验证数据展示
经过测试的应用
| Positive WB detected in | human placenta tissue, human colon tissue, human spleen tissue, U-251 cells |
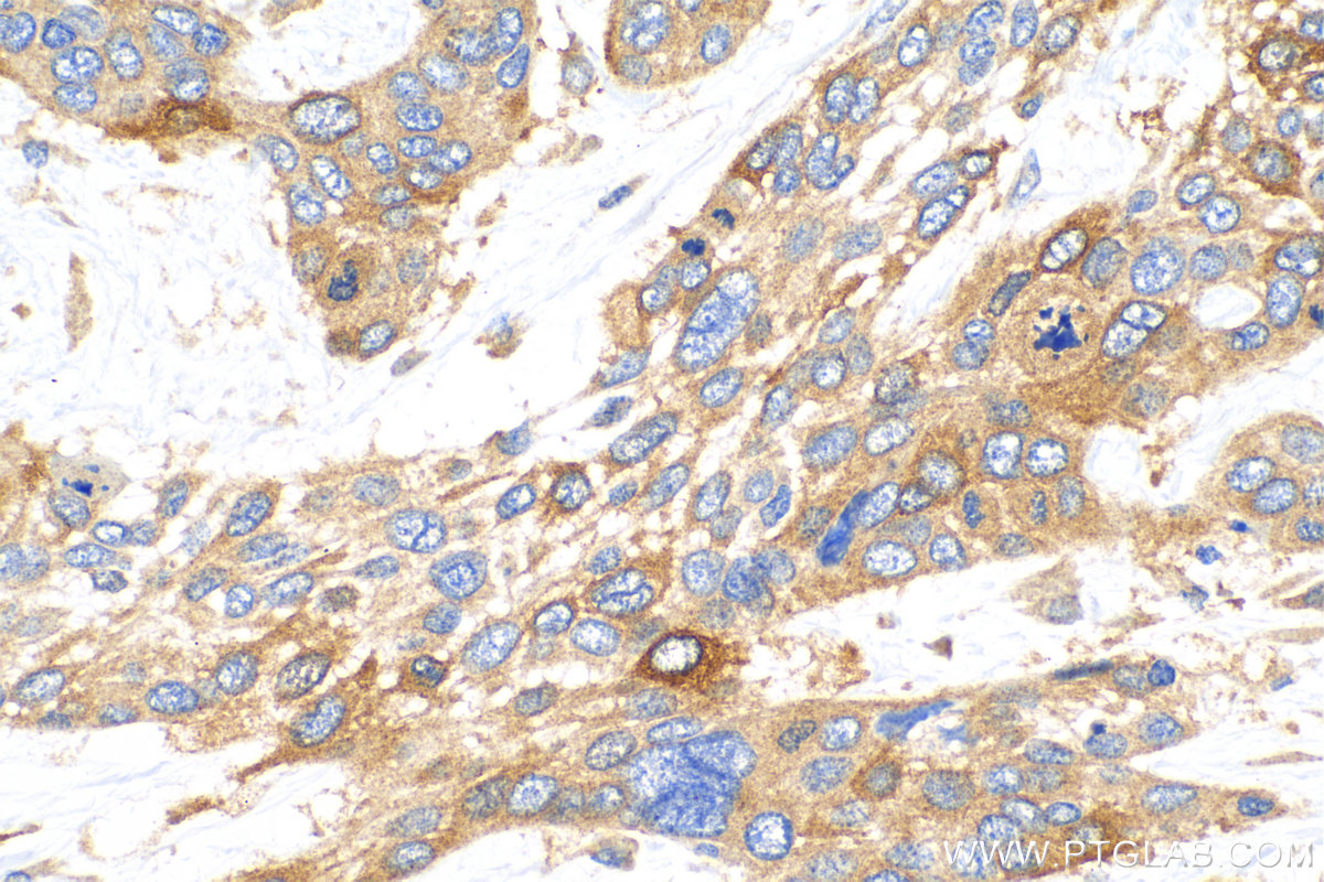
| Positive IHC detected in | human oesophagus cancer tissue Note: suggested antigen retrieval with TE buffer pH 9.0; (*) Alternatively, antigen retrieval may be performed with citrate buffer pH 6.0 |
推荐稀释比
| 应用 | 推荐稀释比 |
|---|---|
| Western Blot (WB) | WB : 1:1000-1:8000 |
| Immunohistochemistry (IHC) | IHC : 1:50-1:500 |
| It is recommended that this reagent should be titrated in each testing system to obtain optimal results. | |
| Sample-dependent, Check data in validation data gallery. | |
产品信息
16926-1-AP targets Calcyphosine in WB, IHC, ELISA applications and shows reactivity with human samples.
| 经测试应用 | WB, IHC, ELISA Application Description |
| 经测试反应性 | human |
| 免疫原 |
CatNo: Ag10330 Product name: Recombinant human CAPS protein Source: e coli.-derived, PET28a Tag: 6*His Domain: 1-189 aa of BC080599 Sequence: MDAVDATMEKLRAQCLSRGASGIQGLARFFRQLDRDGSRSLDADEFRQGLAKLGLVLDQAEAEGVCRKWDRNGSGTLDLEEFLRALRPPMSQAREAVIAAAFAKLDRSGDGVVTVDDLRGVYSGRAHPKVRSGEWTEDEVLRRFLDNFDSSEKDGQVTLAEFQDYYSGVSASMNTDEEFVAMMTSAWQL 种属同源性预测 |
| 宿主/亚型 | Rabbit / IgG |
| 抗体类别 | Polyclonal |
| 产品类型 | Antibody |
| 全称 | calcyphosine |
| 别名 | CAPS, Calcyphosin, CAPS1 |
| 计算分子量 | 189 aa, 21 kDa |
| 观测分子量 | 21 kDa |
| GenBank蛋白编号 | BC080599 |
| 基因名称 | calcyphosine |
| Gene ID (NCBI) | 828 |
| RRID | AB_2070024 |
| 偶联类型 | Unconjugated |
| 形式 | Liquid |
| 纯化方式 | Antigen affinity purification |
| UNIPROT ID | Q13938 |
| 储存缓冲液 | PBS with 0.02% sodium azide and 50% glycerol, pH 7.3. |
| 储存条件 | Store at -20°C. Stable for one year after shipment. Aliquoting is unnecessary for -20oC storage. |
背景介绍
calcyphosine is a calcium-binding protein, which may play a role in the regulation of ion transport. Calcyphosine (CAPS) was initially identified in the canine thyroid but has also been detected in humans and other mammals. CAPS synthesis is increased by thyroid‐stimulating hormone and cAMP analogs that promote cell proliferation and maintain cell differentiation. Recently, CAPS was found to be involved in many kinds of tumor.
实验方案
| Product Specific Protocols | |
|---|---|
| IHC protocol for Calcyphosine antibody 16926-1-AP | Download protocol |
| WB protocol for Calcyphosine antibody 16926-1-AP | Download protocol |
| Standard Protocols | |
|---|---|
| Click here to view our Standard Protocols |





