验证数据展示
经过测试的应用
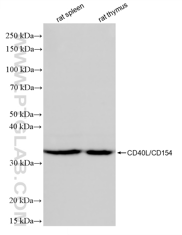
| Positive WB detected in | J774A.1 cells, rat spleen tissue, CTLL-2 cells, rat thymus tissue |
推荐稀释比
| 应用 | 推荐稀释比 |
|---|---|
| Western Blot (WB) | WB : 1:2000-1:18000 |
| It is recommended that this reagent should be titrated in each testing system to obtain optimal results. | |
| Sample-dependent, Check data in validation data gallery. | |
产品信息
83884-3-RR targets CD40L/CD154 in WB, ELISA applications and shows reactivity with mouse, rat samples.
| 经测试应用 | WB, ELISA Application Description |
| 经测试反应性 | mouse, rat |
| 免疫原 |
CatNo: Eg0990 Product name: Recombinant Mouse CD40 Ligand/TNFSF5 protein (His Tag) Source: mammalian cells-derived, pHZ-KIsec-C-6*HIS Tag: N-His Domain: 115-260 aa of NM_011616.2 Sequence: GDEDPQIAAHVVSEANSNAASVLQWAKKGYYTMKSNLVMLENGKQLTVKREGLYYVYTQVTFCSNREPSSQRPFIVGLWLKPSSGSERILLKAANTHSSSQLCEQQSVHLGGVFELQAGASVFVNVTEASQVIHRVGFSSFGLLKL 种属同源性预测 |
| 宿主/亚型 | Rabbit / IgG |
| 抗体类别 | Recombinant |
| 产品类型 | Antibody |
| 全称 | CD40 ligand |
| 别名 | CD154, Cd40l, 240743F5, CD40 ligand, Cd40lg |
| 计算分子量 | 29 kDa |
| 观测分子量 | 32 kDa |
| GenBank蛋白编号 | NM_011616.2 |
| 基因名称 | CD154 |
| Gene ID (NCBI) | 21947 |
| RRID | AB_3671466 |
| 偶联类型 | Unconjugated |
| 形式 | Liquid |
| 纯化方式 | Protein A purfication |
| UNIPROT ID | P27548 |
| 储存缓冲液 | PBS with 0.02% sodium azide and 50% glycerol, pH 7.3. |
| 储存条件 | Store at -20°C. Stable for one year after shipment. Aliquoting is unnecessary for -20oC storage. |
背景介绍
The CD40 ligand (CD40L, TRAP, CD154), a member of the TNF superfamily of ligands, is expressed as either a 33 kDa transmembrane homologue or an 18 kDa soluble form (sCD154). CD40L is primarily expressed on activated CD4+ T cells and a small proportion of CD8+ T cells and platelets. It binds to CD40 on antigen-presenting cells (APC), which leads to many effects depending on the target cell type. Recent studies have suggested that CD40/CD40L interactions regulate oxidative stress and affect various signaling pathways in both the immunological and the cardiovascular systems. The CD40/CD40L system is also involved in tumorigenesis.
实验方案
| Product Specific Protocols | |
|---|---|
| WB protocol for CD40L/CD154 antibody 83884-3-RR | Download protocol |
| Standard Protocols | |
|---|---|
| Click here to view our Standard Protocols |


