验证数据展示
经过测试的应用
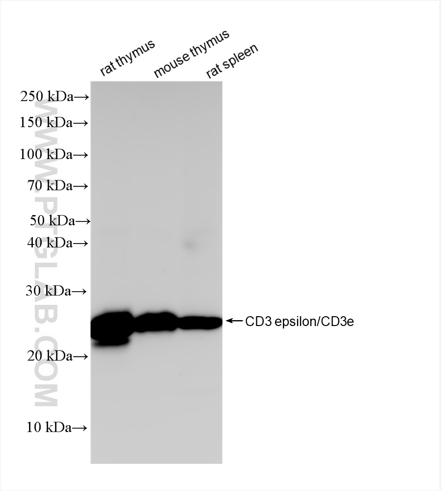
| Positive WB detected in | rat thymus tissue, CTLL-2 cells, mouse thymus tissue, rat spleen tissue |
| Positive IHC detected in | rat spleen tissue, rat thymus tissue Note: suggested antigen retrieval with TE buffer pH 9.0; (*) Alternatively, antigen retrieval may be performed with citrate buffer pH 6.0 |
| Positive IF-P detected in | rat thymus tissue, rat spleen tissue |
推荐稀释比
| 应用 | 推荐稀释比 |
|---|---|
| Western Blot (WB) | WB : 1:2000-1:10000 |
| Immunohistochemistry (IHC) | IHC : 1:500-1:2000 |
| Immunofluorescence (IF)-P | IF-P : 1:500-1:2000 |
| It is recommended that this reagent should be titrated in each testing system to obtain optimal results. | |
| Sample-dependent, Check data in validation data gallery. | |
产品信息
86053-1-RR targets CD3 epsilon in WB, IHC, IF-P, ELISA applications and shows reactivity with mouse, rat samples.
| 经测试应用 | WB, IHC, IF-P, ELISA Application Description |
| 经测试反应性 | mouse, rat |
| 免疫原 |
CatNo: Eg1450 Product name: Recombinant Rat CD3 epsilon protein (rFc Tag) Source: mammalian cells-derived, pHZ-KIsec-C-rFc Tag: C-rFc Domain: 24-103 aa of NP_001101610.2 Sequence: IEDTVTDDGAQKQYEVSISGTSVELTCPLENEDNLKWEKNDKVLPDKNEKHLVLEDFSEVKDSGYYVCYTESSRKNTYLY 种属同源性预测 |
| 宿主/亚型 | Rabbit / IgG |
| 抗体类别 | Recombinant |
| 产品类型 | Antibody |
| 全称 | CD3 molecule, epsilon polypeptide |
| 别名 | CD3e, T-cell surface glycoprotein CD3 epsilon chain |
| 计算分子量 | 22kDa |
| 观测分子量 | 22 kDa |
| GenBank蛋白编号 | NP_001101610.2 |
| 基因名称 | Cd3e |
| Gene ID (NCBI) | 315609 |
| RRID | AB_3744583 |
| 偶联类型 | Unconjugated |
| 形式 | Liquid |
| 纯化方式 | Protein A purification |
| UNIPROT ID | A6J423 |
| 储存缓冲液 | PBS with 0.02% sodium azide and 50% glycerol, pH 7.3. |
| 储存条件 | Store at -20°C. Stable for one year after shipment. Aliquoting is unnecessary for -20oC storage. |
背景介绍
CD3 is a multimeric protein associated with the T-cell receptor (TCR) to form a complex involved in antigen recognition and signal transduction (PMID: 15885124). CD3 is composed of CD3γ, δ, ε, and ζ chains (PMID: 1826255). It is expressed by thymocytes in a developmentally regulated manner, T cells, and some NK cells (PMID: 3289580). The TCR recognizes antigens bound to major histocompatibility complex (MHC) molecules. TCR-mediated peptide-MHC recognition is transmitted to the CD3 complex, leading to the intracellular signal transduction (PMID: 11985657). This antibody was raised against the epsilon chain of rat CD3 molecule.
实验方案
| Product Specific Protocols | |
|---|---|
| IF protocol for CD3 epsilon antibody 86053-1-RR | Download protocol |
| IHC protocol for CD3 epsilon antibody 86053-1-RR | Download protocol |
| WB protocol for CD3 epsilon antibody 86053-1-RR | Download protocol |
| Standard Protocols | |
|---|---|
| Click here to view our Standard Protocols |








