验证数据展示
经过测试的应用
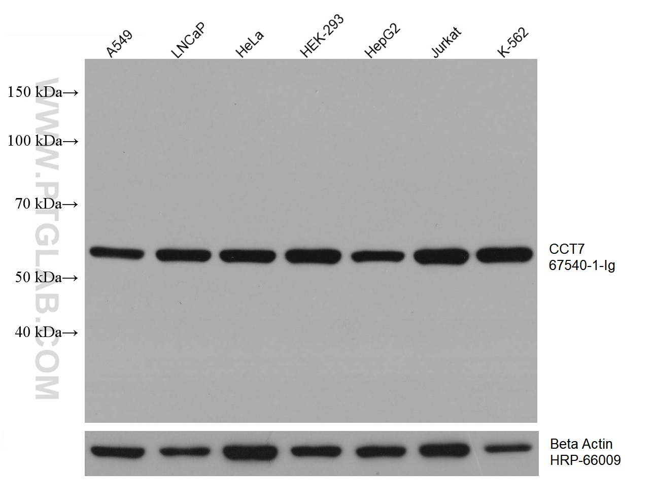
| Positive WB detected in | A549 cells, NIH/3T3 cells, HEK-293 cells, LNCaP cells, Hela cells, HepG cells, Jurkat cells, K-562 cells |
| Positive IHC detected in | mouse kidney tissue, mouse liver tissue Note: suggested antigen retrieval with TE buffer pH 9.0; (*) Alternatively, antigen retrieval may be performed with citrate buffer pH 6.0 |
| Positive IF/ICC detected in | U2OS cells, MCF-7 cells |
推荐稀释比
| 应用 | 推荐稀释比 |
|---|---|
| Western Blot (WB) | WB : 1:5000-1:50000 |
| Immunohistochemistry (IHC) | IHC : 1:50-1:500 |
| Immunofluorescence (IF)/ICC | IF/ICC : 1:200-1:800 |
| It is recommended that this reagent should be titrated in each testing system to obtain optimal results. | |
| Sample-dependent, Check data in validation data gallery. | |
发表文章中的应用
| WB | See 1 publications below |
产品信息
67540-1-Ig targets TCP1 eta in WB, IHC, IF/ICC, ELISA applications and shows reactivity with human, mouse samples.
| 经测试应用 | WB, IHC, IF/ICC, ELISA Application Description |
| 文献引用应用 | WB |
| 经测试反应性 | human, mouse |
| 文献引用反应性 | human |
| 免疫原 |
CatNo: Ag9502 Product name: Recombinant human CCT7 protein Source: e coli.-derived, PET28a Tag: 6*His Domain: 240-543 aa of BC019296 Sequence: LNVELELKAEKDNAEIRVHTVEDYQAIVDAEWNILYDKLEKIHHSGAKVVLSKLPIGDVATQYFADRDMFCAGRVPEEDLKRTMMACGGSIQTSVNALSADVLGRCQVFEETQIGGERYNFFTGCPKAKTCTFILRGGAEQFMEETERSLHDAIMIVRRAIKNDSVVAGGGAIEMELSKYLRDYSRTIPGKQQLLIGAYAKALEIIPRQLCDNAGFDATNILNKLRARHAQGGTWYGVDINNEDIADNFEAFVWEPAMVRINALTAASEAACLIVSVDETIKNPRSTVDAPTAAGRGRGRGRPH 种属同源性预测 |
| 宿主/亚型 | Mouse / IgG1 |
| 抗体类别 | Monoclonal |
| 产品类型 | Antibody |
| 全称 | chaperonin containing TCP1, subunit 7 (eta) |
| 别名 | CCT7, CCT ETA, CCT-eta, CCTH, Chaperonin containing T-complex polypeptide 1 subunit 7 |
| 计算分子量 | 543 aa, 59 kDa |
| 观测分子量 | 59 kDa |
| GenBank蛋白编号 | BC019296 |
| 基因名称 | CCT7 |
| Gene ID (NCBI) | 10574 |
| RRID | AB_2882759 |
| 偶联类型 | Unconjugated |
| 形式 | Liquid |
| 纯化方式 | Protein G purification |
| UNIPROT ID | Q99832 |
| 储存缓冲液 | PBS with 0.02% sodium azide and 50% glycerol, pH 7.3. |
| 储存条件 | Store at -20°C. Stable for one year after shipment. Aliquoting is unnecessary for -20oC storage. |
背景介绍
CCT7 is a subunit of CCT complex-a large cytosolic chaperonin complex composed of two hetero-oligomeric stacked rings able to interact with nascent polypeptides, which mediates protein folding in an ATP-dependent manner and prevents aggregation in eukaryotes. Each ring consists of eight different subunits (CCT1 to CCT8). CCT7 is involved in preventing aggregation of GPCRs and in regulating their expression, maturation, and transport to the cell surface.
实验方案
| Product Specific Protocols | |
|---|---|
| IF protocol for TCP1 eta antibody 67540-1-Ig | Download protocol |
| IHC protocol for TCP1 eta antibody 67540-1-Ig | Download protocol |
| WB protocol for TCP1 eta antibody 67540-1-Ig | Download protocol |
| Standard Protocols | |
|---|---|
| Click here to view our Standard Protocols |








