验证数据展示
产品信息
66065-2-PBS targets CD31 as part of a matched antibody pair:
MP50319-2: 66065-2-PBS capture and 66065-5-PBS detection (validated in Cytometric bead array)
Unconjugated mouse monoclonal antibody pair in PBS only (BSA and azide free) storage buffer at a concentration of 1 mg/mL, ready for conjugation.
This conjugation ready format makes antibodies ideal for use in many applications including: ELISAs, multiplex assays requiring matched pairs, mass cytometry, and multiplex imaging applications.Antibody use should be optimized by the end user for each application and assay.
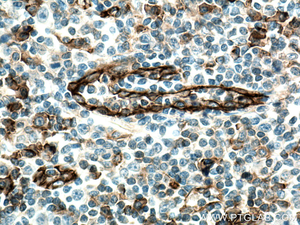
| 经测试应用 | WB, IHC, IF/ICC, IF-P, Cytometric bead array, Indirect ELISA Application Description |
| 经测试反应性 | human |
| 免疫原 |
CatNo: Ag19730 Product name: Recombinant human CD31 protein Source: e coli.-derived, PET28a Tag: 6*His Domain: 428-738 aa of BC022512 Sequence: EVRCESISGTLPISYQLLKTSKVLENSTKNSNDPAVFKDNPTEDVEYQCVADNCHSHAKMLSEVLRVKVIAPVDEVQISILSSKVVESGEDIVLQCAVNEGSGPITYKFYREKEGKPFYQMTSNATQAFWTKQKANKEQEGEYYCTAFNRANHASSVPRSKILTVRVILAPWKKGLIAVVIIGVIIALLIIAAKCYFLRKAKAKQMPVEMSRPAVPLLNSNNEKMSDPNMEANSHYGHNDDVGNHAMKPINDNKEPLNSDVQYTEVQVSSAESHKDLGKKDTETVYSEVRKAVPDAVESRYSRTEGSLDGT 种属同源性预测 |
| 宿主/亚型 | Mouse / IgG1 |
| 抗体类别 | Monoclonal |
| 产品类型 | Antibody |
| 全称 | platelet/endothelial cell adhesion molecule |
| 别名 | PECAM 1, PECA1, GPIIA', GPIIA, EndoCAM |
| 计算分子量 | 83 kDa |
| 观测分子量 | 120-130 kDa |
| GenBank蛋白编号 | BC022512 |
| 基因名称 | CD31 |
| Gene ID (NCBI) | 5175 |
| ENSEMBL Gene ID | ENSG00000261371 |
| RRID | AB_2918476 |
| 偶联类型 | Unconjugated |
| 形式 | Liquid |
| 纯化方式 | Protein G purification |
| UNIPROT ID | P16284 |
| 储存缓冲液 | PBS only, pH 7.3. |
| 储存条件 | Store at -80°C. The product is shipped with ice packs. Upon receipt, store it immediately at -80°C |
背景介绍
Platelet endothelial cell adhesion molecule-1 (PECAM-1, CD31) is a member of the immunoglobulin gene superfamily of cell adhesion molecules. CD31 is a transmembrane glycoprotein that is highly expressed on the surface of the endothelium, making up a large portion of its intracellular junctions. PECAM-1 is also present on the surface of hematopoietic cells and immune cells including platelets, monocytes, neutrophils, natural killer cells, megakaryocytes and some types of T-cell (PMID: 9011572). As well as its role in cell-cell adhesion, PECAM-1 functions as a signaling receptor, and is involved in important physiological events such as nitric oxide production, regulation of T-cell immunity and tolerance, leukocyte transendothelial migration and inflammation and angiogenesis (PMID: 21183735; 20978210; 17872453; 20634489).


















