验证数据展示
经过测试的应用
| Positive WB detected in | human blood tissue |
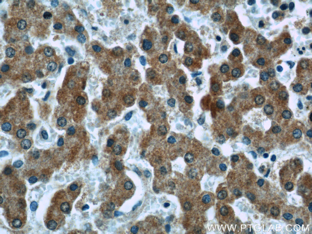
| Positive IHC detected in | human liver tissue Note: suggested antigen retrieval with TE buffer pH 9.0; (*) Alternatively, antigen retrieval may be performed with citrate buffer pH 6.0 |
| Positive IF-P detected in | human liver tissue |
Mouse monoclonal antibodies of IgM isotype can be detected with "anti-mouse IgG (H+L)" secondary antibodies.
推荐稀释比
| 应用 | 推荐稀释比 |
|---|---|
| Western Blot (WB) | WB : 1:500-1:2000 |
| Immunohistochemistry (IHC) | IHC : 1:20-1:200 |
| Immunofluorescence (IF)-P | IF-P : 1:200-1:800 |
| It is recommended that this reagent should be titrated in each testing system to obtain optimal results. | |
| Sample-dependent, Check data in validation data gallery. | |
产品信息
66154-1-Ig targets Complement factor B in WB, IHC, IF-P, ELISA applications and shows reactivity with human samples.
| 经测试应用 | WB, IHC, IF-P, ELISA Application Description |
| 经测试反应性 | human |
| 免疫原 |
CatNo: Ag19107 Product name: Recombinant human CFB protein Source: e coli.-derived, PET28a Tag: 6*His Domain: 574-762 aa of BC007990 Sequence: DYDVALIKLKNKLKYGQTIRPICLPCTEGTTRALRLPPTTTCQQQKEELLPAQDIKALFVSEEEKKLTRKEVYIKNGDKKGSCERDAQYAPGYDKVKDISEVVTPRFLCTGGVSPYADPNTCRGDSGGPLIVHKRSRFIQVGVISWGVVDVCKNQKRQKQVPAHARDFHINLFQVLPWLKEKLQDEDLG 种属同源性预测 |
| 宿主/亚型 | Mouse / IgM |
| 抗体类别 | Monoclonal |
| 产品类型 | Antibody |
| 全称 | complement factor B |
| 别名 | CFB, 8D2B6, BF, BFD, C3/C5 convertase |
| 计算分子量 | 86 kDa |
| 观测分子量 | 93 kDa |
| GenBank蛋白编号 | BC007990 |
| 基因名称 | Complement factor B |
| Gene ID (NCBI) | 629 |
| RRID | AB_2881550 |
| 偶联类型 | Unconjugated |
| 形式 | Liquid |
| 纯化方式 | Caprylic acid/ammonium sulfate precipitation |
| UNIPROT ID | P00751 |
| 储存缓冲液 | PBS with 0.02% sodium azide and 50% glycerol, pH 7.3. |
| 储存条件 | Store at -20°C. Stable for one year after shipment. Aliquoting is unnecessary for -20oC storage. |
背景介绍
Complement factor B (CFB) is a component of the alternative pathway of complement activation. Complement factor B is cleaved into Ba and Bb by factor D in the presence of C3b. The active subunit Bb is a serine protease which associates with C3b to form the alternative pathway C3 convertase. Bb is involved in the proliferation of preactivated B lymphocytes, while Ba inhibits their proliferation.
实验方案
| Product Specific Protocols | |
|---|---|
| IF protocol for Complement factor B antibody 66154-1-Ig | Download protocol |
| IHC protocol for Complement factor B antibody 66154-1-Ig | Download protocol |
| WB protocol for Complement factor B antibody 66154-1-Ig | Download protocol |
| Standard Protocols | |
|---|---|
| Click here to view our Standard Protocols |




