验证数据展示
经过测试的应用
| Positive WB detected in | Ramos cells |
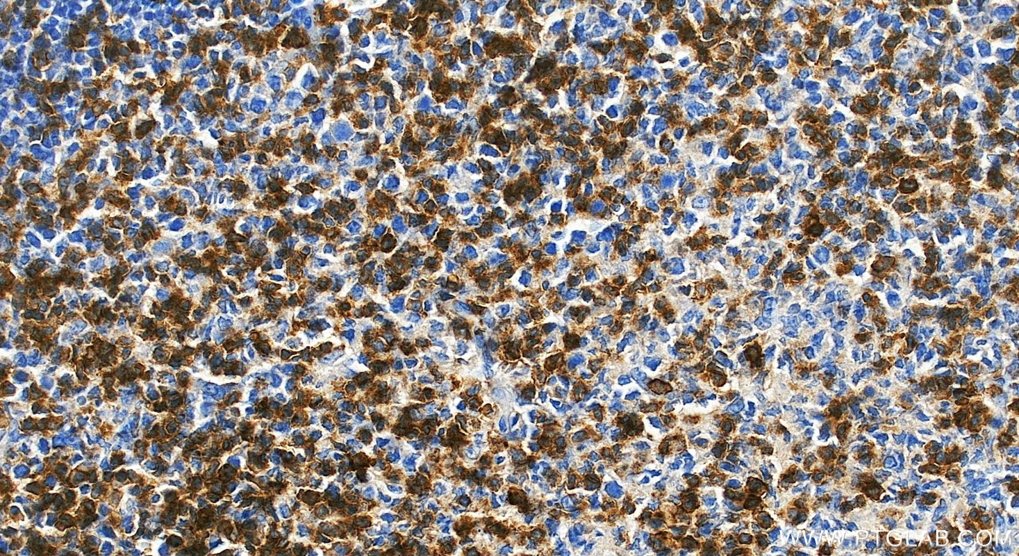
| Positive IHC detected in | human tonsillitis tissue Note: suggested antigen retrieval with TE buffer pH 9.0; (*) Alternatively, antigen retrieval may be performed with citrate buffer pH 6.0 |
| Positive IF-P detected in | human tonsillitis tissue |
| Positive IF/ICC detected in | Ramos cells |
推荐稀释比
| 应用 | 推荐稀释比 |
|---|---|
| Western Blot (WB) | WB : 1:2000-1:10000 |
| Immunohistochemistry (IHC) | IHC : 1:250-1:1000 |
| Immunofluorescence (IF)-P | IF-P : 1:300-1:1200 |
| Immunofluorescence (IF)/ICC | IF/ICC : 1:200-1:800 |
| It is recommended that this reagent should be titrated in each testing system to obtain optimal results. | |
| Sample-dependent, Check data in validation data gallery. | |
产品信息
85066-5-RR targets CD27 in WB, IHC, IF/ICC, IF-P, ELISA applications and shows reactivity with human samples.
| 经测试应用 | WB, IHC, IF/ICC, IF-P, ELISA Application Description |
| 经测试反应性 | human |
| 免疫原 |
CatNo: Eg1644 Product name: Recombinant Human CD27 protein (rFc Tag) Source: mammalian cells-derived, pHZ-KIsec-C-rFc Tag: C-rFc Domain: 20-191 aa of BC012160 Sequence: ATPAPKSCPERHYWAQGKLCCQMCEPGTFLVKDCDQHRKAAQCDPCIPGVSFSPDHHTRPHCESCRHCNSGLLVRNCTITANAECACRNGWQCRDKECTECDPLPNPSLTARSSQALSPHPQPTHLPYVSEMLEARTAGHMQTLADFRQLPARTLSTHWPPQRSLCSSDFIR 种属同源性预测 |
| 宿主/亚型 | Rabbit / IgG |
| 抗体类别 | Recombinant |
| 产品类型 | Antibody |
| 全称 | CD27 molecule |
| 别名 | 242731F2, CD27 antigen, CD27 molecule, CD27L receptor, S152 |
| 计算分子量 | 29 kDa |
| 观测分子量 | 50 kDa |
| GenBank蛋白编号 | BC012160 |
| 基因名称 | CD27 |
| Gene ID (NCBI) | 939 |
| ENSEMBL Gene ID | ENSG00000139193 |
| RRID | AB_3743984 |
| 偶联类型 | Unconjugated |
| 形式 | Liquid |
| 纯化方式 | Protein A purification |
| UNIPROT ID | P26842 |
| 储存缓冲液 | PBS with 0.02% sodium azide and 50% glycerol, pH 7.3. |
| 储存条件 | Store at -20°C. Stable for one year after shipment. Aliquoting is unnecessary for -20oC storage. |
背景介绍
CD27 (also known as TNFRSF7) is a type I glycoprotein expressed on some B cells and the majority of T cells, and is a member of the tumor necrosis factor (TNF) receptor family. CD27 is required for generation and long-term maintenance of T cell immunity (PMID: 11062504). It is a receptor for CD70 (CD27L). Ligation of CD27 by CD70 induces strong ubiquitination of TRAF and the activation of both canonical and non-canonical NF-kappaB pathways, as well as the JNK pathway (PMID: 19426224). CD27 may also play a role in apoptosis through association with SIVA1.
实验方案
| Product Specific Protocols | |
|---|---|
| IF protocol for CD27 antibody 85066-5-RR | Download protocol |
| IHC protocol for CD27 antibody 85066-5-RR | Download protocol |
| WB protocol for CD27 antibody 85066-5-RR | Download protocol |
| Standard Protocols | |
|---|---|
| Click here to view our Standard Protocols |





