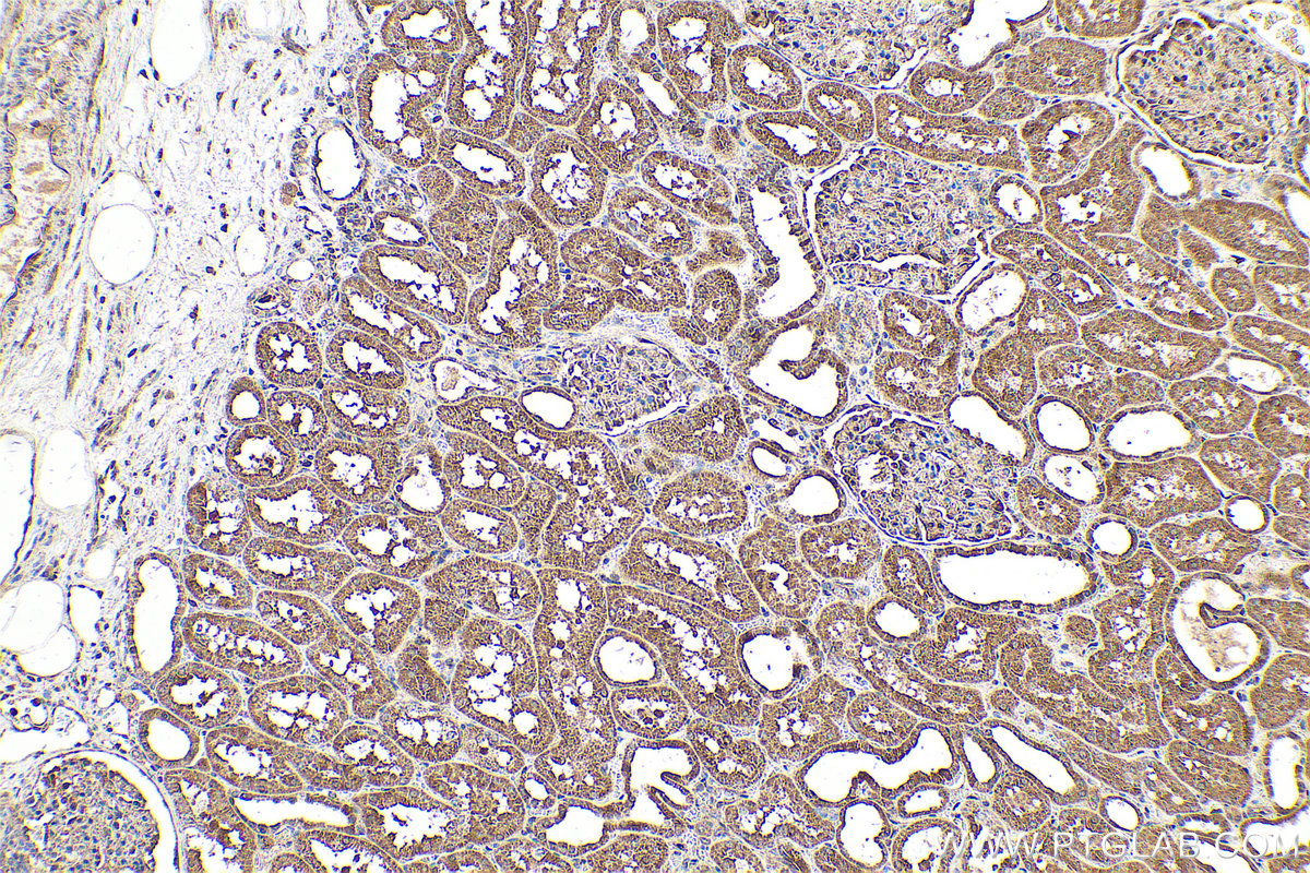
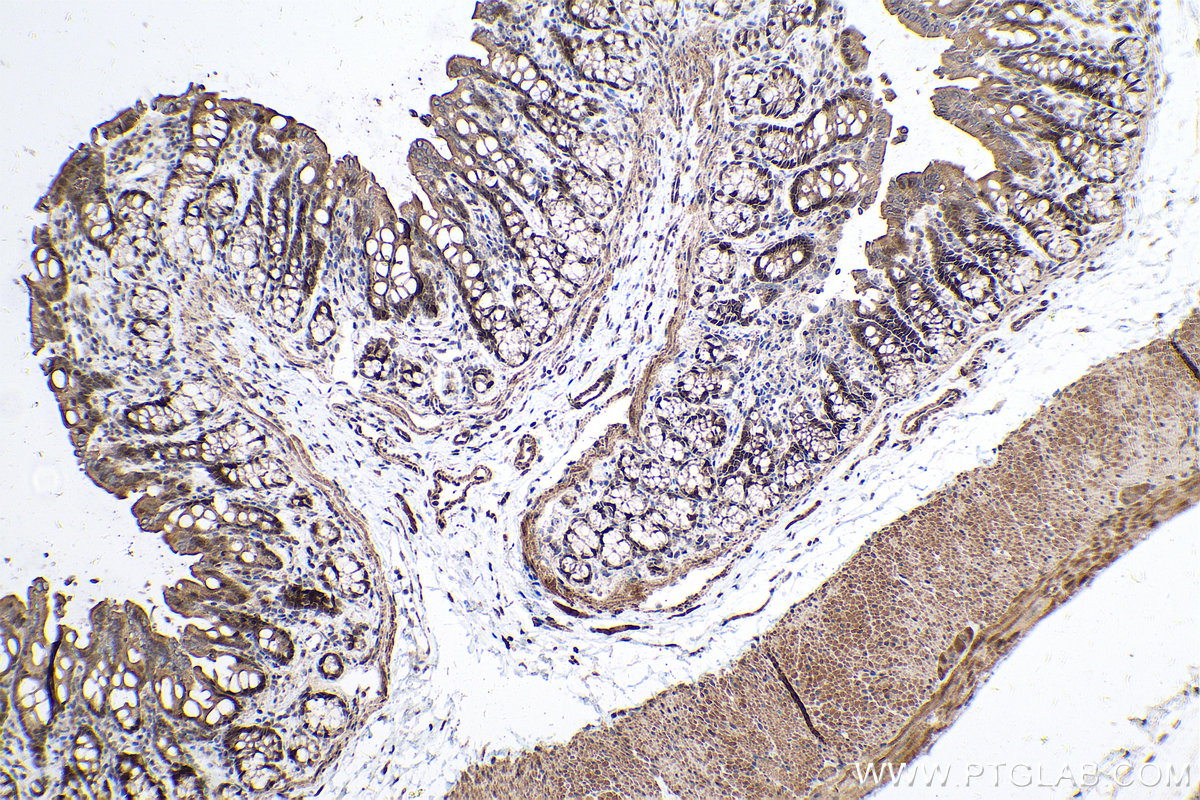
IHCeasy® Caspase 2 Ready-To-Use IHC Kit
Caspase 2 Ready-to-use reagent kit for IHC.
Reactivity
Human, Mouse, Rat
Sample Type
FFPE tissue
Cat no : KHC0606
Synonyms
CASP 2, CASP2, Caspase 2, Caspase 2/p18, Caspase 2/p32/p18, Caspase2, ICH 1L, ICH 1L/1S, ICH1, NEDD 2, NEDD2, Protease ICH 1
Validation Data Gallery
Product Information
KHC0606 is a ready-to-use IHC kit for staining of Caspase 2. The kit provides all reagents, from antigen retrieval to cover slip mounting, that require little to no diluting or handling prior to use. Simply apply the reagents to your sample slide according to the protocol and you're steps away from obtaining high-quality IHC data.
| Product name | IHCeasy Caspase 2 Ready-To-Use IHC Kit |
| Sample type | FFPE tissue |
| Assay type | Immunohistochemistry |
| Primary antibody type | Rabbit Polyclonal |
| Secondary antibody type | Polymer-HRP-Goat anti-Rabbit |
| Reactivity | Human, Mouse, Rat |
Kit components
| Component | Size | Concentration |
|---|---|---|
| Antigen Retrieval Buffer | 100 mL | 50× |
| Washing Buffer | 100 mL ×2 | 20× |
| Blocking Buffer | 5 mL | RTU |
| Primary Antibody | 5 mL | RTU |
| Secondary Antibody | 5 mL | RTU |
| Chromogen Component A | 0.2 mL | RTU |
| Chromogen Component B | 4 mL | RTU |
| Signal Enhancer | 5 mL | RTU |
| Counter Staining Reagent | 5 mL | RTU |
| Mounting Media | 5 mL | RTU |
| Datasheet | 1 Copy | |
| Manual | 1 Copy |
Background Information
CASP2(Caspase-2) is also named as ICH1, NEDD2 and belongs to the peptidase C14A family.It is involved in the activation cascade of caspases responsible for apoptosis execution and might function by either activating some proteins required for cell death or inactivating proteins necessary for cell survival. It has 2 isoforms produced by alternative splicing and can exists almost as a dimer in solution.
Properties
| Storage Instructions | All the reagents are stored at 2-8°C. The kit is stable for 6 months from the date of receipt. |
| Synonyms | CASP 2, CASP2, Caspase 2, Caspase 2/p18, Caspase 2/p32/p18, Caspase2, ICH 1L, ICH 1L/1S, ICH1, NEDD 2, NEDD2, Protease ICH 1 |






