验证数据展示
经过测试的应用
| Positive WB detected in | HepG2 cells, HeLa cells, Jurkat cells |
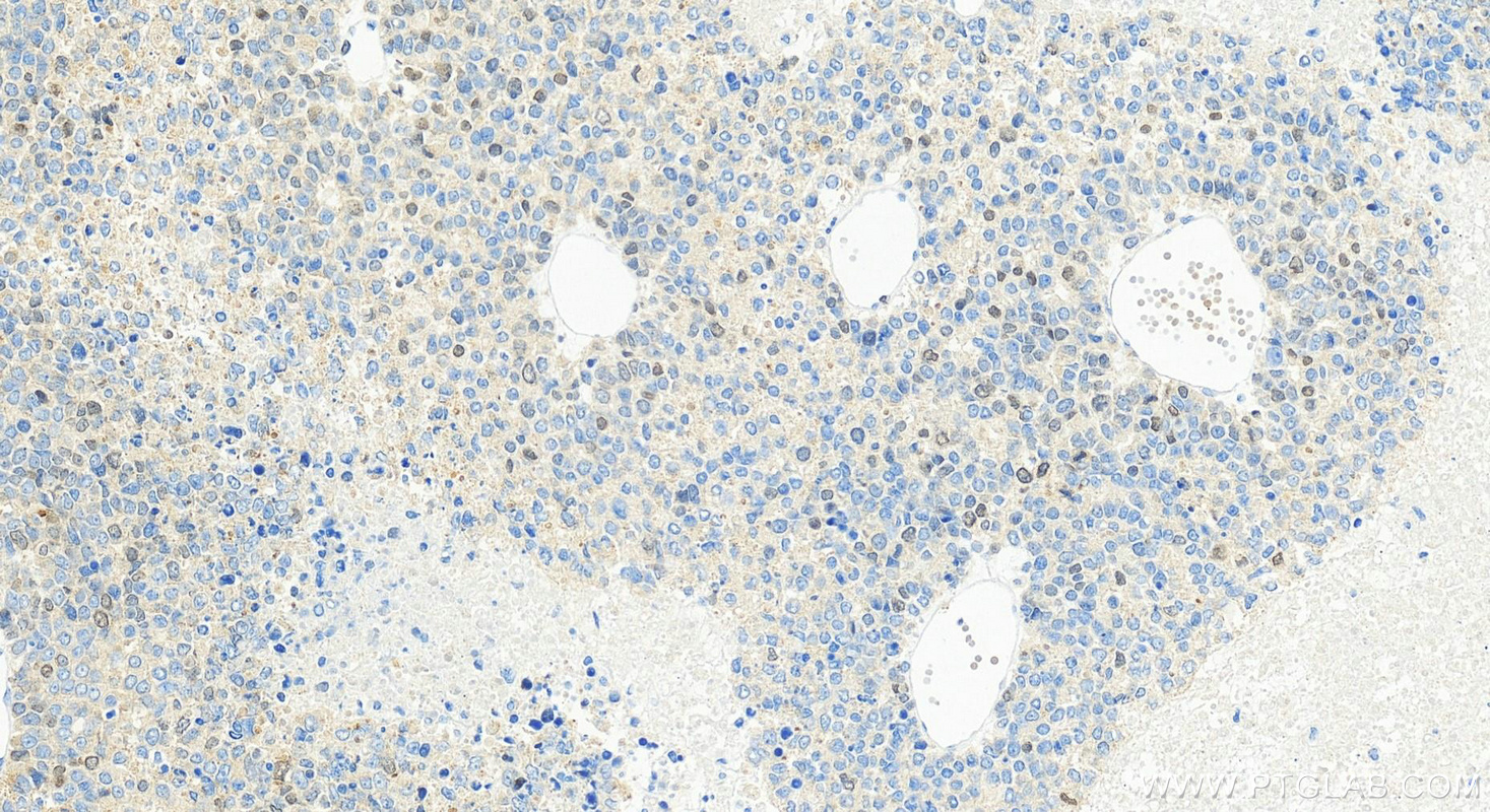
| Positive IHC detected in | Hepatocellular carcinoma tissue Note: suggested antigen retrieval with TE buffer pH 9.0; (*) Alternatively, antigen retrieval may be performed with citrate buffer pH 6.0 |
| Positive IF/ICC detected in | HepG2 cells |
推荐稀释比
| 应用 | 推荐稀释比 |
|---|---|
| Western Blot (WB) | WB : 1:500-1:2000 |
| Immunohistochemistry (IHC) | IHC : 1:200-1:800 |
| Immunofluorescence (IF)/ICC | IF/ICC : 1:500-1:2000 |
| It is recommended that this reagent should be titrated in each testing system to obtain optimal results. | |
| Sample-dependent, Check data in validation data gallery. | |
产品信息
86379-1-RR targets CDCA2 in WB, IHC, IF/ICC, ELISA applications and shows reactivity with human samples.
| 经测试应用 | WB, IHC, IF/ICC, ELISA Application Description |
| 经测试反应性 | human |
| 免疫原 |
CatNo: Ag11967 Product name: Recombinant human CDCA2 protein Source: e coli.-derived, PGEX-4T Tag: GST Domain: 512-863 aa of BC036214 Sequence: ATSDEDPNTNIMNINENKNIPKAKNKSESENEPKAGTDSPVSCASITEERVASDSPKPALTLQQGQEFSAGGQNAENLCQFFKISPDLNIKCERKDDFLGAAEGKLQCNRLMPNSQKDCHCLGDVLIENTKESKSQSEDLGRKPMESSSVVSCRDRKDRRRSMCYSDGRSLHLEKNGNHTPSSSVGSSVEISLENSELFKDLSDAIEQTFQRRNSETKVRRSTRLQKDLENEGLVWISLPLPSTSQKAKRRTICTFDSSGFESMSPIKETVSSRQKPQMAPPVSDPENSQGPAAGSSDEPGKRRKSFCISTLANTKATSQFKGYRRRSSLNGKGESSLTALERIEHNGERKQ 种属同源性预测 |
| 宿主/亚型 | Rabbit / IgG |
| 抗体类别 | Recombinant |
| 产品类型 | Antibody |
| 全称 | cell division cycle associated 2 |
| 别名 | Cell division cycle-associated protein 2, Repo Man, Repo-Man |
| 计算分子量 | 113 kDa |
| 观测分子量 | 140 kDa |
| GenBank蛋白编号 | BC036214 |
| 基因名称 | CDCA2 |
| Gene ID (NCBI) | 157313 |
| RRID | AB_3744851 |
| 偶联类型 | Unconjugated |
| 形式 | Liquid |
| 纯化方式 | Protein A purification |
| UNIPROT ID | Q69YH5 |
| 储存缓冲液 | PBS with 0.02% sodium azide and 50% glycerol, pH 7.3. |
| 储存条件 | Store at -20°C. Stable for one year after shipment. Aliquoting is unnecessary for -20oC storage. |
背景介绍
Cell division cycle associated 2(CDCA2) is a nuclear protein that is a specific regulatory subunit for protein phosphatase 1γ (PP1γ). CDCA2 is a candidate factor involved in preparing mitotic chromatin for the transition to interphase, and controls PP1γ-dependent essential DDR regulationCDCA2 regulates the DNA damage response(DDR) in cell cycle. In addition, CDCA2 modulates phosphorylation of major mitotic histone H3 in a PP1-dependent manner.
实验方案
| Product Specific Protocols | |
|---|---|
| IF protocol for CDCA2 antibody 86379-1-RR | Download protocol |
| IHC protocol for CDCA2 antibody 86379-1-RR | Download protocol |
| WB protocol for CDCA2 antibody 86379-1-RR | Download protocol |
| Standard Protocols | |
|---|---|
| Click here to view our Standard Protocols |




