验证数据展示
经过测试的应用
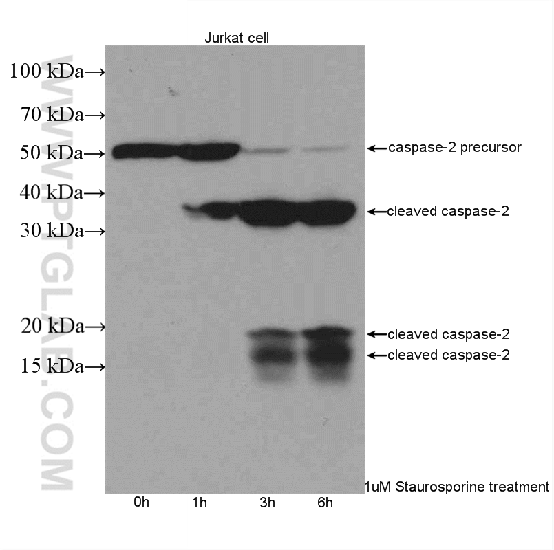
| Positive WB detected in | Staurosporine treated Jurkat cells, HEK-293 cells, HeLa cells, mouse liver tissue |
| Positive IP detected in | HeLa cells |
| Positive IHC detected in | human kidney tissue Note: suggested antigen retrieval with TE buffer pH 9.0; (*) Alternatively, antigen retrieval may be performed with citrate buffer pH 6.0 |
推荐稀释比
| 应用 | 推荐稀释比 |
|---|---|
| Western Blot (WB) | WB : 1:500-1:1000 |
| Immunoprecipitation (IP) | IP : 0.5-4.0 ug for 1.0-3.0 mg of total protein lysate |
| Immunohistochemistry (IHC) | IHC : 1:100-1:400 |
| It is recommended that this reagent should be titrated in each testing system to obtain optimal results. | |
| Sample-dependent, Check data in validation data gallery. | |
产品信息
10436-1-AP targets Caspase 2/P32/P18 in WB, IHC, IF, IP, RIP, ELISA applications and shows reactivity with human, mouse samples.
| 经测试应用 | WB, IHC, IP, ELISA Application Description |
| 文献引用应用 | WB, IF, RIP, ELISA |
| 经测试反应性 | human, mouse |
| 文献引用反应性 | human, mouse, rabbit |
| 免疫原 |
CatNo: Ag0694 Product name: Recombinant human Caspase 2 protein Source: e coli.-derived, PGEX-4T Tag: GST Domain: 18-217 aa of BC002427 Sequence: MAADRGRRILGVCGMHPHHQETLKKNRVVLAKQLLLSELLEHLLEKDIITLEMRELIQAKVGSFSQNVELLNLLPKRGPQAFDAFCEALRETKQGHLEDMLLTTLSGLQHVLPPLSCDYDLSLPFPVCESCPLYKKLRLSTDTVEHSLDNKDGPLCLQVKPCTPEFYQTHFQLAYRLQSRPRGLALVLSNVHFTGEKELE 种属同源性预测 |
| 宿主/亚型 | Rabbit / IgG |
| 抗体类别 | Polyclonal |
| 产品类型 | Antibody |
| 全称 | caspase 2, apoptosis-related cysteine peptidase |
| 别名 | CASP2, Caspase 2, CASP 2, CASP-2, Caspase 2/p18 |
| 计算分子量 | 452 aa, 51 kDa |
| 观测分子量 | 48-51 kDa, 32 kDa, 18kDa |
| GenBank蛋白编号 | BC002427 |
| 基因名称 | Caspase 2 |
| Gene ID (NCBI) | 835 |
| RRID | AB_2228450 |
| 偶联类型 | Unconjugated |
| 形式 | Liquid |
| 纯化方式 | Antigen affinity purification |
| UNIPROT ID | P42575 |
| 储存缓冲液 | PBS with 0.02% sodium azide and 50% glycerol, pH 7.3. |
| 储存条件 | Store at -20°C. Stable for one year after shipment. Aliquoting is unnecessary for -20oC storage. |
背景介绍
CASP2(Caspase-2) is also named as ICH1, NEDD2 and belongs to the peptidase C14A family.It is involved in the activation cascade of caspases responsible for apoptosis execution and might function by either activating some proteins required for cell death or inactivating proteins necessary for cell survival.It has 2 isoforms produced by alternative splicing and can exists almost as a dimer in solution(PMID:15865942).
实验方案
| Product Specific Protocols | |
|---|---|
| IHC protocol for Caspase 2/P32/P18 antibody 10436-1-AP | Download protocol |
| IP protocol for Caspase 2/P32/P18 antibody 10436-1-AP | Download protocol |
| WB protocol for Caspase 2/P32/P18 antibody 10436-1-AP | Download protocol |
| Standard Protocols | |
|---|---|
| Click here to view our Standard Protocols |
发表文章
| Species | Application | Title |
|---|---|---|
Nat Cell Biol Caspase-2 is a condensate-mediated deubiquitinase in protein quality control | ||
Front Microbiol Enterovirus 71 Induces INF2 Cleavage via Activated Caspase-2 in Infected RD Cells. | ||
Life Sci Timolol induces necroptosis, apoptosis and senescence concentration-dependently in rabbit Limbal stem cells in vitro. | ||






