验证数据展示
经过测试的应用
| Positive WB detected in | HEK-293 cells, rat kidney tissue, HeLa cells, Jurkat cells, mouse brain tissue, mouse kidney tissue, U2OS cells, rat brain tissue |
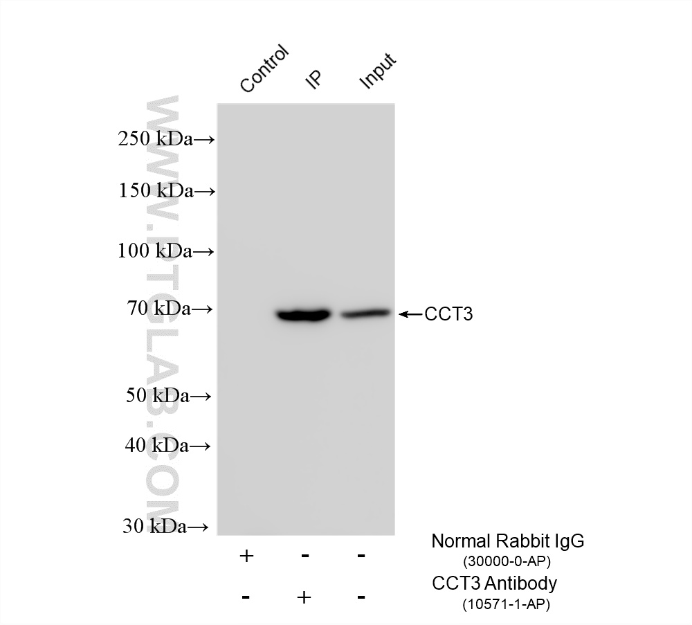
| Positive IP detected in | mouse brain tissue |
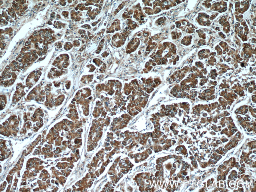
| Positive IHC detected in | mouse liver tissue Note: suggested antigen retrieval with TE buffer pH 9.0; (*) Alternatively, antigen retrieval may be performed with citrate buffer pH 6.0 |
| Positive IF/ICC detected in | HepG2 cells |
| Positive FC (Intra) detected in | HepG2 cells |
推荐稀释比
| 应用 | 推荐稀释比 |
|---|---|
| Western Blot (WB) | WB : 1:5000-1:50000 |
| Immunoprecipitation (IP) | IP : 0.5-4.0 ug for 1.0-3.0 mg of total protein lysate |
| Immunohistochemistry (IHC) | IHC : 1:50-1:500 |
| Immunofluorescence (IF)/ICC | IF/ICC : 1:200-1:800 |
| Flow Cytometry (FC) (INTRA) | FC (INTRA) : 0.25 ug per 10^6 cells in a 100 µl suspension |
| It is recommended that this reagent should be titrated in each testing system to obtain optimal results. | |
| Sample-dependent, Check data in validation data gallery. | |
产品信息
10571-1-AP targets CCT3 in WB, IHC, IF/ICC, IP, CoIP, ELISA applications and shows reactivity with human, mouse, rat samples.
| 经测试应用 | WB, IHC, IF/ICC, IP, ELISA Application Description |
| 文献引用应用 | WB, IHC, IF, IP, CoIP |
| 经测试反应性 | human, mouse, rat |
| 文献引用反应性 | human, mouse |
| 免疫原 |
CatNo: Ag0843 Product name: Recombinant human CCT3 protein Source: e coli.-derived, PGEX-4T Tag: GST Domain: 246-545 aa of BC006501 Sequence: EYKKGESQTDIEITREEDFTRILQMEEEYIQQLCEDIIQLKPDVVITEKGISDLAQHYLMRANITAIRRVRKTDNNRIARACGARIVSRPEELREDDVGTGAGLLEIKKIGDEYFTFITDCKDPKACTILLRGASKEILSEVERNLQDAMQVCRNVLLDPQLVPGGGASEMAVAHALTEKSKAMTGVEQWPYRAVAQALEVIPRTLIQNCGASTIRLLTSLRAKHTQENCETWGVNGETGTLVDMKELGIWEPLAVKLQTYKTAVETAVLLLRIDDIVSGHKKKGDDQSRQGGAPDAGQE 种属同源性预测 |
| 宿主/亚型 | Rabbit / IgG |
| 抗体类别 | Polyclonal |
| 产品类型 | Antibody |
| 全称 | chaperonin containing TCP1, subunit 3 (gamma) |
| 别名 | TCP 1 gamma, CCT gamma, CCTG, CCTgamma, CCT-gamma |
| 计算分子量 | 60 kDa |
| 观测分子量 | 60 kDa |
| GenBank蛋白编号 | BC006501 |
| 基因名称 | CCT3 |
| Gene ID (NCBI) | 7203 |
| RRID | AB_2073658 |
| 偶联类型 | Unconjugated |
| 形式 | Liquid |
| 纯化方式 | Antigen affinity purification |
| UNIPROT ID | P49368 |
| 储存缓冲液 | PBS with 0.02% sodium azide and 50% glycerol, pH 7.3. |
| 储存条件 | Store at -20°C. Stable for one year after shipment. Aliquoting is unnecessary for -20oC storage. |
实验方案
| Product Specific Protocols | |
|---|---|
| FC protocol for CCT3 antibody 10571-1-AP | Download protocol |
| IF protocol for CCT3 antibody 10571-1-AP | Download protocol |
| IHC protocol for CCT3 antibody 10571-1-AP | Download protocol |
| IP protocol for CCT3 antibody 10571-1-AP | Download protocol |
| WB protocol for CCT3 antibody 10571-1-AP | Download protocol |
| Standard Protocols | |
|---|---|
| Click here to view our Standard Protocols |
发表文章
| Species | Application | Title |
|---|---|---|
Adv Sci (Weinh) Primate-Specific DAZ Regulates Translation of Cell Proliferation-Related mRNAs and is Essential for Maintenance of Spermatogonia | ||
Proc Natl Acad Sci U S A BBS6, BBS10, and BBS12 form a complex with CCT/TRiC family chaperonins and mediate BBSome assembly.
| ||
Dev Biol Involvement of multimeric protein complexes in mediating the capacitation-dependent binding of human spermatozoa to homologous zonae pellucidae. |









