验证数据展示
经过测试的应用
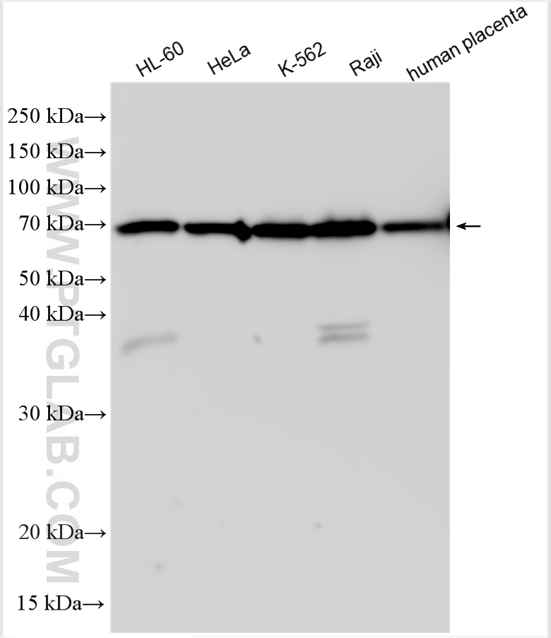
| Positive WB detected in | HL-60 cells, HeLa cells, K-562 cells, Raji cells, human placenta tissue |
| Positive IHC detected in | human tonsillitis tissue Note: suggested antigen retrieval with TE buffer pH 9.0; (*) Alternatively, antigen retrieval may be performed with citrate buffer pH 6.0 |
| Positive IF/ICC detected in | Raji cells |
推荐稀释比
| 应用 | 推荐稀释比 |
|---|---|
| Western Blot (WB) | WB : 1:500-1:3000 |
| Immunohistochemistry (IHC) | IHC : 1:200-1:800 |
| Immunofluorescence (IF)/ICC | IF/ICC : 1:200-1:800 |
| It is recommended that this reagent should be titrated in each testing system to obtain optimal results. | |
| Sample-dependent, Check data in validation data gallery. | |
产品信息
24145-1-AP targets CD320 in WB, IHC, IF/ICC, ELISA applications and shows reactivity with human samples.
| 经测试应用 | WB, IHC, IF/ICC, ELISA Application Description |
| 经测试反应性 | human |
| 免疫原 |
CatNo: Ag21445 Product name: Recombinant human CD320 protein Source: e coli.-derived, PGEX-4T Tag: GST Domain: 36-229 aa of BC000668 Sequence: SPLSTPTSAQAAGPSSGSCPPTKFQCRTSGLCVPLTWRCDRDLDCSDGSDEEECRIEPCTQKGQCPPPPGLPCPCTGVSDCSGGTDKKLRNCSRLACLAGELRCTLSDDCIPLTWRCDGHPDCPDSSDELGCGTNEILPEGDATTMGPPVTLESVTSLRNATTMGPPVTLESVPSVGNATSSSAGDQSGSPTAY 种属同源性预测 |
| 宿主/亚型 | Rabbit / IgG |
| 抗体类别 | Polyclonal |
| 产品类型 | Antibody |
| 全称 | CD320 molecule |
| 别名 | Transcobalamin receptor, TCblR, FDC-SM-8D6, FDC-signaling molecule 8D6, 8D6A |
| 计算分子量 | 29 kDa |
| 观测分子量 | 70 kDa |
| GenBank蛋白编号 | BC000668 |
| 基因名称 | CD320 |
| Gene ID (NCBI) | 51293 |
| RRID | AB_3669431 |
| 偶联类型 | Unconjugated |
| 形式 | Liquid |
| 纯化方式 | Antigen Affinity purified |
| UNIPROT ID | Q9NPF0 |
| 储存缓冲液 | PBS with 0.02% sodium azide and 50% glycerol, pH 7.3. |
| 储存条件 | Store at -20°C. Stable for one year after shipment. Aliquoting is unnecessary for -20oC storage. |
背景介绍
CD320, also known as 8D6, 8D6A or TCblR, is a single-pass type I membrane protein containing 2 LDL-receptor class A domains. Expressed abundantly on follicular dendritic cells (FDCs), CD320 has been shown to enhance proliferation of germinal center (GC) B cells. It is the receptor for cellular uptake of transcobalamin-bound cobalamin. Defects in CD320 are the cause of methylmalonic aciduria type TCblR (MMATC). CD320 has a calculated molecular mass of 29 kDa.The apparent molecular weight detected by this antibody is 70 kDa. The aberrant mobility of the protein by SDS-PAGE is probably caused by extensive complex glycosylation (PMID: 18779389; 23415653).
实验方案
| Product Specific Protocols | |
|---|---|
| IF protocol for CD320 antibody 24145-1-AP | Download protocol |
| IHC protocol for CD320 antibody 24145-1-AP | Download protocol |
| WB protocol for CD320 antibody 24145-1-AP | Download protocol |
| Standard Protocols | |
|---|---|
| Click here to view our Standard Protocols |


