验证数据展示
经过测试的应用
| Positive WB detected in | HeLa cells, Jurkat cells, PC-3 cells, LNCaP cells |
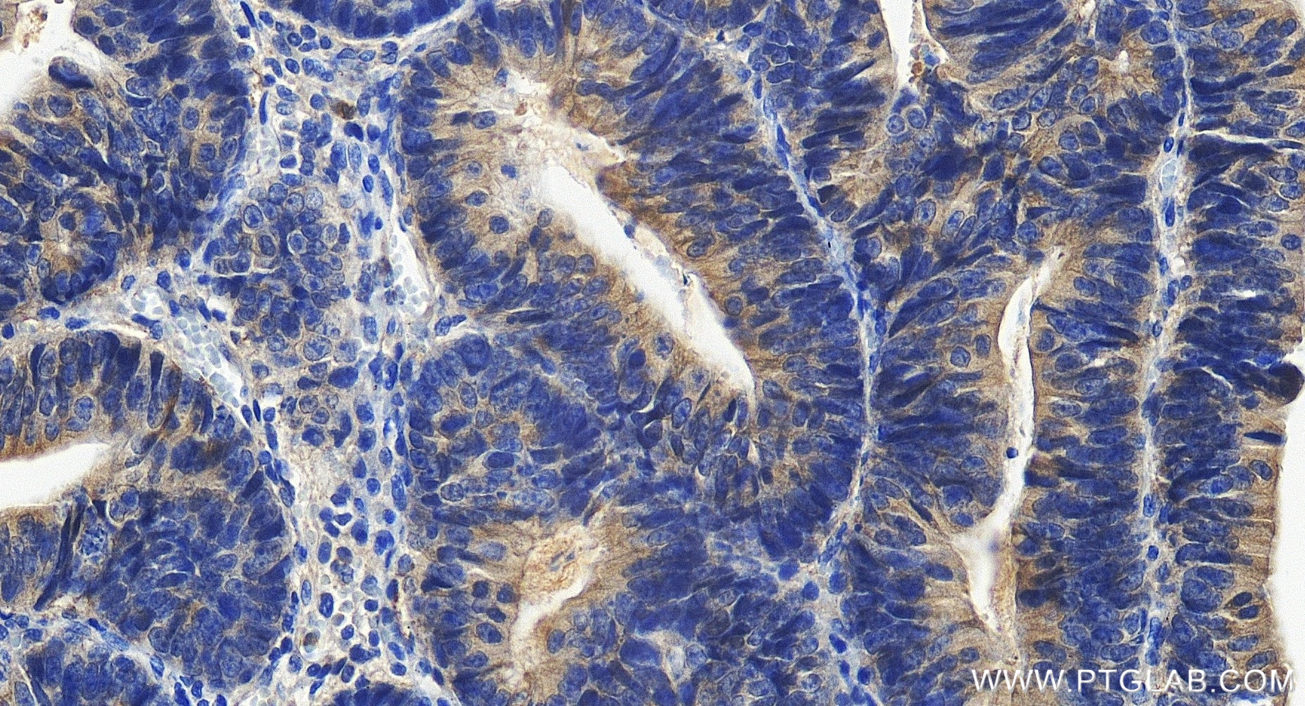
| Positive IHC detected in | human colon cancer tissue Note: suggested antigen retrieval with TE buffer pH 9.0; (*) Alternatively, antigen retrieval may be performed with citrate buffer pH 6.0 |
| Positive IF/ICC detected in | PC-3 cells, Jurkat cells |
推荐稀释比
| 应用 | 推荐稀释比 |
|---|---|
| Western Blot (WB) | WB : 1:5000-1:50000 |
| Immunohistochemistry (IHC) | IHC : 1:400-1:1600 |
| Immunofluorescence (IF)/ICC | IF/ICC : 1:50-1:500 |
| It is recommended that this reagent should be titrated in each testing system to obtain optimal results. | |
| Sample-dependent, Check data in validation data gallery. | |
产品信息
82720-14-RR targets CAMKK2 in WB, IHC, IF/ICC, ELISA applications and shows reactivity with human samples.
| 经测试应用 | WB, IHC, IF/ICC, ELISA Application Description |
| 经测试反应性 | human |
| 免疫原 |
CatNo: Ag2093 Product name: Recombinant human CAMKK2 protein Source: e coli.-derived, PGEX-4T Tag: GST Domain: 1-353 aa of BC026060 Sequence: MSSCVSSQPSSNRAAPQDELGGRGSSSSESQKPCEALRGLSSLSIHLGMESFIVVTECEPGCAVDLGLARDRPLEADGQEVPLDSSGSQARPHLSGRKLSLQERSQGGLAAGGSLDMNGRCICPSLPYSPVSSPQSSPRLPRRPTVESHHVSITGMQDCVQLNQYTLKDEIGKGSYGVVKLAYNENDNTYYAMKVLSKKKLIRQAGFPRRPPPRGTRPAPGGCIQPRGPIEQVYQEIAILKKLDHPNVVKLVEVLDDPNEDHLYMVFELVNQGPVMEVPTLKPLSEDQARFYFQDLIKGIEYLHYQKIIHRDIKPSNLLVGEDGHIKIADFGVSNEFKGSDALLSNTVGTPAF 种属同源性预测 |
| 宿主/亚型 | Rabbit / IgG |
| 抗体类别 | Recombinant |
| 产品类型 | Antibody |
| 全称 | calcium/calmodulin-dependent protein kinase kinase 2, beta |
| 别名 | Calcium/calmodulin-dependent protein kinase kinase 2, Calcium/calmodulin-dependent protein kinase kinase beta, CaM kinase kinase 2, CaM kinase kinase beta, CaM KK 2 |
| 计算分子量 | 588 aa, 60 kDa |
| 观测分子量 | 60-70 kDa |
| GenBank蛋白编号 | BC026060 |
| 基因名称 | CAMKK2 |
| Gene ID (NCBI) | 10645 |
| 偶联类型 | Unconjugated |
| 形式 | Liquid |
| 纯化方式 | Protein A purification |
| UNIPROT ID | Q96RR4 |
| 储存缓冲液 | PBS with 0.02% sodium azide and 50% glycerol, pH 7.3. |
| 储存条件 | Store at -20°C. Stable for one year after shipment. Aliquoting is unnecessary for -20oC storage. |
背景介绍
CAMKK2(calcium/calmodulin-dependent protein kinase kinase 2) is also named as CAMKKB, KIAA0787 and belongs to the protein kinase superfamily. It regulates hypothalamic production of the orexigenic hormone NPY and contributes to the regulation of energy balance. CAMKK2 in vivo reduces tumor growth suggests that reactivation of CAMKK2 by development of new drugs may be a new strategy to prolong the period to respond androgen-deprivation therapy(ADT)(PMID:22549914). It can be autophosphorylated(PMID:19369195). It has 7 isoforms produced by alternative splicing.
实验方案
| Product Specific Protocols | |
|---|---|
| IF protocol for CAMKK2 antibody 82720-14-RR | Download protocol |
| IHC protocol for CAMKK2 antibody 82720-14-RR | Download protocol |
| WB protocol for CAMKK2 antibody 82720-14-RR | Download protocol |
| Standard Protocols | |
|---|---|
| Click here to view our Standard Protocols |





