验证数据展示
产品信息
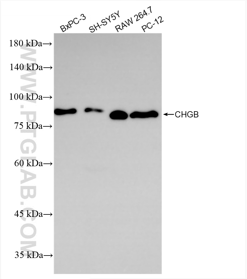
85438-4-PBS targets CHGB in WB, IHC, IF/ICC, Indirect ELISA applications and shows reactivity with human samples.
| 经测试应用 | WB, IHC, IF/ICC, Indirect ELISA Application Description |
| 经测试反应性 | human |
| 免疫原 |
CatNo: Ag6833 Product name: Recombinant human CHGB protein Source: e coli.-derived, PGEX-4T Tag: GST Domain: 328-677 aa of BC000375 Sequence: HSTHYRASEEEPEYGEEIKGYPGVQAPEDLEWERYRGRGSEEYRAPRPQSEESWDEEDKRNYPSLELDKMAHGYGEESEEERGLEPGKGRHHRGRGGEPRAYFMSDTREEKRFLGEGHHRVQENQMDKARRHPQGAWKELDRNYLNYGEEGAPGKWQQQGDLQDTKENREEARFQDKQYSSHHTAEKRKRLGELFNPYYDPLQWKSSHFERRDNMNDNFLEGEEENELTLNEKNFFPEYNYDWWEKKPFSEDVNWGYEKRNLARVPKLDLKRQYDRVAQLDQLLHYRKKSAEFPDFYDSEEPVSTHQEAENEKDRADQTVLTEDEKKELENLAAMDLELQKIAEKFSQRG 种属同源性预测 |
| 宿主/亚型 | Rabbit / IgG |
| 抗体类别 | Recombinant |
| 产品类型 | Antibody |
| 全称 | chromogranin B (secretogranin 1) |
| 别名 | CgB, Chromogranin B, SCG1, 242952C9, Chromogranin-B |
| 计算分子量 | 78 kDa |
| 观测分子量 | 70-100 kDa |
| GenBank蛋白编号 | BC000375 |
| 基因名称 | Chromogranin B |
| Gene ID (NCBI) | 1114 |
| RRID | AB_3744215 |
| 偶联类型 | Unconjugated |
| 形式 | Liquid |
| 纯化方式 | Protein A purification |
| UNIPROT ID | P05060 |
| 储存缓冲液 | PBS only, pH 7.3. |
| 储存条件 | Store at -80°C. The product is shipped with ice packs. Upon receipt, store it immediately at -80°C |
背景介绍
Chromogranin B is also named as Secretogranin-1, SgI, CgB, CHGB and SCG1. CHGB, a secretory granule protein, inserts itself into membrane and forms a chloride-conducting channel (PMID: 30456382). Native CHGB distributes nearly equally in soluble and membrane-bound forms, and both reconstitute highly selective anion channels in membrane (PMID: 37435575). The calculated molecular weight of Chromogranin B is at 78kDa.





