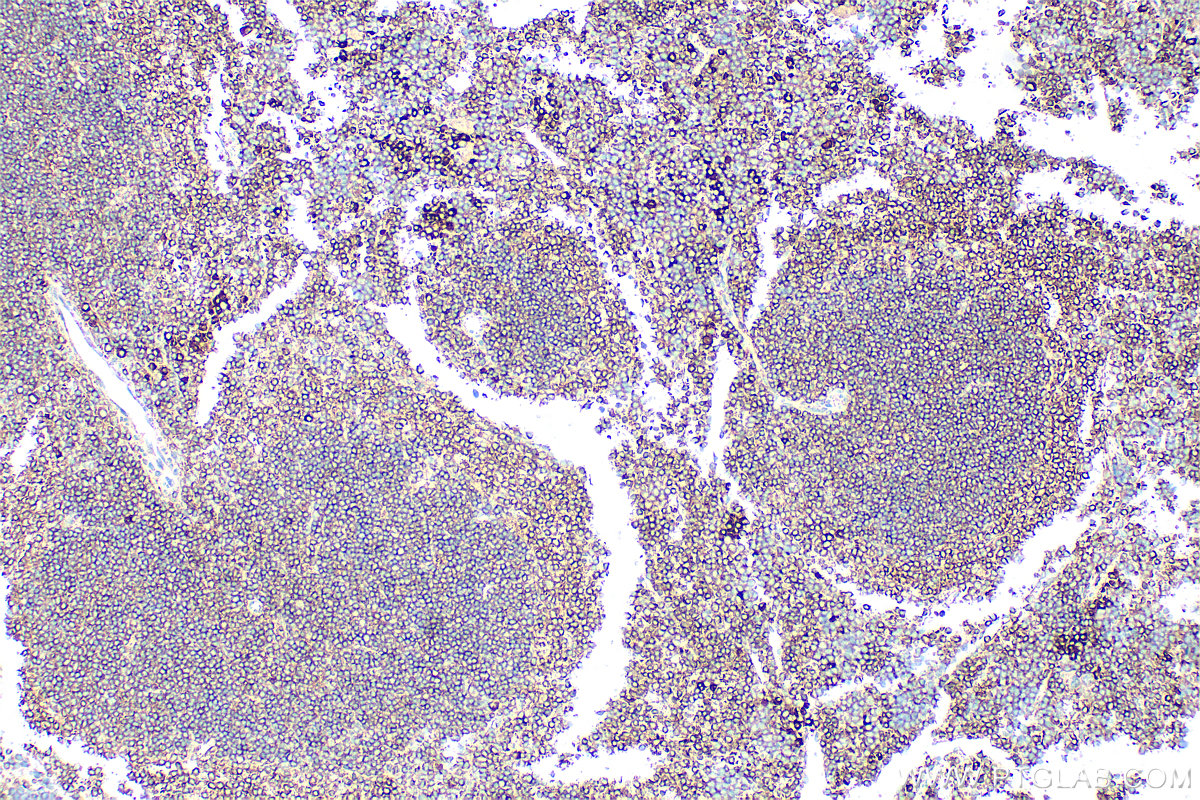
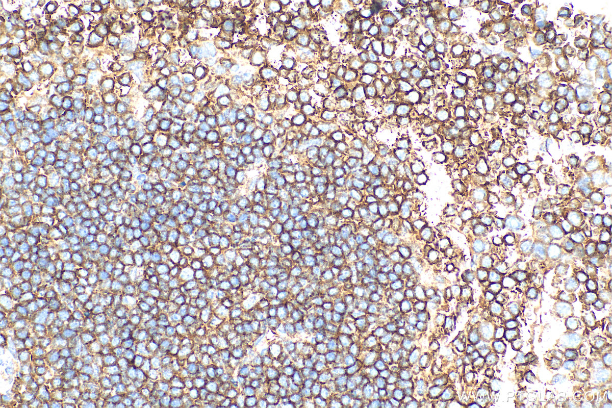
验证数据展示
经过测试的应用
| Positive WB detected in | EL-4 cells |
| Positive IHC detected in | mouse spleen tissue, mouse thymus tissue Note: suggested antigen retrieval with TE buffer pH 9.0; (*) Alternatively, antigen retrieval may be performed with citrate buffer pH 6.0 |
推荐稀释比
| 应用 | 推荐稀释比 |
|---|---|
| Western Blot (WB) | WB : 1:500-1:2000 |
| Immunohistochemistry (IHC) | IHC : 1:200-1:800 |
| It is recommended that this reagent should be titrated in each testing system to obtain optimal results. | |
| Sample-dependent, Check data in validation data gallery. | |
产品信息
32666-1-AP targets CD229/SLAMF3 in WB, IHC, ELISA applications and shows reactivity with mouse samples.
| 经测试应用 | WB, IHC, ELISA Application Description |
| 经测试反应性 | mouse |
| 免疫原 |
CatNo: Eg1586 Product name: Recombinant Mouse CD229/SLAMF3 protein (His Tag) Source: mammalian cells-derived, pHZ-KIsec-C-6*HIS Tag: C-6*HIS Domain: 48-453 aa of NM_001277968.1 Sequence: KETPPTVISGMLGGSVTFSLNISKDAEIEHIIWNCPPKALALVFYKKDITILDKGYNGRLKVSEDGYSLYMSNLTKSDSGSYHAQINQKNVILTTNKEFTLHIYEKLQKPQIIVESVTPSDTDSCTFTLICTVKGTKDSVQYSWTREDTHLNTYDGSHTLRVSQSVCDPDLPYTCKAWNPVSQNSSQPVRIWQFCTGASRRKTAAGKTVVGILGEPVTLPLEFRATRATKNVVWVFNTSVISQERRGAATADSRRKPKGSEERRVRTSDQDQSLKISQLKMEDAGPYHAYVCSEASRDPSVRHFTLLVYKRLEKPSVTKSPVHMMNGICEVVLTCSVDGGGNNVTYTWMPLQNKAVMSQGKSHLNVSWESGEHLPNFTCTAHNPVSNSSSQFSSGTICSGPERNKR 种属同源性预测 |
| 宿主/亚型 | Rabbit / IgG |
| 抗体类别 | Polyclonal |
| 产品类型 | Antibody |
| 全称 | lymphocyte antigen 9 |
| 别名 | Signaling lymphocytic activation molecule 3, Lymphocyte antigen 9, Ly-9, Ly9, Cell surface molecule Ly-9 |
| 计算分子量 | 73 kDa |
| 观测分子量 | 120 kDa |
| GenBank蛋白编号 | NM_001277968.1 |
| 基因名称 | Ly9 |
| Gene ID (NCBI) | 17085 |
| 偶联类型 | Unconjugated |
| 形式 | Liquid |
| 纯化方式 | Antigen affinity Purification |
| UNIPROT ID | Q01965 |
| 储存缓冲液 | PBS with 0.02% sodium azide and 50% glycerol, pH 7.3. |
| 储存条件 | Store at -20°C. Stable for one year after shipment. Aliquoting is unnecessary for -20oC storage. |
背景介绍
Signaling lymphocytic activation molecule 3 (SLAMF3), also known as CD229 or Ly9, is a type I transmembrane glycoprotein that belongs to the SLAM family receptors (PMID: 10970093; 15905546). It is composed of an extracellular region, which consists of four Ig-like domains, a transmembrane region, and a cytoplasmic tail, which includes two immunoreceptor tyrosine-based signaling motifs (ITSMs) and other tyrosine residues that act as binding sites for the SH2 structural domains (PMID: 8537117; 11369645; 38626547). SLAMF3 is mainly expressed in immune cells, such as T, B, and natural killer cells, and it is involved in the fundamental activation and suppression of these immune cells, as well as the regulation of complex immune networks (PMID: 38626547).
实验方案
| Product Specific Protocols | |
|---|---|
| IHC protocol for CD229/SLAMF3 antibody 32666-1-AP | Download protocol |
| WB protocol for CD229/SLAMF3 antibody 32666-1-AP | Download protocol |
| Standard Protocols | |
|---|---|
| Click here to view our Standard Protocols |




