验证数据展示
经过测试的应用
| Positive WB detected in | mouse brain tissue, mouse placenta tissue, rat brain tissue |
| Positive IP detected in | rat brain tissue |
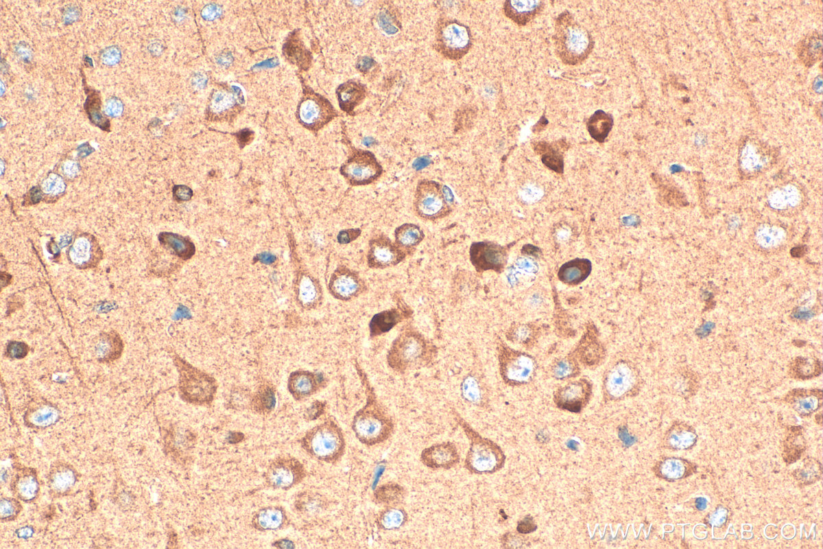
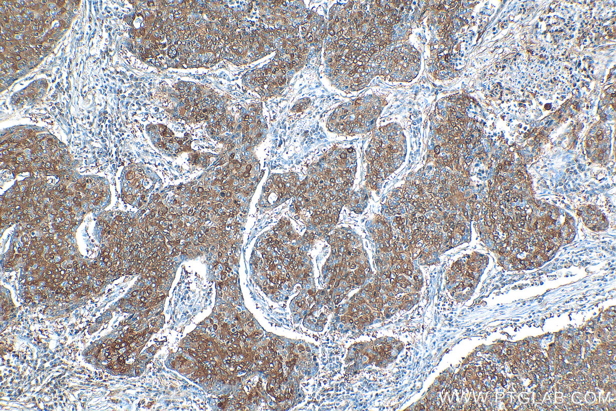
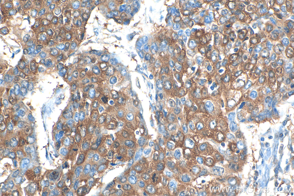
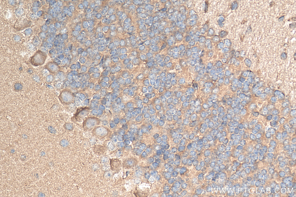
| Positive IHC detected in | mouse brain tissue, human lung cancer tissue, rat brain tissue Note: suggested antigen retrieval with TE buffer pH 9.0; (*) Alternatively, antigen retrieval may be performed with citrate buffer pH 6.0 |
| Positive IF-P detected in | mouse brain tissue |
| Positive IF/ICC detected in | Neuro-2a cells |
推荐稀释比
| 应用 | 推荐稀释比 |
|---|---|
| Western Blot (WB) | WB : 1:500-1:1000 |
| Immunoprecipitation (IP) | IP : 0.5-4.0 ug for 1.0-3.0 mg of total protein lysate |
| Immunohistochemistry (IHC) | IHC : 1:200-1:800 |
| Immunofluorescence (IF)-P | IF-P : 1:50-1:500 |
| Immunofluorescence (IF)/ICC | IF/ICC : 1:50-1:500 |
| It is recommended that this reagent should be titrated in each testing system to obtain optimal results. | |
| Sample-dependent, Check data in validation data gallery. | |
产品信息
20747-1-AP targets CHAT in WB, IHC, IF/ICC, IF-P, IP, ELISA applications and shows reactivity with human, mouse, rat samples.
| 经测试应用 | WB, IHC, IF/ICC, IF-P, IP, ELISA Application Description |
| 文献引用应用 | WB, IHC, IF |
| 经测试反应性 | human, mouse, rat |
| 文献引用反应性 | human, mouse, rat |
| 免疫原 |
Peptide 种属同源性预测 |
| 宿主/亚型 | Rabbit / IgG |
| 抗体类别 | Polyclonal |
| 产品类型 | Antibody |
| 全称 | choline acetyltransferase |
| 别名 | CHOACTase, Choline acetylase, choline acetyltransferase, Choline O-acetyltransferase, EC:2.3.1.6 |
| 计算分子量 | 83 kDa |
| 观测分子量 | 47-50 kDa, 66-70 kDa |
| GenBank蛋白编号 | NM_020549 |
| 基因名称 | CHAT |
| Gene ID (NCBI) | 1103 |
| RRID | AB_10898169 |
| 偶联类型 | Unconjugated |
| 形式 | Liquid |
| 纯化方式 | Antigen affinity purification |
| UNIPROT ID | P28329 |
| 储存缓冲液 | PBS with 0.02% sodium azide and 50% glycerol, pH 7.3. |
| 储存条件 | Store at -20°C. Stable for one year after shipment. Aliquoting is unnecessary for -20oC storage. |
背景介绍
CHAT (choline acetyltransferase) belongs to the carnitine/choline acetyltransferase family. It catalyzes the reversible synthesis of acetylcholine (ACh) from acetyl CoA and choline at cholinergic synapses. Defects in CHAT are the cause of congenital myasthenic syndrome with episodic apnea (CMSEA). CHAT is known to be present exclusively in the cytoplasm of cholinergic neurons and anti-CHAT antibody has been considered as the best marker for cholinergic neurons. Human CHAT gene generates multiple mRNA splice variants (PMID: 10861222). All these variants possess start codons for translation of 70 kDa cChAT protein (isoform 1). The M variant has an additional start codon for 83 kDa cChAT protein (isoform 2), which has been found in nuclei of neuronal cells in human CNS; and the S variant has another codon for 74 kDa cChAT protein (isoform 3). Besides, CHAT includes a short exon-skipping splice variant (peripheral type CHAT) pCHAT encoding 40-55 kDa (PMID: 31040770, 29759072). This antibody can recognize both pCHAT and cCHAT.
实验方案
| Product Specific Protocols | |
|---|---|
| IF protocol for CHAT antibody 20747-1-AP | Download protocol |
| IHC protocol for CHAT antibody 20747-1-AP | Download protocol |
| IP protocol for CHAT antibody 20747-1-AP | Download protocol |
| WB protocol for CHAT antibody 20747-1-AP | Download protocol |
| Standard Protocols | |
|---|---|
| Click here to view our Standard Protocols |
发表文章
| Species | Application | Title |
|---|---|---|
Adv Mater Noninvasive Optogenetics Realized by iPSC-Derived Tentacled Carrier in Alzheimer's Disease Treatment | ||
Cell Stem Cell Deriving Schwann cells from hPSCs enables disease modeling and drug discovery for diabetic peripheral neuropathy | ||
Nat Chem Biol Small molecule agonist of mitochondrial fusion repairs mitochondrial dysfunction | ||
PLoS Biol LSM12-EPAC1 defines a neuroprotective pathway that sustains the nucleocytoplasmic RAN gradient. | ||
Stem Cells Transl Med Premigratory neural crest stem cells generate enteric neurons populating the mouse colon and regulating peristalsis in tissue-engineered intestine. | ||
J Neurosci Myocardial Infarction Causes Transient Cholinergic Transdifferentiation of Cardiac Sympathetic Nerves via gp130. |









