验证数据展示
经过测试的应用
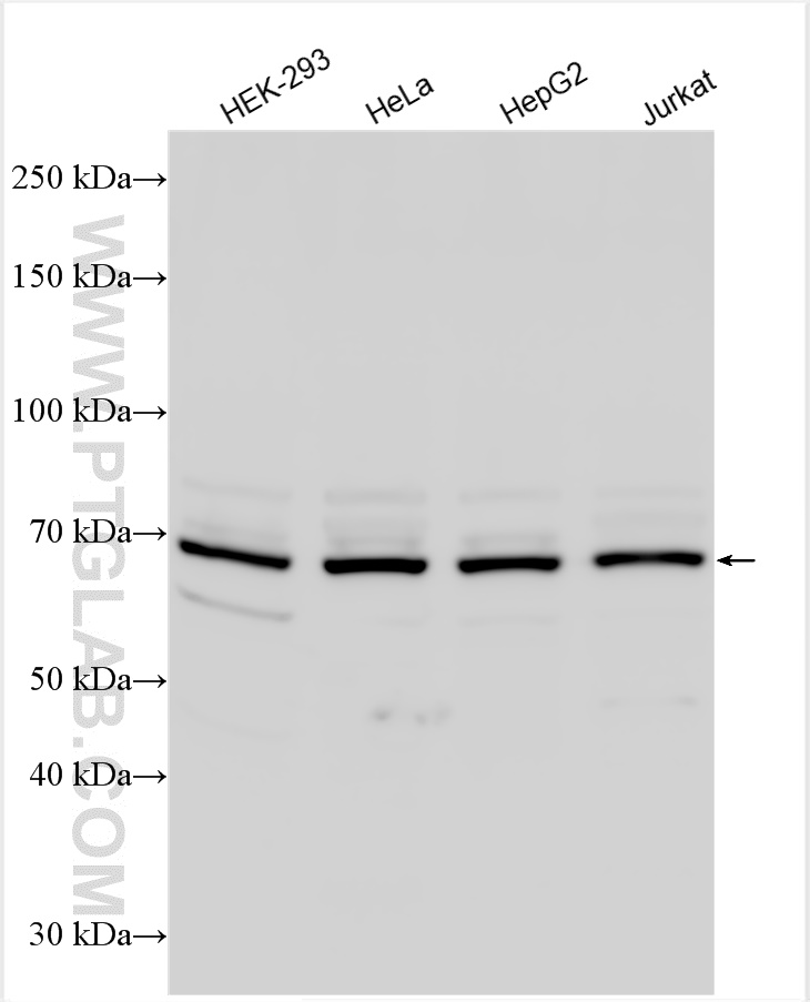
| Positive WB detected in | human brain tissue, HEK-293 cells, HepG2 cells, mouse colon tissue, mouse lung tissue, rat colon tissue, HeLa cells, Jurkat cells | 
| Positive IP detected in | mouse lung tissue | 
推荐稀释比
| 应用 | 推荐稀释比 | 
|---|---|
| Western Blot (WB) | WB : 1:500-1:2000 | 
| Immunoprecipitation (IP) | IP : 0.5-4.0 ug for 1.0-3.0 mg of total protein lysate | 
| It is recommended that this reagent should be titrated in each testing system to obtain optimal results. | |
| Sample-dependent, Check data in validation data gallery. | |
产品信息
16636-1-AP targets CCDC22 in WB, IP, CoIP, ELISA applications and shows reactivity with human, mouse, rat samples.
| 经测试应用 | WB, IP, ELISA Application Description | 
| 文献引用应用 | WB, IP, CoIP | 
| 经测试反应性 | human, mouse, rat | 
| 文献引用反应性 | human, mouse | 
| 免疫原 | CatNo: Ag9980 Product name: Recombinant human CCDC22 protein Source: e coli.-derived, PGEX-4T Tag: GST Domain: 283-628 aa of BC000972 Sequence: AKTGAPKGSRFTHSEKFTFHLEPQAQATQVSDVPATSRRPEQVTWAAQEQELESLREQLEGVNRSIEEVEADMKTLGVSFVQAESECRHSKLSTAEREQALRLKSRAVELLPDGTANLAKLQLVVENSAQRVIHLAGQWEKHRVPLLAEYRHLRKLQDCRELESSRRLAEIQELHQSVRAAAEEARRKEEVYKQLMSELETLPRDVSRLAYTQRILEIVGNIRKQKEEITKILSDTKELQKEINSLSGKLDRTFAVTDELVFKDAKKDDAVRKAYKYLAALHENCSQLIQTIEDTGTIMREVRDLEEQIETELGKKTLSNLEKIREDYRALRQENAGLLGRVREA种属同源性预测 | 
| 宿主/亚型 | Rabbit / IgG | 
| 抗体类别 | Polyclonal | 
| 产品类型 | Antibody | 
| 全称 | coiled-coil domain containing 22 | 
| 别名 | JM1, CXorf37, Coiled-coil domain-containing protein 22, Coiled coil domain containing protein 22, coiled coil domain containing 22 | 
| 计算分子量 | 71 kDa | 
| 观测分子量 | 71 kDa | 
| GenBank蛋白编号 | BC000972 | 
| 基因名称 | CCDC22 | 
| Gene ID (NCBI) | 28952 | 
| RRID | AB_2072065 | 
| 偶联类型 | Unconjugated | 
| 形式 | Liquid | 
| 纯化方式 | Antigen affinity purification | 
| UNIPROT ID | O60826 | 
| 储存缓冲液 | PBS with 0.02% sodium azide and 50% glycerol, pH 7.3. | 
| 储存条件 | Store at -20°C. Stable for one year after shipment. Aliquoting is unnecessary for -20oC storage. | 
实验方案
| Product Specific Protocols | |
|---|---|
| IP protocol for CCDC22 antibody 16636-1-AP | Download protocol | 
| WB protocol for CCDC22 antibody 16636-1-AP | Download protocol | 
| Standard Protocols | |
|---|---|
| Click here to view our Standard Protocols | 
发表文章
| Species | Application | Title | 
|---|---|---|
| Nat Cell Biol Retriever is a multiprotein complex for retromer-independent endosomal cargo recycling. | ||
| Nat Commun A genome-wide CRISPR screen identifies host factors that regulate SARS-CoV-2 entry. | ||
| Nat Commun CCC- and WASH-mediated endosomal sorting of LDLR is required for normal clearance of circulating LDL. | ||
| J Cell Biol Endosomal sorting of Notch receptors through COMMD9-dependent pathways modulates Notch signaling. | ||
| Mol Metab Genome-wide CRISPR screen identified a role for commander complex mediated ITGB1 recycling in basal insulin secretion. | 







