验证数据展示
经过测试的应用
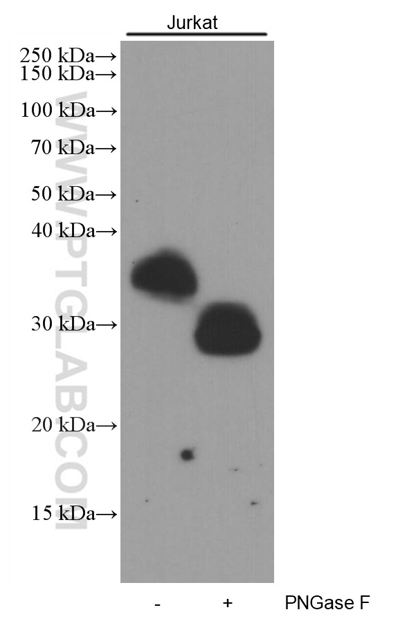
| Positive WB detected in | Jurkat cells, HepG2 cells, HuH-7 cells, MOLT-4 cells |
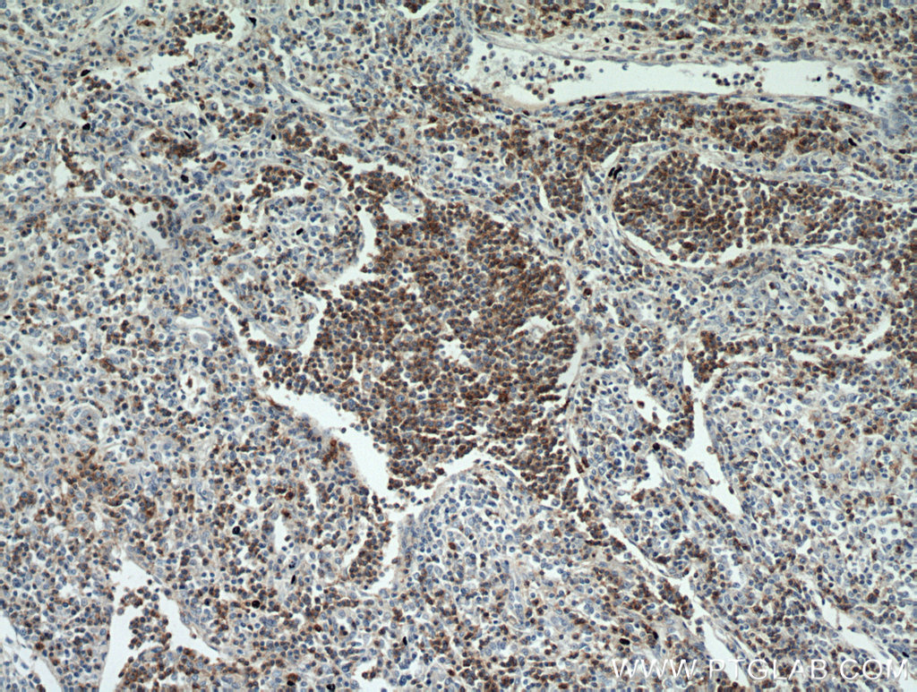
| Positive IHC detected in | human tonsillitis tissue, human appendicitis tissue, human lymphoma tissue, mouse thymus tissue Note: suggested antigen retrieval with TE buffer pH 9.0; (*) Alternatively, antigen retrieval may be performed with citrate buffer pH 6.0 |
推荐稀释比
| 应用 | 推荐稀释比 |
|---|---|
| Western Blot (WB) | WB : 1:1000-1:4000 |
| Immunohistochemistry (IHC) | IHC : 1:1000-1:4000 |
| It is recommended that this reagent should be titrated in each testing system to obtain optimal results. | |
| Sample-dependent, Check data in validation data gallery. | |
产品信息
60209-2-Ig targets CD7 in WB, IHC, ELISA applications and shows reactivity with human, mouse samples.
| 经测试应用 | WB, IHC, ELISA Application Description |
| 经测试反应性 | human, mouse |
| 免疫原 |
CatNo: Ag1805 Product name: Recombinant human CD7 protein Source: e coli.-derived, PGEX-4T Tag: GST Domain: 1-240 aa of BC009293 Sequence: MAGPPRLLLLPLLLALARGLPGALAAQEVQQSPHCTTVPVGASVNITCSTSGGLRGIYLRQLGPQPQDIIYYEDGVVPTTDRRFRGRIDFSGSQDNLTITMHRLQLSDTGTYTCQAITEVNVYGSGTLVLVTEEQSQGWHRCSDAPPRASALPAPPTGSALPDPQTASALPDPPAASALPAALAVISFLLGLGLGVACVLARTQIKKLCSWRDKNSAACVVYEDMSHSRCNTLSSPNQYQ 种属同源性预测 |
| 宿主/亚型 | Mouse / IgG1 |
| 抗体类别 | Monoclonal |
| 产品类型 | Antibody |
| 全称 | CD7 molecule |
| 别名 | 2A4E6, CD7 molecule, GP40, LEU-9, T cell antigen CD7 |
| 计算分子量 | 240 aa, 25 kDa |
| 观测分子量 | 34-36 kDa |
| GenBank蛋白编号 | BC009293 |
| 基因名称 | CD7 |
| Gene ID (NCBI) | 924 |
| ENSEMBL Gene ID | ENSG00000173762 |
| RRID | AB_2881355 |
| 偶联类型 | Unconjugated |
| 形式 | Liquid |
| 纯化方式 | Protein G purification |
| UNIPROT ID | P09564 |
| 储存缓冲液 | PBS with 0.02% sodium azide and 50% glycerol, pH 7.3. |
| 储存条件 | Store at -20°C. Stable for one year after shipment. Aliquoting is unnecessary for -20oC storage. |
背景介绍
CD7, also known as Leu-9 or GP40, is a 40-kDa single-pass type I transmembrane glycoprotein belonging to the immunoglobulin superfamily. CD7 is expressed on thymocytes, T cells, NK cells, and cells in the early stages of T, B, and myeloid cell differentiation (PMID: 10530432). It is one of the earliest antigens to appear on cells of the T-lymphocyte lineage (PMID: 3501369). CD7 plays a significant role in T-cell and T-cell/B-cell interactions during early lymphoid development. It is involved in the regulation of cell signaling and biology, including T-cell activation, proliferation, and the expression of interleukin-2 receptor alpha (IL-2Rα) (PMID: 11485208). CD7 is not only a marker for T-cells but also has functional implications in immune cell interactions and adhesion. It can provide co-stimulatory signals and is associated with CD3 and CD45, participating in T-cell activation (PMID: 7523512).
实验方案
| Product Specific Protocols | |
|---|---|
| IHC protocol for CD7 antibody 60209-2-Ig | Download protocol |
| WB protocol for CD7 antibody 60209-2-Ig | Download protocol |
| Standard Protocols | |
|---|---|
| Click here to view our Standard Protocols |










