验证数据展示
产品信息
66103-1-PBS targets CD22 as part of a matched antibody pair:
MP50311-4: 66103-1-PBS capture and 66103-6-PBS detection (validated in Cytometric bead array)
Unconjugated mouse monoclonal antibody pair in PBS only (BSA and azide free) storage buffer at a concentration of 1 mg/mL, ready for conjugation.
This conjugation ready format makes antibodies ideal for use in many applications including: ELISAs, multiplex assays requiring matched pairs, mass cytometry, and multiplex imaging applications.Antibody use should be optimized by the end user for each application and assay.
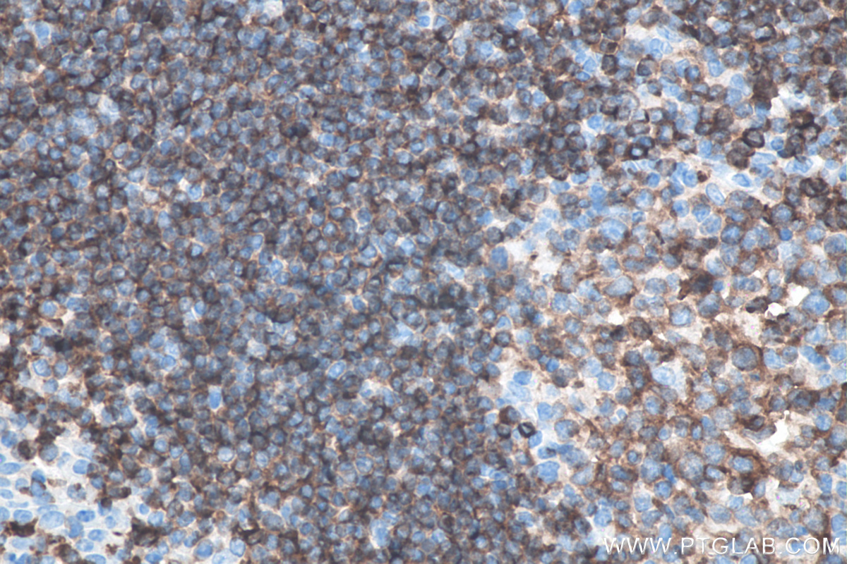
| 经测试应用 | WB, IHC, IF/ICC, IF-P, Cytometric bead array, Indirect ELISA Application Description |
| 经测试反应性 | human |
| 免疫原 |
CatNo: Ag17986 Product name: Recombinant human CD22 protein Source: e coli.-derived, PET28a Tag: 6*His Domain: 166-515 aa of BC109306 Sequence: ILHSPAVEGSQVEFLCMSLANPLPTNYTWYHNGKEMQGRTEEKVHIPKILPWHAGTYSCVAENILGTGQRGPGAELDVQYPPKKVTTVIQNPMPIREGDTVTLSCNYNSSNPSVTRYEWKPHGAWEEPSLGVLKIQNVGWDNTTIACAACNSWCSWASPVALNVQYAPRDVRVRKIKPLSEIHSGNSVSLQCDFSSSHPKEVQFFWEKNGRLLGKESQLNFDSISPEDAGSYSCWVNNSIGQTASKAWTLEVLYAPRRLRVSMSPGDQVMEGKSATLTCESDANPPVSHYTWFDWNNQSLPYHSQKLRLEPVKVQHSGAYWCQGTNSVGKGRSPLSTLTVYYSPETIGRR 种属同源性预测 |
| 宿主/亚型 | Mouse / IgG2a |
| 抗体类别 | Monoclonal |
| 产品类型 | Antibody |
| 全称 | CD22 molecule |
| 别名 | 7A2F1, B cell receptor CD22, B-cell receptor CD22, BL-CAM, B-lymphocyte cell adhesion molecule |
| 计算分子量 | 847 aa, 95 kDa |
| 观测分子量 | 135 kDa |
| GenBank蛋白编号 | BC109306 |
| 基因名称 | CD22 |
| Gene ID (NCBI) | 933 |
| RRID | AB_2881502 |
| 偶联类型 | Unconjugated |
| 形式 | Liquid |
| 纯化方式 | Protein A purification |
| UNIPROT ID | P20273 |
| 储存缓冲液 | PBS only, pH 7.3. |
| 储存条件 | Store at -80°C. The product is shipped with ice packs. Upon receipt, store it immediately at -80°C |
背景介绍
CD22, also known as Siglec-2 (sialic acid binding Ig-like lectin 2) or BL-CAM (B-lymphocyte cell adhesion molecule), is a 130-140 kDa, B-cell restricted, type I transmembrane glycoprotein belonging to the immunoglobulin gene superfamily. The expression of CD22 is developmentally regulated. It is expressed at low levels in the cytoplasm of pro-B and pre-B cells and present on the cell surface only at mature stages of B-cell differentiation. Cell surface expression is lost during terminal differentiation into plasma cell and after B-cell activation. CD22 is an inhibitory receptor for B-cell receptor (BCR) signalling, preferentially binds to alpha-2,6-linked sialic acid and mediates B-cell B-cell interactions. It plays a crucial role in activation and differentiation of the B-cell.










