验证数据展示
经过测试的应用
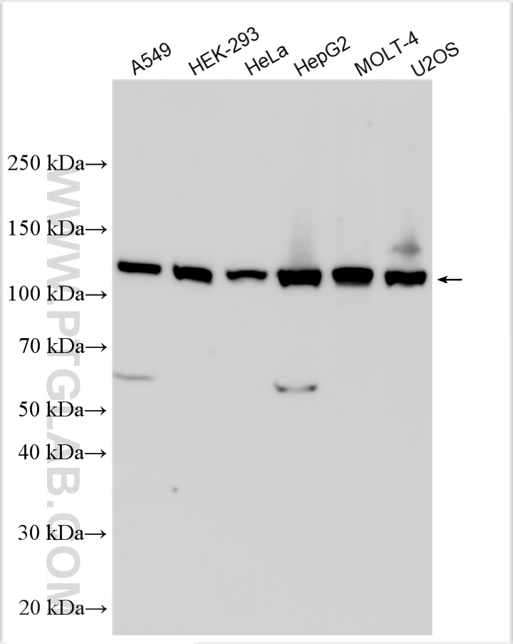
| Positive WB detected in | A549 cells, HEK-293 cells, HeLa cells, HepG2 cells, MOLT-4 cells, U2OS cells |
推荐稀释比
| 应用 | 推荐稀释比 |
|---|---|
| Western Blot (WB) | WB : 1:1000-1:4000 |
| It is recommended that this reagent should be titrated in each testing system to obtain optimal results. | |
| Sample-dependent, Check data in validation data gallery. | |
产品信息
32923-1-AP targets CHD1L in WB, ELISA applications and shows reactivity with human samples.
| 经测试应用 | WB, ELISA Application Description |
| 经测试反应性 | human |
| 免疫原 |
CatNo: Ag38526 Product name: Recombinant human CHD1L protein Source: e coli.-derived, PGEX-4T Tag: GST Domain: 704-897 aa of NM_004284.5 Sequence: SAELDYQDPDATSLKYVSGDVTHPQAGAEDALIVHCVDDSGHWGRGGLFTALEKRSAEPRKIYELAGKMKDLSLGGVLLFPVDDKESRNKGQDLLALIVAQHRDRSNVLSGIKMAALEEGLKKIFLAAKKKKASVHLPRIGHATKGFNWYGTERLIRKHLAARGIPTYIYYFPRSKSAVLHSQSSSSSSRQLVP* 种属同源性预测 |
| 宿主/亚型 | Rabbit / IgG |
| 抗体类别 | Polyclonal |
| 产品类型 | Antibody |
| 全称 | chromodomain helicase DNA binding protein 1-like |
| 别名 | ALC1, Amplified in liver cancer protein 1, Chromodomain-helicase-DNA-binding protein 1-like, EC:3.6.4.- |
| 计算分子量 | 101kDa,897aa |
| 观测分子量 | 101 kDa |
| GenBank蛋白编号 | NM_004284.5 |
| 基因名称 | CHD1L |
| Gene ID (NCBI) | 9557 |
| 偶联类型 | Unconjugated |
| 形式 | Liquid |
| 纯化方式 | Antigen affinity Purification |
| UNIPROT ID | Q86WJ1 |
| 储存缓冲液 | PBS with 0.02% sodium azide and 50% glycerol, pH 7.3. |
| 储存条件 | Store at -20°C. Stable for one year after shipment. Aliquoting is unnecessary for -20oC storage. |
背景介绍
CHD1L (Chromodomain Helicase DNA Binding Protein 1-Like), also known as ALC1 (Amplified in Liver Cancer 1), encodes a multifunctional protein involved in various cellular processes such as chromatin remodeling, cell differentiation, and development. CHD1L acts as an ATP-dependent chromatin remodeling enzyme with an ATPase catalytic domain activated by double-stranded DNA. It interacts with PARP1 (poly-ADP-ribose polymerase 1) to promote chromatin relaxation at DNA damage sites, facilitating DNA repair. Overexpression of CHD1L leads to dysregulation of downstream targets in various cancers.
实验方案
| Product Specific Protocols | |
|---|---|
| WB protocol for CHD1L antibody 32923-1-AP | Download protocol |
| Standard Protocols | |
|---|---|
| Click here to view our Standard Protocols |
