验证数据展示
经过测试的应用
| Positive IP detected in | mouse stomach tissue |
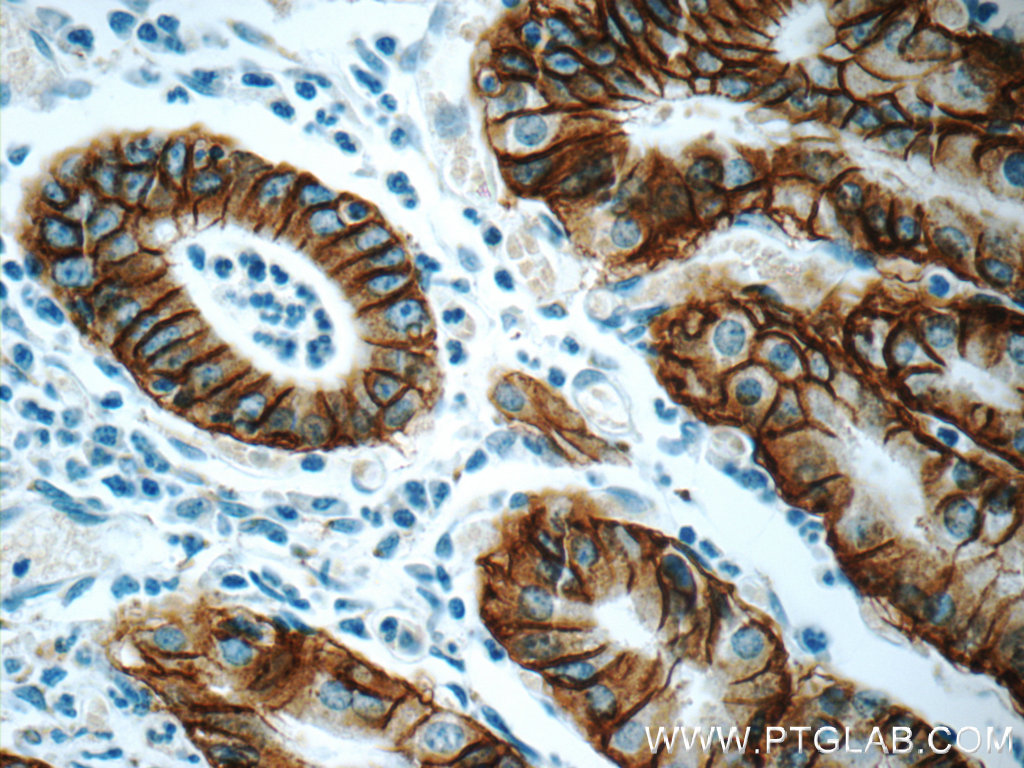
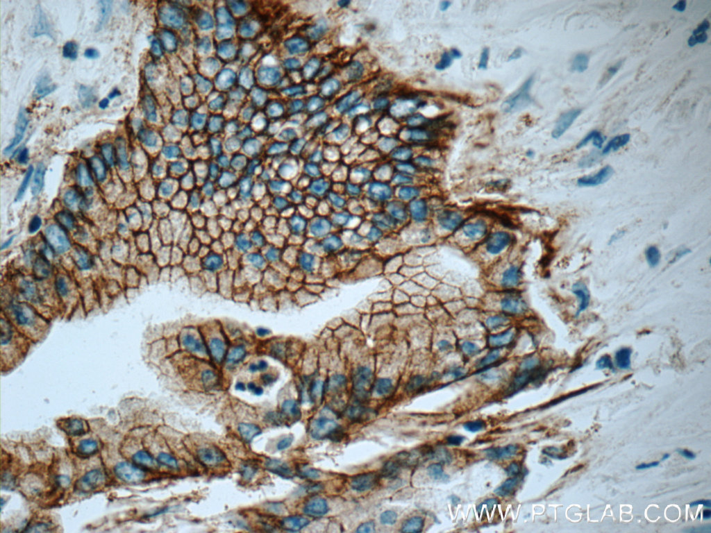
| Positive IHC detected in | human pancreas cancer tissue, human ovary tumor tissue, human stomach tissue Note: suggested antigen retrieval with TE buffer pH 9.0; (*) Alternatively, antigen retrieval may be performed with citrate buffer pH 6.0 |
推荐稀释比
| 应用 | 推荐稀释比 |
|---|---|
| Immunoprecipitation (IP) | IP : 0.5-4.0 ug for 1.0-3.0 mg of total protein lysate |
| Immunohistochemistry (IHC) | IHC : 1:500-1:2000 |
| It is recommended that this reagent should be titrated in each testing system to obtain optimal results. | |
| Sample-dependent, Check data in validation data gallery. | |
产品信息
66167-1-Ig targets Claudin 18 in WB, IHC, IF, IP, ELISA applications and shows reactivity with human, mouse samples.
| 经测试应用 | IHC, IP, ELISA Application Description |
| 文献引用应用 | WB, IHC, IF |
| 经测试反应性 | human, mouse |
| 文献引用反应性 | human, mouse |
| 免疫原 |
CatNo: Ag15517 Product name: Recombinant human CLDN18 protein Source: e coli.-derived, PGEX-4T Tag: GST Domain: 185-261 aa of BC146668 Sequence: TLIGGVMMCIACRGLAPEETNYKAVSYHASGHSVAYKPGGFKASTGFGSNTKNKKIYDGGARTEDEVQSYPSKHDYV 种属同源性预测 |
| 宿主/亚型 | Mouse / IgG2a |
| 抗体类别 | Monoclonal |
| 产品类型 | Antibody |
| 全称 | claudin 18 |
| 别名 | UNQ778/PRO1572, CLDN18, Claudin-18, Claudin18, 5G7F2 |
| 计算分子量 | 261 aa, 28 kDa |
| 观测分子量 | 29 kDa |
| GenBank蛋白编号 | BC146668 |
| 基因名称 | CLDN18 |
| Gene ID (NCBI) | 51208 |
| RRID | AB_2881563 |
| 偶联类型 | Unconjugated |
| 形式 | Liquid |
| 纯化方式 | Protein A purification |
| UNIPROT ID | P56856 |
| 储存缓冲液 | PBS with 0.02% sodium azide and 50% glycerol, pH 7.3. |
| 储存条件 | Store at -20°C. Stable for one year after shipment. Aliquoting is unnecessary for -20oC storage. |
背景介绍
Claudin 18 (CLDN18) belongs to the large claudin family of proteins, which are tetraspan transmembrane proteins of tight junctions (PMID: 11585919; 18036336). Claudins exhibit specific patterns of expression in different tissues (PMID: 15447685). CLDN18 is specifically expressed in the stomach and lung. CLDN18 has two alternatively spliced variants, CLDN18.1 and CLDN18.2. CLDN18.2 is a highly selective gastric lineage marker that determines the gastric phenotype in a neoplastic condition, whereas CLDN18.1 is lung specific (PMID: 11585919; 21832145). Altered CLDN18 expression has been reported in various human malignancies, including gastric cancer, lung adenocarcinoma, and pancreatic neoplasm (PMID: 17459057; 22076167; 21832145). This antibody can recognize both CLDN18.1 and CLDN18.2.
实验方案
| Product Specific Protocols | |
|---|---|
| IHC protocol for Claudin 18 antibody 66167-1-Ig | Download protocol |
| IP protocol for Claudin 18 antibody 66167-1-Ig | Download protocol |
| Standard Protocols | |
|---|---|
| Click here to view our Standard Protocols |
发表文章
| Species | Application | Title |
|---|---|---|
Mucosal Immunol Airway epithelium IgE-FcεRI Cross-Link Induces Epithelial Barrier Disruption in Severe T2-high Asthma | ||
World J Gastrointest Pathophysiol Visualization of sphingolipids and phospholipids in the fundic gland mucosa of human stomach using imaging mass spectrometry. | ||
Am J Cancer Res The small protein LINC01547-ORF inhibits colorectal cancer progression by regulating the CLDN18-FAK-AKT axis | ||
Histopathology Claudin-18 expression in gastric type adenocarcinoma and HPV-associated adenocarcinoma of the uterine cervix. |









