验证数据展示
经过测试的应用
| Positive WB detected in | pig skin tissue, HepG2 cells, pig colon tissue, mouse testis tissue |
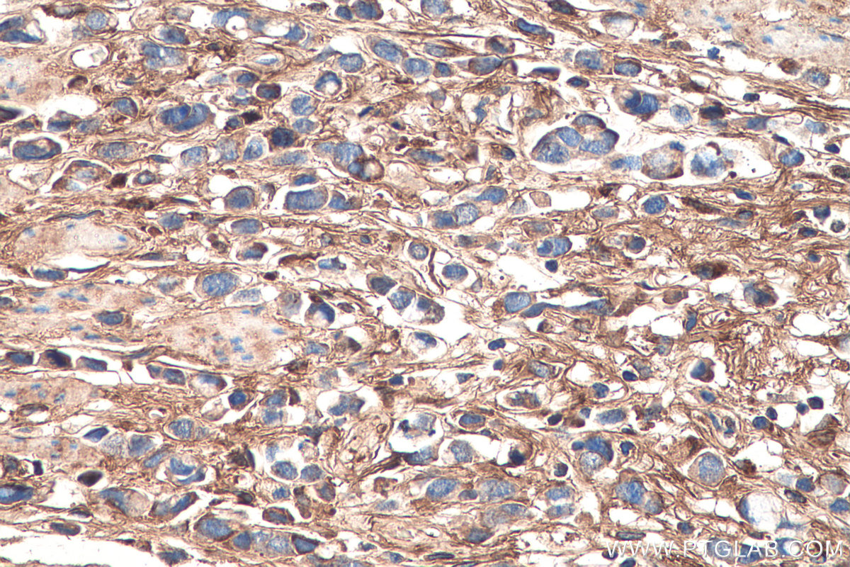
| Positive IHC detected in | human kidney tissue, human placenta tissue, human lung tissue, human lung cancer tissue, human colon cancer tissue, human stomach cancer tissue, human liver tissue Note: suggested antigen retrieval with TE buffer pH 9.0; (*) Alternatively, antigen retrieval may be performed with citrate buffer pH 6.0 |
| Positive FC (Intra) detected in | HepG2 cells |
推荐稀释比
| 应用 | 推荐稀释比 |
|---|---|
| Western Blot (WB) | WB : 1:2000-1:10000 |
| Immunohistochemistry (IHC) | IHC : 1:2000-1:8000 |
| Flow Cytometry (FC) (INTRA) | FC (INTRA) : 0.40 ug per 10^6 cells in a 100 µl suspension |
| It is recommended that this reagent should be titrated in each testing system to obtain optimal results. | |
| Sample-dependent, Check data in validation data gallery. | |
发表文章中的应用
| WB | See 1 publications below |
| IHC | See 1 publications below |
产品信息
67275-1-Ig targets Biglycan in WB, IHC, FC (Intra), ELISA applications and shows reactivity with human, mouse, pig samples.
| 经测试应用 | WB, IHC, FC (Intra), ELISA Application Description |
| 文献引用应用 | WB, IHC |
| 经测试反应性 | human, mouse, pig |
| 文献引用反应性 | human |
| 免疫原 |
CatNo: Ag8012 Product name: Recombinant human Biglycan protein Source: e coli.-derived, PET28a Tag: 6*His Domain: 1-368 aa of BC004244 Sequence: MWPLWRLVSLLALSQALPFEQRGFWDFTLDDGPFMMNDEEASGADTSGVLDPDSVTPTYSAMCPFGCHCHLRVVQCSDLGLKSVPKEISPDTTLLDLQNNDISELRKDDFKGLQHLYALVLVNNKISKIHEKAFSPLRKLQKLYISKNHLVEIPPNLPSSLVELRIHDNRIRKVPKGVFSGLRNMNCIEMGGNPLENSGFEPGAFDGLKLNYLRISEAKLTGIPKDLPETLNELHLDHNKIQAIELEDLLRYSKLYRLGLGHNQIRMIENGSLSFLPTLRELHLDNNKLARVPSGLPDLKLLQVVYLHSNNITKVGVNDFCPMGFGVKRAYYNGISLFNNPVPYWEVQPATFRCVTDRLAIQFGNYKK 种属同源性预测 |
| 宿主/亚型 | Mouse / IgG2a |
| 抗体类别 | Monoclonal |
| 产品类型 | Antibody |
| 全称 | biglycan |
| 别名 | BGN, 1E3F2, DSPG1, PG S1, PGI |
| 计算分子量 | 42 kDa |
| 观测分子量 | 48 kDa |
| GenBank蛋白编号 | BC004244 |
| 基因名称 | Biglycan |
| Gene ID (NCBI) | 633 |
| RRID | AB_2882544 |
| 偶联类型 | Unconjugated |
| 形式 | Liquid |
| 纯化方式 | Protein A purification |
| UNIPROT ID | P21810 |
| 储存缓冲液 | PBS with 0.02% sodium azide and 50% glycerol, pH 7.3. |
| 储存条件 | Store at -20°C. Stable for one year after shipment. Aliquoting is unnecessary for -20oC storage. |
背景介绍
Biglycan is a member of the small leucine-rich proteoglycan (SLRP) family (PMID: 18463092). It consists of a core protein of 42 kDa containing leucine-rich repeats (LRRs), to which two chondroitin/dermatan sulfate side chains are covalently bound (PMID: 2212616; 10383378). The tissue-specific chondroitin- or dermatan-sulfate glycosaminoglycan chains of biglycan are attached to amino acid residues at the N-terminus of the core protein (PMID: 22821552). Biglycan is a ubiquitous component of connective tissue matrix and may act as a signaling molecule (PMID: 22821552). Upregulation of biglycan has been reported in multiple types of solid cancer (PMID: 32194659).
实验方案
| Product Specific Protocols | |
|---|---|
| FC protocol for Biglycan antibody 67275-1-Ig | Download protocol |
| IHC protocol for Biglycan antibody 67275-1-Ig | Download protocol |
| WB protocol for Biglycan antibody 67275-1-Ig | Download protocol |
| Standard Protocols | |
|---|---|
| Click here to view our Standard Protocols |
发表文章
| Species | Application | Title |
|---|---|---|
iScience Biglycan regulated colorectal cancer progress by modulating enteric neuron-derived IL-10 and abundance of Bacteroides thetaiotaomicron | ||
Sci Rep Exploring the mystery of colon cancer from the perspective of molecular subtypes and treatment |


















