验证数据展示
经过测试的应用
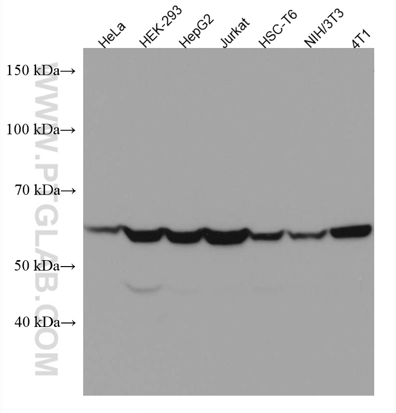
| Positive WB detected in | HeLa cells, HEK-293 cells, HepG2 cells, Jurkat cells, HSC-T6 cells, NIH/3T3 cells, 4T1 cells | 
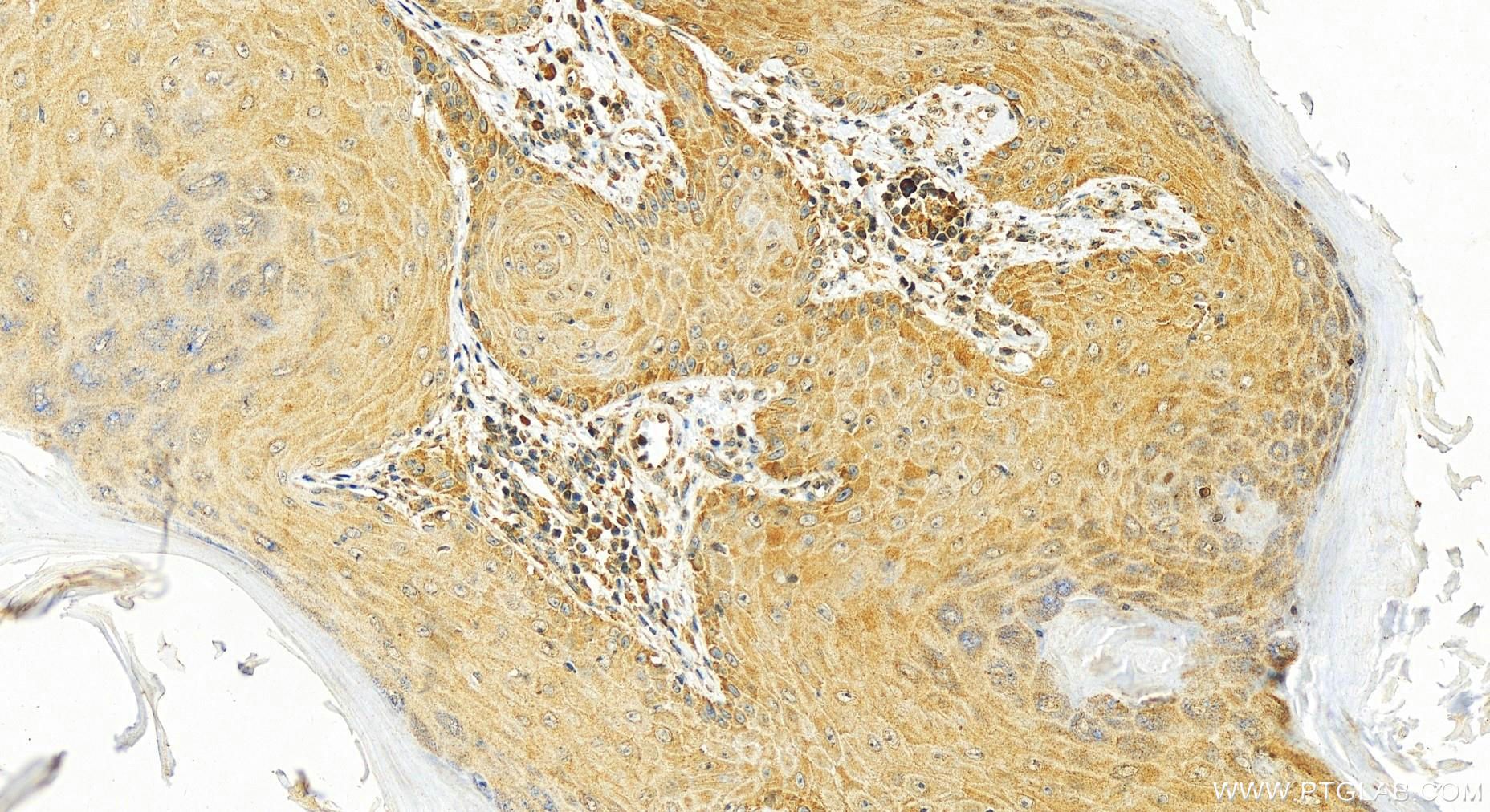
| Positive IHC detected in | human skin cancer tissue Note: suggested antigen retrieval with TE buffer pH 9.0; (*) Alternatively, antigen retrieval may be performed with citrate buffer pH 6.0  | 
| Positive IF/ICC detected in | U2OS cells, HepG2 cells | 
推荐稀释比
| 应用 | 推荐稀释比 | 
|---|---|
| Western Blot (WB) | WB : 1:2000-1:10000 | 
| Immunohistochemistry (IHC) | IHC : 1:500-1:2000 | 
| Immunofluorescence (IF)/ICC | IF/ICC : 1:400-1:1600 | 
| It is recommended that this reagent should be titrated in each testing system to obtain optimal results. | |
| Sample-dependent, Check data in validation data gallery. | |
发表文章中的应用
| WB | See 2 publications below | 
| IF | See 1 publications below | 
产品信息
67400-1-Ig targets CCT5 in WB, IHC, IF/ICC, ELISA applications and shows reactivity with human, mouse, rat samples.
| 经测试应用 | WB, IHC, IF/ICC, ELISA Application Description | 
| 文献引用应用 | WB, IF | 
| 经测试反应性 | human, mouse, rat | 
| 文献引用反应性 | human | 
| 免疫原 | 
                                             CatNo: Ag21421 Product name: Recombinant human CCT5 protein Source: e coli.-derived, PET28a Tag: 6*His Domain: 243-541 aa of BC035499 Sequence: VEDAKIAILTCPFEPPKPKTKHKLDVTSVEDYKALQKYEKEKFEEMIQQIKETGANLAICQWGFDDEANHLLLQNNLPAVRWVGGPEIELIAIATGGRIVPRFSELTAEKLGFAGLVQEISFGTTKDKMLVIEQCKNSRAVTIFIRGGNKMIIEEAKRSLHDALCVIRNLIRDNRVVYGGGAAEISCALAVSQEADKCPTLEQYAMRAFADALEVIPMALSENSGMNPIQTMTEVRARQVKEMNPALGIDCLHKGTNDMKQQHVIETLIGKKQQISLATQMVRMILKIDDIRKPGESEE 种属同源性预测 | 
                                    
| 宿主/亚型 | Mouse / IgG1 | 
| 抗体类别 | Monoclonal | 
| 产品类型 | Antibody | 
| 全称 | chaperonin containing TCP1, subunit 5 (epsilon) | 
| 别名 | 1B12E10, CCT epsilon, CCTE, CCT-epsilon, Chaperonin containing T-complex polypeptide 1 subunit 5 | 
| 计算分子量 | 541 aa, 60 kDa | 
| 观测分子量 | 60 kDa | 
| GenBank蛋白编号 | BC035499 | 
| 基因名称 | CCT5 | 
| Gene ID (NCBI) | 22948 | 
| RRID | AB_2882643 | 
| 偶联类型 | Unconjugated | 
| 形式 | Liquid | 
| 纯化方式 | Protein G purification | 
| UNIPROT ID | P48643 | 
| 储存缓冲液 | PBS with 0.02% sodium azide and 50% glycerol, pH 7.3. | 
| 储存条件 | Store at -20°C. Stable for one year after shipment. Aliquoting is unnecessary for -20oC storage. | 
背景介绍
CCT5 is a subunit of chaperonin containing TCP1 complex that is also known as the TCP1 ring complex (TRiC). CCT5 involves enhancing Wnt/β-catenin signalling activity in GCs through abrogating the interaction between E-cadherin and β-catenin (PMID: 35194191). The expression levels of CCT5 have been found to be upregulated in types of cancers, including breast cancer, colon cancer, lung cancer, glioblastoma, hepatocellular carcinoma and ovarian cancer (PMID: 36768350). Human CCT5 consist of 541 amino acids organized in β-sheets and α-helixes distributed into three domains and has a predicted molecular weight of 60 kDa.
实验方案
| Product Specific Protocols | |
|---|---|
| IF protocol for CCT5 antibody 67400-1-Ig | Download protocol | 
| IHC protocol for CCT5 antibody 67400-1-Ig | Download protocol | 
| WB protocol for CCT5 antibody 67400-1-Ig | Download protocol | 
| Standard Protocols | |
|---|---|
| Click here to view our Standard Protocols | 
发表文章
| Species | Application | Title | 
|---|---|---|
bioRxiv Autophagosomes coordinate an AKAP11-dependent regulatory checkpoint that shapes neuronal PKA signaling | ||





