验证数据展示
经过测试的应用
| Positive WB detected in | HeLa cells, A2780 cells, A431 cells, mouse testis tissue, HepG2 cells, PC-3 cells, K-562 cells, Jurkat cells |
| Positive IP detected in | HeLa cells |
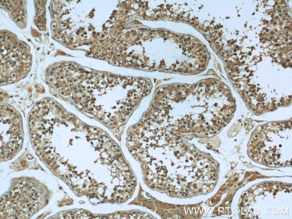
| Positive IHC detected in | human urothelial carcinoma tissue, human heart tissue, human testis tissue Note: suggested antigen retrieval with TE buffer pH 9.0; (*) Alternatively, antigen retrieval may be performed with citrate buffer pH 6.0 |
| Positive IF/ICC detected in | HeLa cells |
| Positive FC (Intra) detected in | HeLa cells |
推荐稀释比
| 应用 | 推荐稀释比 |
|---|---|
| Western Blot (WB) | WB : 1:5000-1:50000 |
| Immunoprecipitation (IP) | IP : 0.5-4.0 ug for 1.0-3.0 mg of total protein lysate |
| Immunohistochemistry (IHC) | IHC : 1:50-1:500 |
| Immunofluorescence (IF)/ICC | IF/ICC : 1:50-1:500 |
| Flow Cytometry (FC) (INTRA) | FC (INTRA) : 0.40 ug per 10^6 cells in a 100 µl suspension |
| It is recommended that this reagent should be titrated in each testing system to obtain optimal results. | |
| Sample-dependent, Check data in validation data gallery. | |
产品信息
10538-1-AP targets Calpain 1 in WB, IHC, IF/ICC, FC (Intra), IP, CoIP, ELISA applications and shows reactivity with human, mouse, rat samples.
| 经测试应用 | WB, IHC, IF/ICC, FC (Intra), IP, ELISA Application Description |
| 文献引用应用 | WB, IHC, IF, CoIP |
| 经测试反应性 | human, mouse, rat |
| 文献引用反应性 | human, mouse, rat, pig, rabbit, chicken |
| 免疫原 |
CatNo: Ag0810 Product name: Recombinant human CAPN1 protein Source: e coli.-derived, PGEX-4T Tag: GST Domain: 413-714 aa of BC008751 Sequence: RESGCSFVLALMQKHRRRERRFGRDMETIGFAVYEVPPELVGQPAVHLKRDFFLANASRARSEQFINLREVSTRFRLPPGEYVVVPSTFEPNKEGDFVLRFFSEKSAGTVELDDQIQANLPDEQVLSEEEIDENFNALFRQLAGEDMEISVKELRTILNRIISKHKDLRTKGFSLESCRSMVNLMDRDGNGKLGLVEFNILWNRIRNYLSIFRKFDLDKSGSMSAYEMRMAIESAGFKLNKKLYELIITRYSEPDLAVDFDNFVCCLVRLETMFRFFKTLDTDLDGVVTFDLFKWLQLTMFA 种属同源性预测 |
| 宿主/亚型 | Rabbit / IgG |
| 抗体类别 | Polyclonal |
| 产品类型 | Antibody |
| 全称 | calpain 1, (mu/I) large subunit |
| 别名 | CAPN1, Calcium-activated neutral proteinase 1, Calpain 1 catalytic subunit, Calpain 1 large subunit, Calpain mu type |
| 计算分子量 | 704 aa, 82 kDa |
| 观测分子量 | 75 kDa |
| GenBank蛋白编号 | BC008751 |
| 基因名称 | CAPN1 |
| Gene ID (NCBI) | 823 |
| RRID | AB_10858627 |
| 偶联类型 | Unconjugated |
| 形式 | Liquid |
| 纯化方式 | Antigen affinity purification |
| UNIPROT ID | P07384 |
| 储存缓冲液 | PBS with 0.02% sodium azide and 50% glycerol, pH 7.3. |
| 储存条件 | Store at -20°C. Stable for one year after shipment. Aliquoting is unnecessary for -20oC storage. |
背景介绍
Calpain 1 is a calcium-dependent cysteine protease belonging to the calpain family. It functions as a heterodimer consisting of a catalytic large subunit of approximately 80 kDa and a regulatory small subunit of approximately 28 kDa, forming a holoenzyme of about 110 kDa; however, the large subunit is typically detected at 75-80 kDa by Western blotting. This protease plays critical roles in various physiological processes, including cytoskeletal remodeling, signal transduction, cell migration, apoptosis, and long-term potentiation, by executing limited proteolysis of substrate proteins (e.g., membrane proteins, kinases, and cytoskeletal proteins) to modulate their functions rather than to degrade them completely. Dysregulation of calpain 1 activity is closely associated with multiple pathological conditions, such as muscular atrophy, neurodegenerative diseases and ischemia-reperfusion injury.
实验方案
| Product Specific Protocols | |
|---|---|
| FC protocol for Calpain 1 antibody 10538-1-AP | Download protocol |
| IF protocol for Calpain 1 antibody 10538-1-AP | Download protocol |
| IHC protocol for Calpain 1 antibody 10538-1-AP | Download protocol |
| IP protocol for Calpain 1 antibody 10538-1-AP | Download protocol |
| WB protocol for Calpain 1 antibody 10538-1-AP | Download protocol |
| Standard Protocols | |
|---|---|
| Click here to view our Standard Protocols |
发表文章
| Species | Application | Title |
|---|---|---|
J Ginseng Res Ginsenoside Rg1 ameliorates chronic intermittent hypoxia-induced vascular endothelial dysfunction by suppressing the formation of mitochondrial reactive oxygen species through the calpain-1 pathway | ||
Pharmacol Res TRPC1 contributes to endotoxemia-induced myocardial dysfunction via mediating myocardial apoptosis and autophagy. | ||
Pharmacol Res Utility of 7,8-dihydroxyflavone in preventing astrocytic and synaptic deficits in the hippocampus elicited by PTSD. | ||
Int Immunopharmacol The role of EndophilinA1 in chronic unpredicted mild stress-induced depression model mice | ||
J Biol Chem Calpain cleaves most components in the multiple aminoacyl-tRNA synthetase complex and affects their functions. | ||
Biochim Biophys Acta Mol Cell Res Elastic titin properties and protein quality control in the aging heart. |













