验证数据展示
经过测试的应用
| Positive WB detected in | human placenta tissue |
| Positive IP detected in | human placenta tissue |
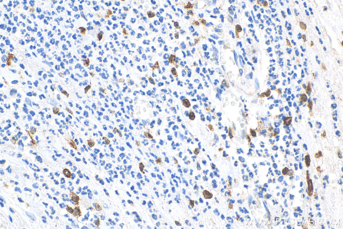
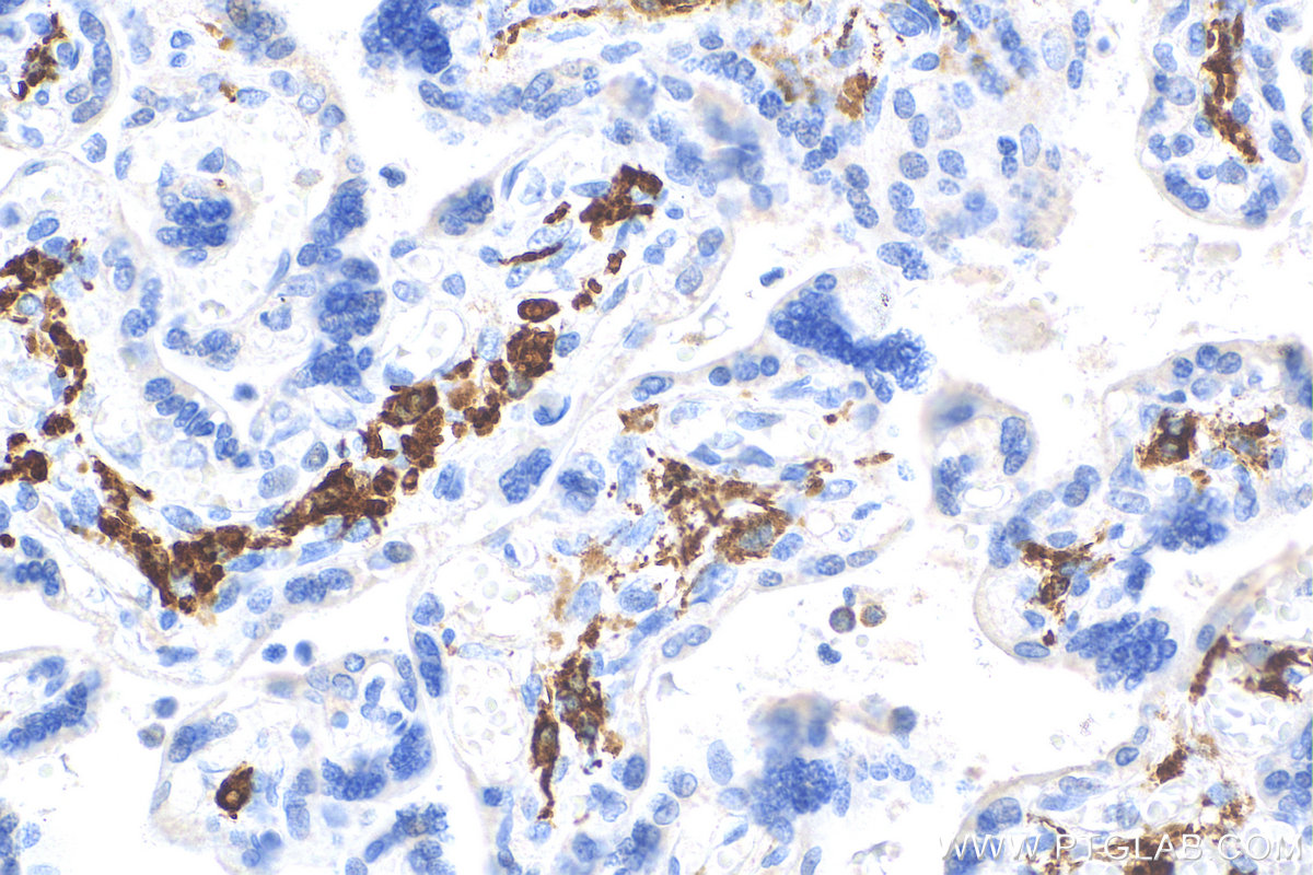
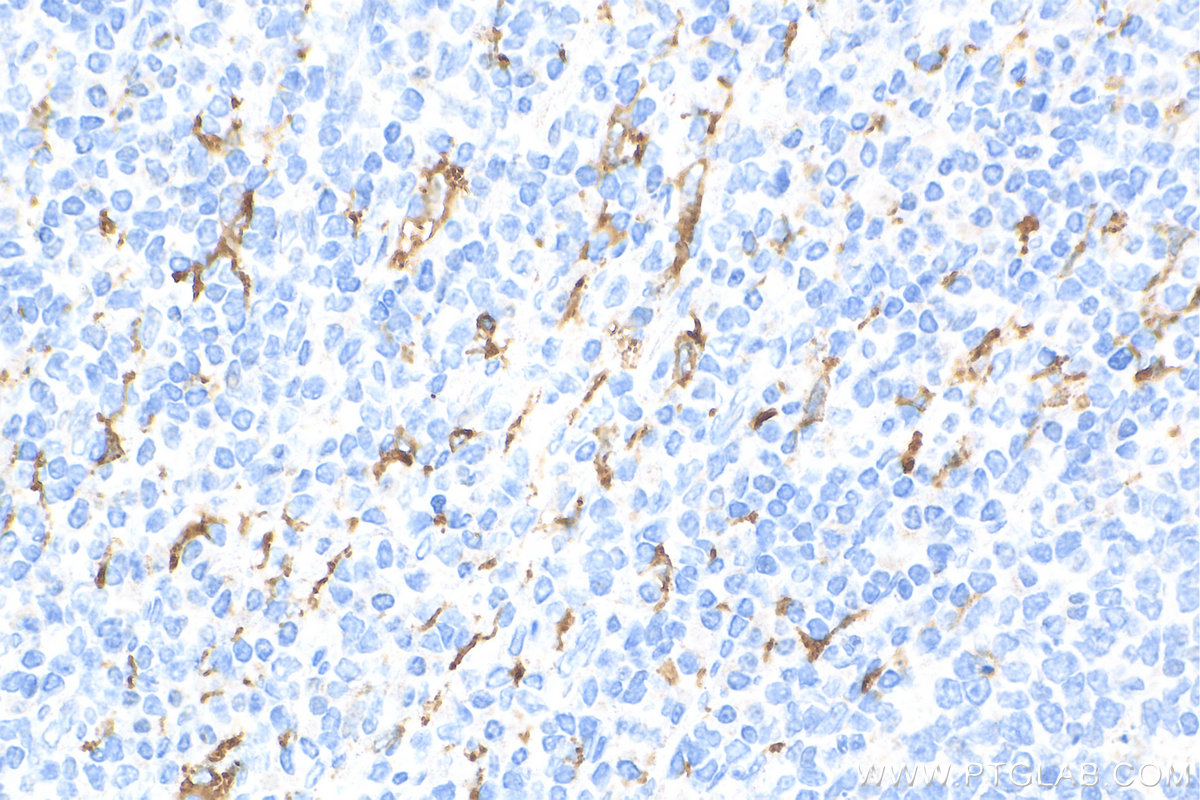
| Positive IHC detected in | human liver tissue, human appendicitis tissue, human lung cancer tissue, human placenta tissue, human tonsillitis tissue Note: suggested antigen retrieval with TE buffer pH 9.0; (*) Alternatively, antigen retrieval may be performed with citrate buffer pH 6.0 |
| Positive IF-P detected in | human liver tissue |
| Positive IF/ICC detected in | IL-4 treated RAW 264.7 cells |
推荐稀释比
| 应用 | 推荐稀释比 |
|---|---|
| Western Blot (WB) | WB : 1:5000-1:50000 |
| Immunoprecipitation (IP) | IP : 0.5-4.0 ug for 1.0-3.0 mg of total protein lysate |
| Immunohistochemistry (IHC) | IHC : 1:2500-1:10000 |
| Immunofluorescence (IF)-P | IF-P : 1:200-1:800 |
| Immunofluorescence (IF)/ICC | IF/ICC : 1:400-1:1600 |
| It is recommended that this reagent should be titrated in each testing system to obtain optimal results. | |
| Sample-dependent, Check data in validation data gallery. | |
产品信息
68218-1-Ig targets CD163 in WB, IHC, IF/ICC, IF-P, IP, ELISA applications and shows reactivity with human, mouse samples.
| 经测试应用 | WB, IHC, IF/ICC, IF-P, IP, ELISA Application Description |
| 文献引用应用 | WB, IHC, IF |
| 经测试反应性 | human, mouse |
| 文献引用反应性 | human, mouse, rabbit |
| 免疫原 |
CatNo: Ag26721 Product name: Recombinant human CD163 protein Source: e coli.-derived, PET28a Tag: 6*His Domain: 46-401 aa of BC051281 Sequence: GTDKELRLVDGENKCSGRVEVKVQEEWGTVCNNGWSMEAVSVICNQLGCPTAIKAPGWANSSAGSGRIWMDHVSCRGNESALWDCKHDGWGKHSNCTHQQDAGVTCSDGSNLEMRLTRGGNMCSGRIEIKFQGRWGTVCDDNFNIDHASVICRQLECGSAVSFSGSSNFGEGSGPIWFDDLICNGNESALWNCKHQGWGKHNCDHAEDAGVICSKGADLSLRLVDGVTECSGRLEVRFQGEWGTICDDGWDSYDAAVACKQLGCPTAVTAIGRVNASKGFGHIWLDSVSCQGHEPAVWQCKHHEWGKHYCNHNEDAGVTCSDGSDLELRLRGGGSRCAGTVEVEIQRLLGKVCDRG 种属同源性预测 |
| 宿主/亚型 | Mouse / IgG1 |
| 抗体类别 | Monoclonal |
| 产品类型 | Antibody |
| 全称 | CD163 molecule |
| 别名 | 2G7A5, CD163 molecule, Hemoglobin scavenger receptor, M130, MM130 |
| 计算分子量 | 1156 aa, 125 kDa |
| 观测分子量 | 145-150 kDa |
| GenBank蛋白编号 | BC051281 |
| 基因名称 | CD163 |
| Gene ID (NCBI) | 9332 |
| ENSEMBL Gene ID | ENSG00000177575 |
| RRID | AB_2935306 |
| 偶联类型 | Unconjugated |
| 形式 | Liquid |
| 纯化方式 | Protein G purification |
| UNIPROT ID | Q86VB7 |
| 储存缓冲液 | PBS with 0.02% sodium azide and 50% glycerol, pH 7.3. |
| 储存条件 | Store at -20°C. Stable for one year after shipment. Aliquoting is unnecessary for -20oC storage. |
背景介绍
CD163 is a transmembrane protein which belongs to the scavenger receptor cysteine-rich (SRCR) superfamily. This protein is a scavenger receptor for the hemoglobin-haptoglobin complex and is a marker for monocytes and macrophages. Soluble CD163 (sCD163), as a result of ectodomain shedding during inflammatory activation of macrophages, circulates in blood and has been suggested as a plasma/serum marker for macrophage activity.
实验方案
| Product Specific Protocols | |
|---|---|
| IF protocol for CD163 antibody 68218-1-Ig | Download protocol |
| IHC protocol for CD163 antibody 68218-1-Ig | Download protocol |
| IP protocol for CD163 antibody 68218-1-Ig | Download protocol |
| WB protocol for CD163 antibody 68218-1-Ig | Download protocol |
| Standard Protocols | |
|---|---|
| Click here to view our Standard Protocols |
发表文章
| Species | Application | Title |
|---|---|---|
ACS Appl Bio Mater Calycosin-7-glucoside-Loaded Hydrogel Promotes Wound Healing in Gestational Diabetes Mellitus | ||
Int J Mol Sci Identification and Exploration of Pyroptosis-Related Genes in Macrophage Cells Reveal Necrotizing Enterocolitis Heterogeneity Through Single-Cell and Bulk-Sequencing | ||
J Transl Med MRO/HNRNPU/CCL5 feedback loop amplifies M2 macrophage and breast cancer cell crosstalk to drive progression. | ||
Hum Cell METTL14 knockdown augmented the polarization of M2-like macrophages to promote acute myeloid leukemia progression. | ||
Phytomedicine Yiqi Huayu Jiedu decoction enhances pathological response in neoadjuvant chemotherapy-treated gastric cancer patients: A prospective, randomized controlled trial. | ||
Int J Genomics Chaperonins in Hepatocellular Carcinoma: Unveiling Their Role in Tumor Proliferation and Immune Modulation Through Multiomics Analysis. |















