa cells, Jurkat cells, mouse brain tissue |
| Positive IP detected in | HeLa cells |
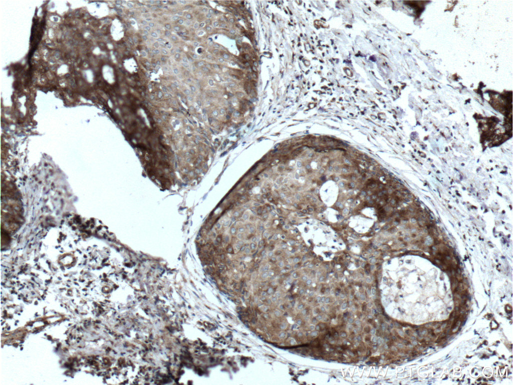
| Positive IHC detected in | human breast cancer tissue Note: suggested antigen retrieval with TE buffer pH 9.0; (*) Alternatively, antigen retrieval may be performed with citrate buffer pH 6.0 |
| Positive IF/ICC detected in | HepG2 cells |
推荐稀释比
| 应用 | 推荐稀释比 |
|---|---|
| Western Blot (WB) | WB : 1:1000-1:4000 |
| Immunoprecipitation (IP) | IP : 0.5-4.0 ug for 1.0-3.0 mg of total protein lysate |
| Immunohistochemistry (IHC) | IHC : 1:50-1:500 |
| Immunofluorescence (IF)/ICC | IF/ICC : 1:200-1:800 |
| It is recommended that this reagent should be titrated in each testing system to obtain optimal results. | |
| Sample-dependent, Check data in validation data gallery. | |
发表文章中的应用
| WB | See 3 publications below |
产品信息
10470-1-AP targets CLINT1 in WB, IHC, IF/ICC, IP, ELISA applications and shows reactivity with human, mouse, rat samples.
| 经测试应用 | WB, IHC, IF/ICC, IP, ELISA Application Description |
| 文献引用应用 | WB |
| 经测试反应性 | human, mouse, rat |
| 文献引用反应性 | human |
| 免疫原 |
CatNo: Ag0754 Product name: Recombinant human CLINT1 protein Source: e coli.-derived, PGEX-4T Tag: GST Domain: 326-625 aa of BC004467 Sequence: LVDLFDGTSQSTGGSADLFGGFADFGSAAASGSFPSQVTATSGNGDFGDWSAFNQAPSGPVASSGEFFGSASQPAVELVSGSQSALGPPPAASNSSDLFDLMGSSQATMTSSQSMNFSMMSTNTVGLGLPMSRSQNTDMVQKSVSKTLPSTWSDPSVNISLDNLLPGMQPSKPQQPSLNTMIQQQNMQQPMNVMTQSFGAVNLSSPSNMLPVRPQTNALIGGPMPMSMPNVMTGTMGMAPLGNTPMMNQSMMGMNMNIGMSAAGMGLTGTMGMGMPNIAMTSGTVQPKQDAFANFANFSK 种属同源性预测 |
| 宿主/亚型 | Rabbit / IgG |
| 抗体类别 | Polyclonal |
| 产品类型 | Antibody |
| 全称 | clathrin interactor 1 |
| 别名 | EPN4, Enthoprotin, ENTH, Clint, Clathrin-interacting protein localized in the trans-Golgi region |
| 计算分子量 | 68 kDa |
| 观测分子量 | 68 kDa, 80 kDa |
| GenBank蛋白编号 | BC004467 |
| 基因名称 | CLINT1 |
| Gene ID (NCBI) | 9685 |
| RRID | AB_2276405 |
| 偶联类型 | Unconjugated |
| 形式 | Liquid |
| 纯化方式 | Antigen affinity purification |
| UNIPROT ID | Q14677 |
| 储存缓冲液 | PBS with 0.02% sodium azide and 50% glycerol, pH 7.3. |
| 储存条件 | Store at -20°C. Stable for one year after shipment. Aliquoting is unnecessary for -20oC storage. |
背景介绍
Clathrin interactor 1 (CLINT1), also known as enthoprotin or epsin-4, belongs to the epsin family of endocytic adapter proteins. CLINT1 interacts with clathrin, the adapter protein AP-1 and phosphoinositides. It may have a role in the formation of clathrin coated vesicles and trafficking between the trans-Golgi network and endosomes. Mutations in the gene of CLINT1 are associated with a susceptibility to schizophrenia and psychotic disorders. Calculated molecular weight of CLINT1 is 68 kDa. The migration of endogenous CLINT1 at 80 kDa has also been reported (PMID: 12213833; 15811338).
实验方案
| Product Specific Protocols | |
|---|---|
| IF protocol for CLINT1 antibody 10470-1-AP | Download protocol |
| IHC protocol for CLINT1 antibody 10470-1-AP | Download protocol |
| IP protocol for CLINT1 antibody 10470-1-AP | Download protocol |
| WB protocol for CLINT1 antibody 10470-1-AP | Download protocol |
| Standard Protocols | |
|---|---|
| Click here to view our Standard Protocols |
发表文章
| Species | Application | Title |
|---|---|---|
bioRxiv PKA Activity-Driven Modulation of Bidirectional Long-Distance transport of Lysosomal vesicles During Synapse Maintenance | ||
Cell Rep DNA-PKcs controls the cytotoxic T cell response to cancer and transplant allograft through regulating LAT-dependent signaling. |






