验证数据展示
经过测试的应用
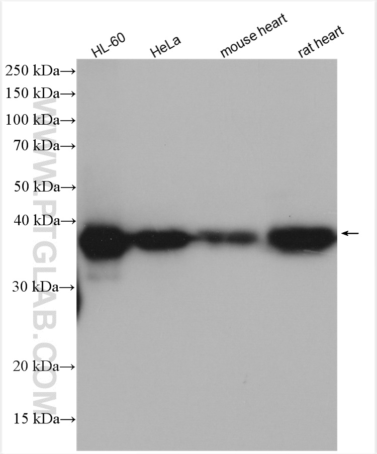
| Positive WB detected in | HeLa cells, HL-60 cells, mouse heart tissue, rat heart tissue, rat lung tissue |
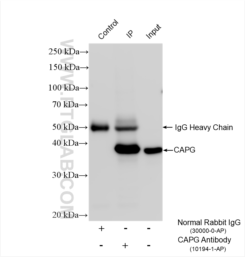
| Positive IP detected in | HeLa cells, mouse heart tissue |
| Positive IHC detected in | human prostate cancer tissue, human tonsillitis tissue, human lung cancer tissue Note: suggested antigen retrieval with TE buffer pH 9.0; (*) Alternatively, antigen retrieval may be performed with citrate buffer pH 6.0 |
推荐稀释比
| 应用 | 推荐稀释比 |
|---|---|
| Western Blot (WB) | WB : 1:1000-1:6000 |
| Immunoprecipitation (IP) | IP : 0.5-4.0 ug for 1.0-3.0 mg of total protein lysate |
| Immunohistochemistry (IHC) | IHC : 1:50-1:500 |
| It is recommended that this reagent should be titrated in each testing system to obtain optimal results. | |
| Sample-dependent, Check data in validation data gallery. | |
产品信息
10194-1-AP targets CAPG in WB, IHC, IF, IP, ELISA applications and shows reactivity with human, mouse, rat samples.
| 经测试应用 | WB, IHC, IP, ELISA Application Description |
| 文献引用应用 | WB, IHC, IF |
| 经测试反应性 | human, mouse, rat |
| 文献引用反应性 | human, mouse, rat |
| 免疫原 |
CatNo: Ag0248 Product name: Recombinant human CAPG protein Source: e coli.-derived, PGEX-4T Tag: GST Domain: 62-348 aa of BC000728 Sequence: HLWIGQQSSRDEQGACAVLAVHLNTLLGERPVQHREVQGNESDLFMSYFPRGLKYQEGGVESAFHKTSTGAPAAIKKLYQVKGKKNIRATERALNWDSFNTGDCFILDLGQNIFAWCGGKSNILERNKARDLALAIRDSERQGKAQVEIVTDGEEPAEMIQVLGPKPALKEGNPEEDLTADKANAQAAALYKVSDATGQMNLTKVADSSPFALELLISDDCFVLDNGLCGKIYIWKGRKANEKERQAALQVAEGFISRMQYAPNTQVEILPQGRESPIFKQFFKDWK 种属同源性预测 |
| 宿主/亚型 | Rabbit / IgG |
| 抗体类别 | Polyclonal |
| 产品类型 | Antibody |
| 全称 | capping protein (actin filament), gelsolin-like |
| 别名 | Actin regulatory protein CAP-G, Macrophage-capping protein |
| 计算分子量 | 39 kDa |
| 观测分子量 | 39-42 kDa |
| GenBank蛋白编号 | BC000728 |
| 基因名称 | CAPG |
| Gene ID (NCBI) | 822 |
| RRID | AB_2069179 |
| 偶联类型 | Unconjugated |
| 形式 | Liquid |
| 纯化方式 | Antigen affinity purification |
| UNIPROT ID | P40121 |
| 储存缓冲液 | PBS with 0.02% sodium azide and 50% glycerol, pH 7.3. |
| 储存条件 | Store at -20°C. Stable for one year after shipment. Aliquoting is unnecessary for -20oC storage. |
背景介绍
CapG (gelsolin-like actin-capping protein) is a member of the gelsolin superfamily proteins, which regulates actin filament length by capping or severing filaments. Studies have shown a role for CapG in regulating cell motility. The expression of CapG is upregulated under hypoxia and in turn increases the motility of cells. Recently it has been reported that the overexpression of CapG is associated with the progression of lung adenocarcinoma as well as lyphatic invasion status of cholangiocarcinoma, which may be used for prognosis of these tumors.(21908955,22155129)
实验方案
| Product Specific Protocols | |
|---|---|
| IHC protocol for CAPG antibody 10194-1-AP | Download protocol |
| IP protocol for CAPG antibody 10194-1-AP | Download protocol |
| WB protocol for CAPG antibody 10194-1-AP | Download protocol |
| Standard Protocols | |
|---|---|
| Click here to view our Standard Protocols |
发表文章
| Species | Application | Title |
|---|---|---|
Mol Cell Proteomics Quantitative protein and mRNA profiling shows selective post-transcriptional control of protein expression by vasopressin in kidney cells. | ||
J Proteome Res Laser microdissection and two-dimensional difference gel electrophoresis reveal the role of a novel macrophage-capping protein in lymph node metastasis in gastric cancer. | ||
Clin Proteomics Differential proteomic analysis of synovial fluid from rheumatoid arthritis and osteoarthritis patients. | ||
Am J Respir Cell Mol Biol Up-regulation of two actin-associated proteins prompts pulmonary artery smooth muscle cell migration under hypoxia.
| ||
Proteomics Proteomics-based identification of two novel direct targets of hypoxia-inducible factor-1 and their potential roles in migration/invasion of cancer cells. |








