验证数据展示
经过测试的应用
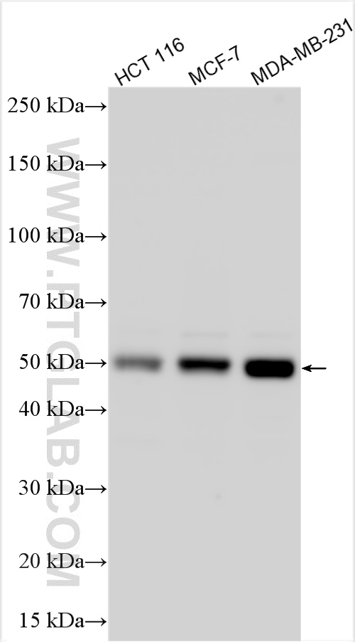
| Positive WB detected in | HCT 116 cells, MCF-7 cells, MDA-MB-231 cells |
推荐稀释比
| 应用 | 推荐稀释比 |
|---|---|
| Western Blot (WB) | WB : 1:2000-1:16000 |
| It is recommended that this reagent should be titrated in each testing system to obtain optimal results. | |
| Sample-dependent, Check data in validation data gallery. | |
产品信息
31200-1-AP targets CCDC85C in applications and shows reactivity with human samples.
| 经测试应用 | WB, ELISA Application Description |
| 经测试反应性 | human |
| 免疫原 |
CatNo: Ag35157 Product name: Recombinant human CCDC85C protein Source: e coli.-derived, PGEX-4T Tag: GST Domain: 220-390 aa of NM_001144995 Sequence: HHHVPPPLLPPGPHKAPDGKAGATRRSLDDLSAPPHHRSIPNGLHDPSSTYIRQLESKVRLLEGDKLLAQQAGSGEFRTLRKGFSPYHSESQLASLPPSYQDSLQNGPACPAPELPSPPSAGYSPAGQKPEAVVHAMKVLEVHENLDRQLQDSCEEDLSEKEKAIVREMCN 种属同源性预测 |
| 宿主/亚型 | Rabbit / IgG |
| 抗体类别 | Polyclonal |
| 产品类型 | Antibody |
| 全称 | coiled-coil domain containing 85C |
| 别名 | FLJ22558 |
| 计算分子量 | 419 aa, 45 kDa |
| 观测分子量 | 45-50 kDa |
| GenBank蛋白编号 | NM_001144995 |
| 基因名称 | CCDC85C |
| Gene ID (NCBI) | 317762 |
| 偶联类型 | Unconjugated |
| 形式 | Liquid |
| 纯化方式 | Antigen affinity Purification |
| UNIPROT ID | A6NKD9 |
| 储存缓冲液 | PBS with 0.02% sodium azide and 50% glycerol, pH 7.3. |
| 储存条件 | Store at -20°C. Stable for one year after shipment. Aliquoting is unnecessary for -20oC storage. |
背景介绍
Ccdc85c (coiled-coil domain containing 85c) is a gene encoding protein, which is located on human chromosome 14 (14q32.2) and belongs to the helical loop domain protein family. The protein is mainly expressed in the neuroepithelial cells of the lateral ventricle wall of the brain, especially at the top junction of radial glial cells. In addition, it is also expressed in a variety of monolayer epithelial cells, but not in stratified epithelial cells. CCDC85C is the pathogenic gene of hereditary hydrocephalus and subcortical endometriosis (often accompanied by cerebral hemorrhage). In CCDC85C gene knockout (KO) mice and rats, abnormal development of ventricular system was observed, resulting in hydrocephalus and cerebral hemorrhage (PMID: 37271245).
实验方案
| Product Specific Protocols | |
|---|---|
| WB protocol for CCDC85C antibody 31200-1-AP | Download protocol |
| Standard Protocols | |
|---|---|
| Click here to view our Standard Protocols |
