验证数据展示
经过测试的应用
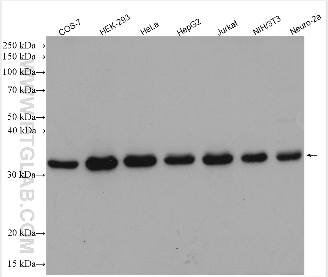
| Positive WB detected in | A431 cells, HeLa cells, HEK-293 cells, COS-7 cells, HepG2 cells, C2C12 cells, C6 cells, Jurkat cells, NIH/3T3 cells, Neuro-2a cells, MCF-7 cells | 
| Positive IP detected in | HeLa cells, HEK-293 cells | 
| Positive IHC detected in | human cervical cancer tissue, mouse liver tissue,  rat liver tissue Note: suggested antigen retrieval with TE buffer pH 9.0; (*) Alternatively, antigen retrieval may be performed with citrate buffer pH 6.0 | 
| Positive IF/ICC detected in | HeLa cells | 
| Positive FC (Intra) detected in | HeLa cells | 
推荐稀释比
| 应用 | 推荐稀释比 | 
|---|---|
| Western Blot (WB) | WB : 1:2000-1:10000 | 
| Immunoprecipitation (IP) | IP : 0.5-4.0 ug for 1.0-3.0 mg of total protein lysate | 
| Immunohistochemistry (IHC) | IHC : 1:100-1:400 | 
| Immunofluorescence (IF)/ICC | IF/ICC : 1:200-1:800 | 
| Flow Cytometry (FC) (INTRA) | FC (INTRA) : 0.40 ug per 10^6 cells in a 100 µl suspension | 
| It is recommended that this reagent should be titrated in each testing system to obtain optimal results. | |
| Sample-dependent, Check data in validation data gallery. | |
产品信息
19532-1-AP targets CDK1 in WB, IHC, IF/ICC, FC (Intra), IP, ChIP, ELISA applications and shows reactivity with human, mouse, rat, monkey samples.
| 经测试应用 | WB, IHC, IF/ICC, FC (Intra), IP, ELISA Application Description | 
| 文献引用应用 | WB, IHC, IF, IP, ChIP | 
| 经测试反应性 | human, mouse, rat, monkey | 
| 文献引用反应性 | human, mouse, rat, pig, chicken, sheep | 
| 免疫原 | Peptide种属同源性预测 | 
| 宿主/亚型 | Rabbit / IgG | 
| 抗体类别 | Polyclonal | 
| 产品类型 | Antibody | 
| 全称 | cell division cycle 2, G1 to S and G2 to M | 
| 别名 | CDK1-Specific, CDC2, CDC28A, CDKN1, Cell division protein kinase 1 | 
| 计算分子量 | 34 kDa | 
| 观测分子量 | 30-34 kDa | 
| GenBank蛋白编号 | NM_001786 | 
| 基因名称 | CDK1 | 
| Gene ID (NCBI) | 983 | 
| RRID | AB_10638617 | 
| 偶联类型 | Unconjugated | 
| 形式 | Liquid | 
| 纯化方式 | Antigen affinity purification | 
| UNIPROT ID | P06493 | 
| 储存缓冲液 | PBS with 0.02% sodium azide and 50% glycerol, pH 7.3. | 
| 储存条件 | Store at -20°C. Stable for one year after shipment. Aliquoting is unnecessary for -20oC storage. | 
背景介绍
CDK1, also named as CDC2, belongs to the protein kinase superfamily, CMGC Ser/Thr protein kinase family and CDC2/CDKX subfamily. CDK1 plays a key role in the control of the eukaryotic cell cycle. It is required in higher cells for entry into S-phase and mitosis. CDK1 is a catalytic subunit of the highly conserved protein kinase complex known as M-phase promoting factor (MPF), which is essential for G1/S and G2/M phase transitions of eukaryotic cell cycle. It is a component of the kinase complex that phosphorylates the repetitive C-terminus of RNA polymerase II. Mitotic cyclins stably associate with CDK1 and function as regulatory subunits. CDK1 has 2 isoforms produced by alternative splicing with the molecular mass of 34 kDa and 27 kDa. This antibody may have cross reaction with CDK2.
实验方案
| Product Specific Protocols | |
|---|---|
| IF protocol for CDK1 antibody 19532-1-AP | Download protocol | 
| IHC protocol for CDK1 antibody 19532-1-AP | Download protocol | 
| IP protocol for CDK1 antibody 19532-1-AP | Download protocol | 
| WB protocol for CDK1 antibody 19532-1-AP | Download protocol | 
| Standard Protocols | |
|---|---|
| Click here to view our Standard Protocols | 
发表文章
| Species | Application | Title | 
|---|---|---|
| Signal Transduct Target Ther SARS-CoV-2 hijacks cellular kinase CDK2 to promote viral RNA synthesis
 | ||
| Nat Cell Biol Caspase-2 is a condensate-mediated deubiquitinase in protein quality control | ||
| Cell Res Single-cell RNA-seq highlights intra-tumoral heterogeneity and malignant progression in pancreatic ductal adenocarcinoma. | ||
| Nat Struct Mol Biol Aurora kinase A-mediated phosphorylation triggers structural alteration of Rab1A to enhance ER complexity during mitosis | ||
| Nat Commun Stabilization of Pin1 by USP34 promotes Ubc9 isomerization and protein sumoylation in glioma stem cells | ||













