验证数据展示
经过测试的应用
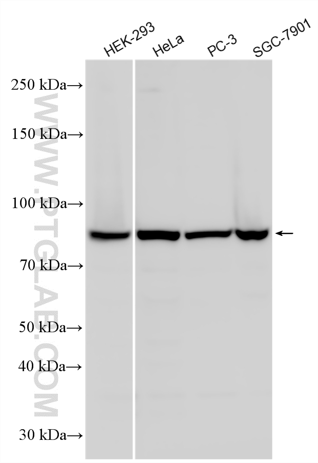
| Positive WB detected in | HEK-293 cells, HeLa cells, PC-3 cells, SGC-7901 cells |
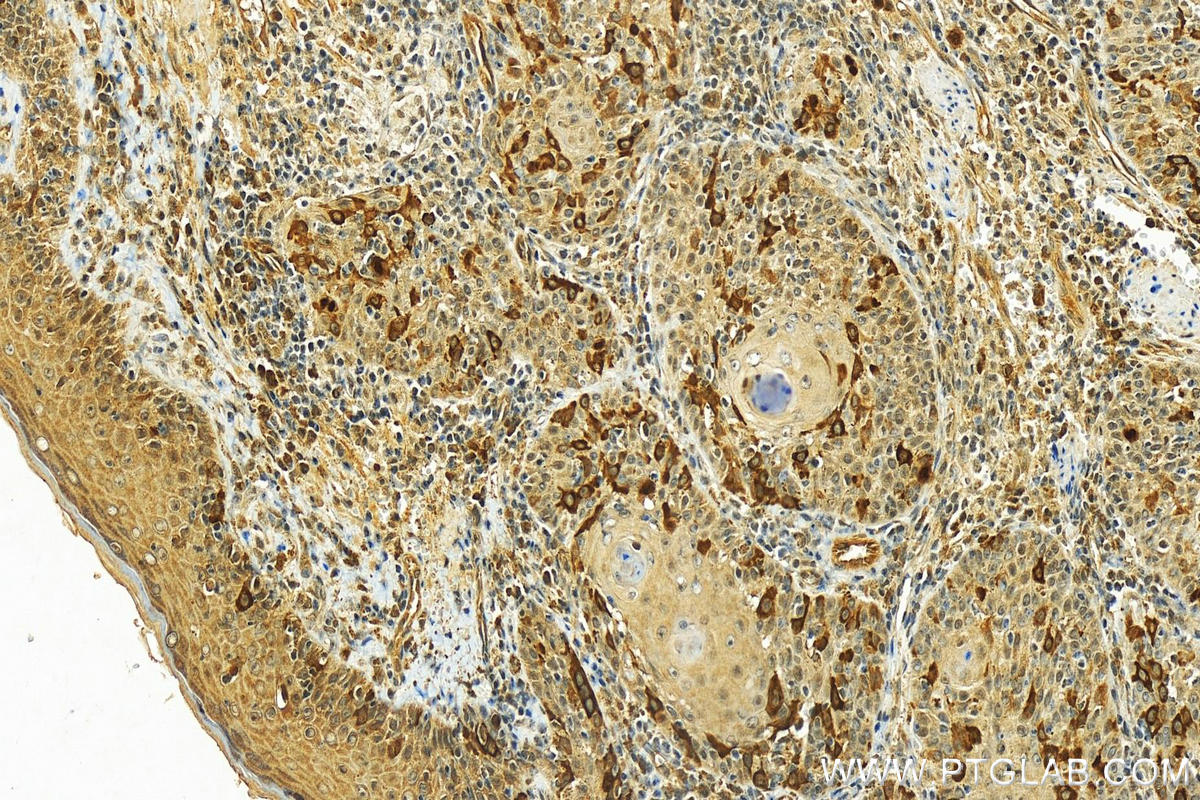
| Positive IHC detected in | human skin cancer tissue Note: suggested antigen retrieval with TE buffer pH 9.0; (*) Alternatively, antigen retrieval may be performed with citrate buffer pH 6.0 |
| Positive IF/ICC detected in | HeLa cells |
推荐稀释比
| 应用 | 推荐稀释比 |
|---|---|
| Western Blot (WB) | WB : 1:1000-1:8000 |
| Immunohistochemistry (IHC) | IHC : 1:50-1:500 |
| Immunofluorescence (IF)/ICC | IF/ICC : 1:50-1:500 |
| It is recommended that this reagent should be titrated in each testing system to obtain optimal results. | |
| Sample-dependent, Check data in validation data gallery. | |
产品信息
25486-1-AP targets CKAP2 in WB, IHC, IF/ICC, ELISA applications and shows reactivity with human samples.
| 经测试应用 | WB, IHC, IF/ICC, ELISA Application Description |
| 文献引用应用 | WB, IF |
| 经测试反应性 | human |
| 文献引用反应性 | human, mouse |
| 免疫原 |
CatNo: Ag21901 Product name: Recombinant human CKAP2 protein Source: e coli.-derived, PGEX-4T Tag: GST Domain: 1-356 aa of BC136332 Sequence: MSTPAVPQDLQLPPSQRAQSAFKEQRRQKLKEHLLRRKTLFAYKQENEMLSSRDQRVVTSEDQVQEGTKVLKLKTKMADKENMKRPAESKNNTVVGKHCIPLKPSNELTNSTVVIDTHKPKDSNQTPHLLLTEDDPQSQHMTLSQAFHLKNNSKKKQMTTEKQKQDANMPKKPVLGSYRGQIVQSKINSFRKPLQVKDESSAATKKLSATIPKATKPQPVNTSSVTVKSNRSSNMTATTKFVSTTSQNTQLVRPPIRSHHSNTRDTVKQGISRTSANVTIRKGPHEKELLQSKTALSSVKTSSSQGIIRNKTLSRSIASEVVARPASLSNDKLMEKSEPVDQRRHTAGKAIVDSRS 种属同源性预测 |
| 宿主/亚型 | Rabbit / IgG |
| 抗体类别 | Polyclonal |
| 产品类型 | Antibody |
| 全称 | cytoskeleton associated protein 2 |
| 别名 | Cytoskeleton-associated protein 2, LB1, se20-10, TMAP, Tumor- and microtubule-associated protein |
| 计算分子量 | 683 aa, 77 kDa |
| 观测分子量 | 75-85 kDa |
| GenBank蛋白编号 | BC136332 |
| 基因名称 | CKAP2 |
| Gene ID (NCBI) | 26586 |
| RRID | AB_2880100 |
| 偶联类型 | Unconjugated |
| 形式 | Liquid |
| 纯化方式 | Antigen affinity purification |
| UNIPROT ID | Q8WWK9 |
| 储存缓冲液 | PBS with 0.02% sodium azide and 50% glycerol, pH 7.3. |
| 储存条件 | Store at -20°C. Stable for one year after shipment. Aliquoting is unnecessary for -20oC storage. |
背景介绍
Cytoskeleton-associated protein 2 (CKAP2), also known as tumor-associated microtubule-associated protein (TMAP), is implicated in the regulation of cell proliferation (PMID: 30119212). CKAP2 is a MAP expressed during mitosis that localizes to centrosomes and spindles before being targeted for degradation by the anaphase-promoting complex/cyclosome at mitotic exit (PMID: 38381793, 17339342).
实验方案
| Product Specific Protocols | |
|---|---|
| IF protocol for CKAP2 antibody 25486-1-AP | Download protocol |
| IHC protocol for CKAP2 antibody 25486-1-AP | Download protocol |
| WB protocol for CKAP2 antibody 25486-1-AP | Download protocol |
| Standard Protocols | |
|---|---|
| Click here to view our Standard Protocols |
发表文章
| Species | Application | Title |
|---|---|---|
Proc Natl Acad Sci U S A The spindle protein CKAP2 regulates microtubule dynamics and ensures faithful chromosome segregation | ||
Oncol Rep CKAP2 expression is associated with glioma tumor growth and acts as a prognostic factor in high‑grade glioma.
| ||
Cancers (Basel) Knockdown of CKAP2 Inhibits Proliferation, Migration, and Aggregate Formation in Aggressive Breast Cancer | ||
Mol Cell The RNA-stability-independent role of the RNA m6A reader YTHDF2 in promoting protein translation to confer tumor chemotherapy resistance
| ||
Nat Cell Biol Cell state-specific cytoplasmic density controls spindle architecture and scaling | ||
Front Immunol Identification and validation of CKAP2 as a novel biomarker in the development and progression of rheumatoid arthritis |


