验证数据展示
经过测试的应用
| Positive WB detected in | HeLa cells |
| Positive IP detected in | HeLa cells |
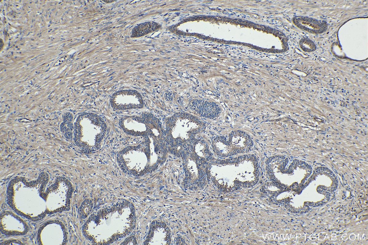
| Positive IHC detected in | human prostate cancer tissue Note: suggested antigen retrieval with TE buffer pH 9.0; (*) Alternatively, antigen retrieval may be performed with citrate buffer pH 6.0 |
| Positive IF/ICC detected in | MCF-7 cells, HeLa cells |
推荐稀释比
| 应用 | 推荐稀释比 |
|---|---|
| Western Blot (WB) | WB : 1:500-1:1000 |
| Immunoprecipitation (IP) | IP : 0.5-4.0 ug for 1.0-3.0 mg of total protein lysate |
| Immunohistochemistry (IHC) | IHC : 1:500-1:2000 |
| Immunofluorescence (IF)/ICC | IF/ICC : 1:200-1:800 |
| It is recommended that this reagent should be titrated in each testing system to obtain optimal results. | |
| Sample-dependent, Check data in validation data gallery. | |
产品信息
22490-1-AP targets CEP290 in WB, IHC, IF/ICC, IP, ELISA applications and shows reactivity with human samples.
| 经测试应用 | WB, IHC, IF/ICC, IP, ELISA Application Description |
| 文献引用应用 | WB, IHC, IF, IP |
| 经测试反应性 | human |
| 文献引用反应性 | human, mouse |
| 免疫原 |
CatNo: Ag17457 Product name: Recombinant human CEP290 protein Source: e coli.-derived, PET28a Tag: 6*His Domain: 1-237 aa of BC008641 Sequence: QMDSDEMKKILAENSRKITVLQVNEKSLIRQYTTLVELERQLRKENEKQKNELLSMEAEVCEKIGCLQRFKEMAIFKIAALQKVVDNSVSLSELELANKQYNELTAKYRDILQKDNMLVQRTSNLEHLECENISLKEQVESINKELEITKEKLHTIEQAWEQETKLGNESSMDKAKKSITNSDIVSISKKITMLEMKELNERQRAEHCQKMYEHLRTSLKQMEERNFELETKFAEV 种属同源性预测 |
| 宿主/亚型 | Rabbit / IgG |
| 抗体类别 | Polyclonal |
| 产品类型 | Antibody |
| 全称 | centrosomal protein 290kDa |
| 别名 | CT87, Centrosomal protein of 290 kDa, Cancer/testis antigen 87, BBS14, Bardet-Biedl syndrome 14 protein |
| 计算分子量 | 2479 aa, 290 kDa |
| 观测分子量 | 290 kDa |
| GenBank蛋白编号 | BC008641 |
| 基因名称 | CEP290 |
| Gene ID (NCBI) | 80184 |
| RRID | AB_10973679 |
| 偶联类型 | Unconjugated |
| 形式 | Liquid |
| 纯化方式 | Antigen affinity purification |
| UNIPROT ID | O15078 |
| 储存缓冲液 | PBS with 0.02% sodium azide and 50% glycerol, pH 7.3. |
| 储存条件 | Store at -20°C. Stable for one year after shipment. Aliquoting is unnecessary for -20oC storage. |
背景介绍
Studies in the Chlamydomonas model system has shown that the ciliary protein CEP290 is a critical component of these Y-link junctions. Additionally, numerous studies have demonstrated that CEP290's function is critical for IFT-in CEP290 knockdown experiments, many proteins that would normally localize to the cilium fail to do so, and cilium formation is disrupted or absent. Mutations in CEP290 are accountable for cases of nephronophthisis, Leber congenital amaurosis and Joubert syndrome. In IF analtsis of HeLa cells, the white arrows show centrosome and cilium staining. Two isoforms were produced by alternative splicing with predicted MW of 290 and 180 kDa according to UniProt. Catalog#22490-1-AP can recognise both.
实验方案
| Product Specific Protocols | |
|---|---|
| IF protocol for CEP290 antibody 22490-1-AP | Download protocol |
| IHC protocol for CEP290 antibody 22490-1-AP | Download protocol |
| IP protocol for CEP290 antibody 22490-1-AP | Download protocol |
| WB protocol for CEP290 antibody 22490-1-AP | Download protocol |
| Standard Protocols | |
|---|---|
| Click here to view our Standard Protocols |
发表文章
| Species | Application | Title |
|---|---|---|
Cell Rep A CEP290 C-Terminal Domain Complements the Mutant CEP290 of Rd16 Mice In Trans and Rescues Retinal Degeneration. | ||
EMBO Rep Trichoplein binds PCM1 and controls endothelial cell function by regulating autophagy. | ||
Aging (Albany NY) Centrosomal protein 290 is a novel prognostic indicator that modulates liver cancer cell ferroptosis via the Nrf2 pathway.
| ||
J Biol Chem DAZ interacting protein 1 (Dzip1) phosphorylation by Polo-like kinase 1 (Plk1) regulates the centriolar satellites localization of the BBSome during the cell cycle. | ||
J Biol Chem The myosin-tail homology domain of centrosomal protein 290 is essential for protein confinement between the inner and outer segments in photoreceptors.
|





