验证数据展示
经过测试的应用
| Positive WB detected in | HeLa cells, Jurkat cells, HEK-293T cells, THP-1 cells |
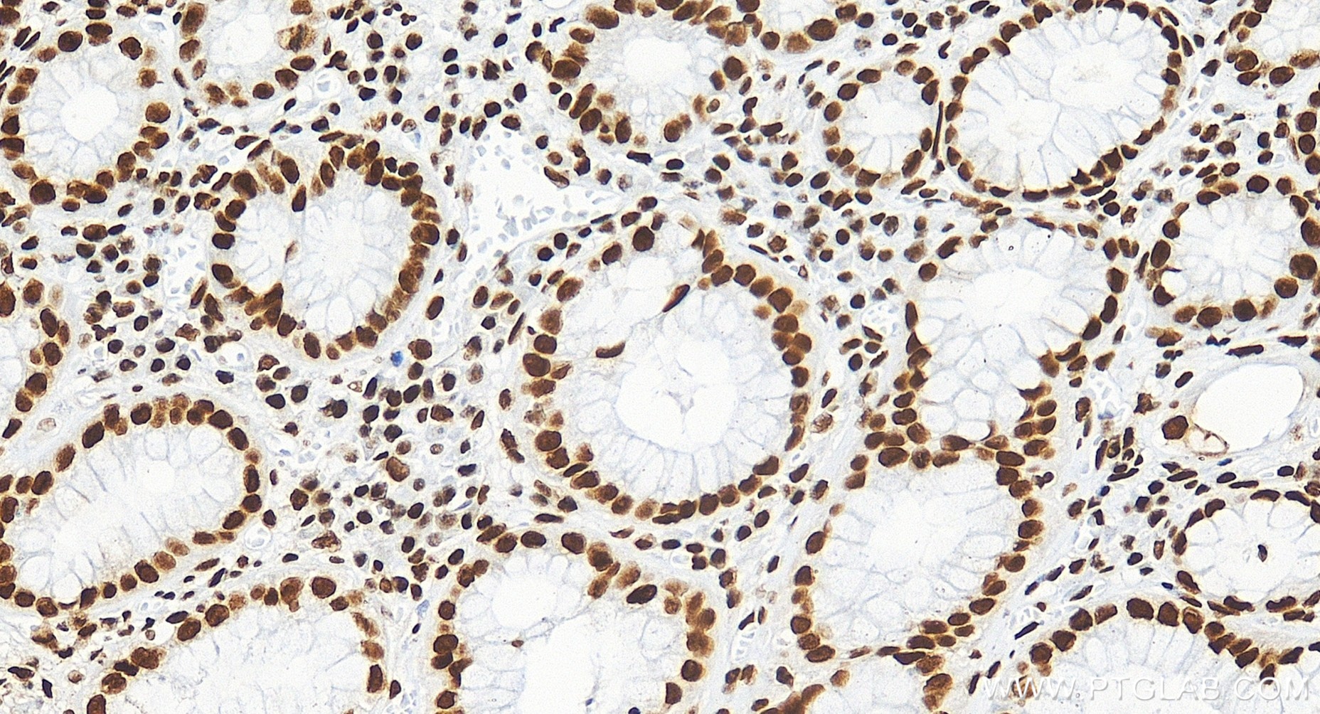
| Positive IHC detected in | human colon cancer tissue, human stomach tissue Note: suggested antigen retrieval with TE buffer pH 9.0; (*) Alternatively, antigen retrieval may be performed with citrate buffer pH 6.0 |
| Positive IF/ICC detected in | SH-SY5Y cells, HeLa cells, A431 cells |
推荐稀释比
| 应用 | 推荐稀释比 |
|---|---|
| Western Blot (WB) | WB : 1:2000-1:10000 |
| Immunohistochemistry (IHC) | IHC : 1:200-1:800 |
| Immunofluorescence (IF)/ICC | IF/ICC : 1:500-1:2000 |
| It is recommended that this reagent should be titrated in each testing system to obtain optimal results. | |
| Sample-dependent, Check data in validation data gallery. | |
产品信息
85147-3-RR targets C1orf77 in WB, IHC, IF/ICC, ELISA applications and shows reactivity with human samples.
| 经测试应用 | WB, IHC, IF/ICC, ELISA Application Description |
| 经测试反应性 | human |
| 免疫原 |
CatNo: Ag26580 Product name: Recombinant human C1orf77 protein Source: e coli.-derived, PGEX-4T Tag: GST Domain: 1-118 aa of BC002733 Sequence: MSLRGQNLLRGGRAVAPRMGLRRGGVRGRGGPGRGGLGRGAMGRGGIGGRGRGMIGRGRGGFGGRGRGRGRGRGALARPVLTKEQLDNQLDAYMSKTKGHLDAELDAYMAQTDPETND 种属同源性预测 |
| 宿主/亚型 | Rabbit / IgG |
| 抗体类别 | Recombinant |
| 产品类型 | Antibody |
| 全称 | chromosome 1 open reading frame 77 |
| 别名 | CHTOP, FOP, 242770H3, Friend of PRMT1 protein, PP7704 |
| 计算分子量 | 248 aa, 26 kDa |
| 观测分子量 | 26-30 kDa |
| GenBank蛋白编号 | BC002733 |
| 基因名称 | C1orf77 |
| Gene ID (NCBI) | 26097 |
| RRID | AB_3744054 |
| 偶联类型 | Unconjugated |
| 形式 | Liquid |
| 纯化方式 | Protein A purification |
| UNIPROT ID | Q9Y3Y2 |
| 储存缓冲液 | PBS with 0.02% sodium azide and 50% glycerol, pH 7.3. |
| 储存条件 | Store at -20°C. Stable for one year after shipment. Aliquoting is unnecessary for -20oC storage. |
实验方案
| Product Specific Protocols | |
|---|---|
| IF protocol for C1orf77 antibody 85147-3-RR | Download protocol |
| IHC protocol for C1orf77 antibody 85147-3-RR | Download protocol |
| WB protocol for C1orf77 antibody 85147-3-RR | Download protocol |
| Standard Protocols | |
|---|---|
| Click here to view our Standard Protocols |







