验证数据展示
经过测试的应用
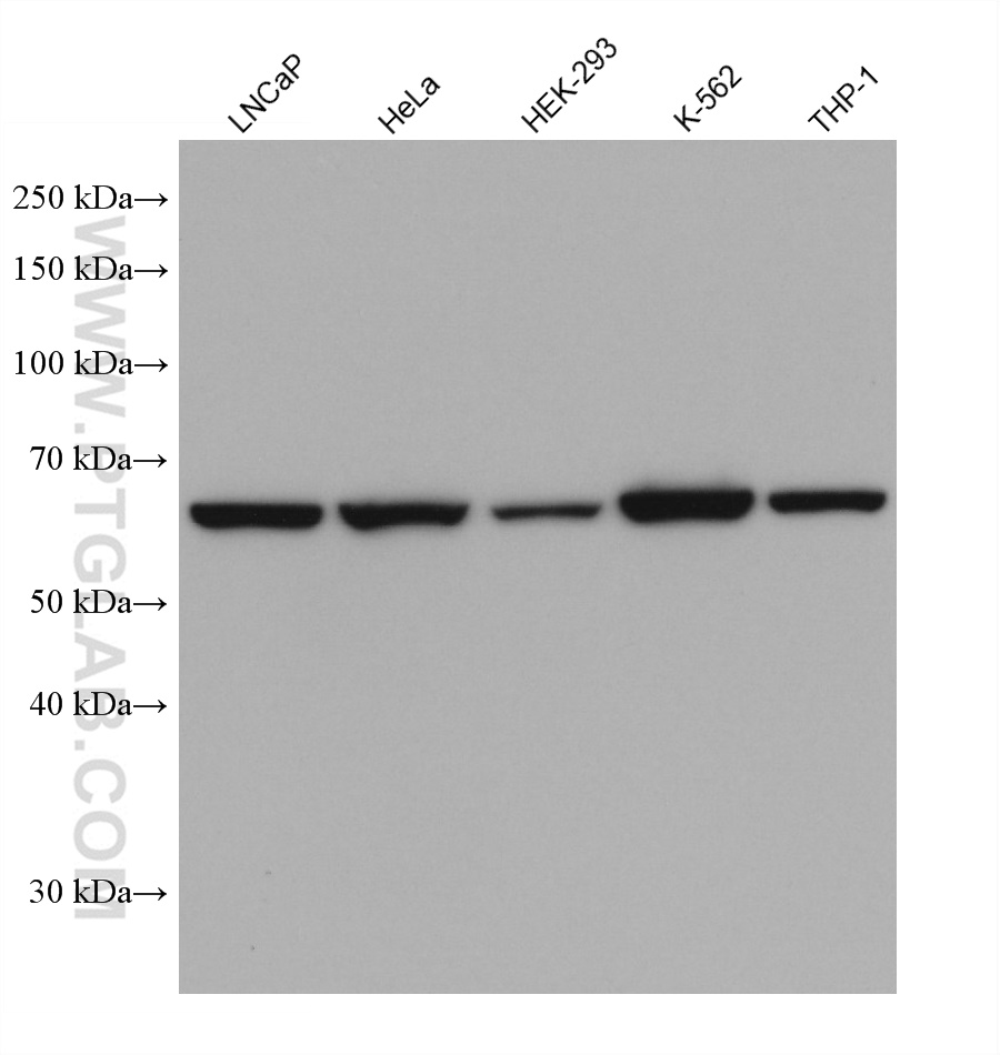
| Positive WB detected in | LNCaP cells, HEK-293 cells, Jurkat cells, K-562 cells, NCI-H1299 cells, HeLa cells, THP-1 cells |
| Positive IHC detected in | human pancreas cancer tissue Note: suggested antigen retrieval with TE buffer pH 9.0; (*) Alternatively, antigen retrieval may be performed with citrate buffer pH 6.0 |
| Positive IF/ICC detected in | HeLa cells |
推荐稀释比
| 应用 | 推荐稀释比 |
|---|---|
| Western Blot (WB) | WB : 1:5000-1:50000 |
| Immunohistochemistry (IHC) | IHC : 1:500-1:2000 |
| Immunofluorescence (IF)/ICC | IF/ICC : 1:400-1:1600 |
| It is recommended that this reagent should be titrated in each testing system to obtain optimal results. | |
| Sample-dependent, Check data in validation data gallery. | |
发表文章中的应用
| WB | See 5 publications below |
产品信息
67861-1-Ig targets CBS in WB, IHC, IF/ICC, ELISA applications and shows reactivity with human, rat samples.
| 经测试应用 | WB, IHC, IF/ICC, ELISA Application Description |
| 文献引用应用 | WB |
| 经测试反应性 | human, rat |
| 文献引用反应性 | human, mouse, rat |
| 免疫原 |
CatNo: Ag7008 Product name: Recombinant human CBS protein Source: e coli.-derived, PET28a Tag: 6*His Domain: 206-551 aa of BC000440 Sequence: VAWRLKNEIPNSHILDQYRNASNPLAHYDTTADEILQQCDGKLDMLVASVGTGGTITGIARKLKEKCPGCRIIGVDPEGSILAEPEELNQTEQTTYEVEGIGYDFIPTVLDRTVVDKWFKSNDEEAFTFARMLIAQEGLLCGGSAGSTVAVAVKAAQELQEGQRCVVILPDSVRNYMTKFLSDRWMLQKGFLKEEDLTEKKPWWWHLRVQELGLSAPLTVLPTITCGHTIEILREKGFDQAPVVDEAGVILGMVTLGNMLSSLLAGKVQPSDQVGKVIYKQFKQIRLTDTLGRLSHILEMDHFALVVHEQIQYHSTGKSSQRQMVFGVVTAIDLLNFVAAQERDQK 种属同源性预测 |
| 宿主/亚型 | Mouse / IgG2b |
| 抗体类别 | Monoclonal |
| 产品类型 | Antibody |
| 全称 | cystathionine-beta-synthase |
| 别名 | EC:4.2.1.22, Cystathionine beta-synthase, cystathionine beta synthase, Beta-thionase, Beta thionase |
| 计算分子量 | 61 kDa |
| 观测分子量 | 61-63 kDa |
| GenBank蛋白编号 | BC000440 |
| 基因名称 | CBS |
| Gene ID (NCBI) | 875 |
| RRID | AB_2918619 |
| 偶联类型 | Unconjugated |
| 形式 | Liquid |
| 纯化方式 | Protein A purification |
| UNIPROT ID | P35520 |
| 储存缓冲液 | PBS with 0.02% sodium azide and 50% glycerol, pH 7.3. |
| 储存条件 | Store at -20°C. Stable for one year after shipment. Aliquoting is unnecessary for -20oC storage. |
背景介绍
The CBS gene encodes cystathionine beta-synthase, which catalyzes the first irreversible step of transsulfuration. The CBS enzyme is a homotetramer of 63-kD subunits and requires pyridoxal phosphate and heme for activity(PMID:11230183). CBS protein is localized in most areas of the brain, but predominantly in the cell bodies and neuronal processes of Purkinje cells and Ammon's horn neurons(PMID:12588964).
实验方案
| Product Specific Protocols | |
|---|---|
| IF protocol for CBS antibody 67861-1-Ig | Download protocol |
| IHC protocol for CBS antibody 67861-1-Ig | Download protocol |
| WB protocol for CBS antibody 67861-1-Ig | Download protocol |
| Standard Protocols | |
|---|---|
| Click here to view our Standard Protocols |
发表文章
| Species | Application | Title |
|---|---|---|
J Nanobiotechnology NaHS@Cy5@MS@SP nanoparticles improve rheumatoid arthritis by inactivating the Hedgehog signaling pathway through sustained and targeted release of H2S into the synovium | ||
FEBS J Treatment with aripiprazole and N-acetylcysteine affects anaerobic cysteine metabolism in the hippocampus and reverses schizophrenia-like behavior in the neurodevelopmental rat model of schizophrenia | ||
Biomed Pharmacother Hydrogen sulfide ameliorated preeclampsia via suppression of toll-like receptor 4-activated inflammation in the rostral ventrolateral medulla of rats. | ||
Nat Commun In situ valence-transited arsenic nanosheets for multi-modal therapy of colorectal cancer | ||
Biochem Pharmacol Givinostat rescues folding of cystathionine beta-synthase and ameliorates murine homocystinuria | ||
Open Life Sci Hydrogen sulfide promotes proliferation and regeneration of human cerebral microvascular endothelial cells via the sonic hedgehog signaling pathway. |








