验证数据展示
经过测试的应用
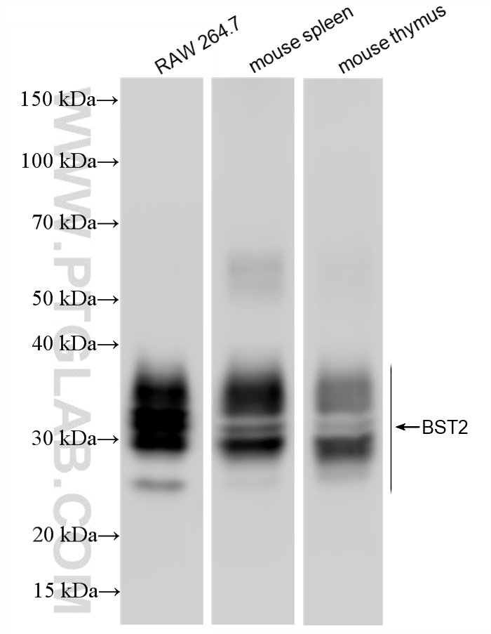
| Positive WB detected in | RAW 264.7 cells, mouse spleen tissue, mouse thymus tissue |
| Positive IHC detected in | mouse spleen tissue Note: suggested antigen retrieval with TE buffer pH 9.0; (*) Alternatively, antigen retrieval may be performed with citrate buffer pH 6.0 |
推荐稀释比
| 应用 | 推荐稀释比 |
|---|---|
| Western Blot (WB) | WB : 1:2000-1:10000 |
| Immunohistochemistry (IHC) | IHC : 1:1000-1:4000 |
| It is recommended that this reagent should be titrated in each testing system to obtain optimal results. | |
| Sample-dependent, Check data in validation data gallery. | |
产品信息
85614-4-RR targets BST2 in WB, IHC, ELISA applications and shows reactivity with mouse samples.
| 经测试应用 | WB, IHC, ELISA Application Description |
| 经测试反应性 | mouse |
| 免疫原 |
CatNo: Eg2669 Product name: Recombinant Mouse Bst2 protein (rFc Tag) Source: mammalian cells-derived, V37 Tag: C-rFc Domain: 52-152 aa of NM_198095.2 Sequence: TANSVACRDGLRAQAECRNTTHLLQRQLTRTQDSLLQAETQANSCNLTVVTLQESLEKKVSQALEQQARIKELENEVTKLNQELENLRIQKETSSTVQVNS 种属同源性预测 |
| 宿主/亚型 | Rabbit / IgG |
| 抗体类别 | Recombinant |
| 产品类型 | Antibody |
| 全称 | bone marrow stromal cell antigen 2 |
| 别名 | Bone marrow stromal antigen 2, BST-2, CD317, HM1.24 antigen |
| 计算分子量 | 19 kDa |
| 观测分子量 | 30-36 kDa |
| GenBank蛋白编号 | NM_198095.2 |
| 基因名称 | Bst2 |
| Gene ID (NCBI) | 69550 |
| RRID | AB_3744242 |
| 偶联类型 | Unconjugated |
| 形式 | Liquid |
| 纯化方式 | Protein A purification |
| UNIPROT ID | Q8R2Q8 |
| 储存缓冲液 | PBS with 0.02% sodium azide and 50% glycerol, pH 7.3. |
| 储存条件 | Store at -20°C. Stable for one year after shipment. Aliquoting is unnecessary for -20oC storage. |
背景介绍
BST2, also named as CD317 and Tetherin, belongs to the tetherin family. It may be involved in the sorting of secreted proteins and it is involved in pre-B-cell growth. BST2 is an antiretroviral defense protein, that blocks release of retrovirus from the cell surface. Depleted unpon HIV-1 infection by viral VPU protein through 20S proteasome degradation. Depleted upon infection by human Kaposi's sarcoma-associated herpesvirus (KSHV) through ubiquitination and subsequent degradation. BST2 may play a role in B-cell activation in rheumatoid arthritis. It is recently identified interferon-induced cellular proteins that restrict infections by retroviruses and filoviruses and of influenza virus and flaviviruses, respectively. BST2 is a plasma membrane proteins, tetherin inhibits virion particle release from infected cells. BST2 is effective against retroviruses and flavoviruses whilst IFITMs disrupt influenza and flavivirus infection. Observed MW of BST2 is 30-36 kDa (PMID: 19196977; 21237475).
实验方案
| Product Specific Protocols | |
|---|---|
| IHC protocol for BST2 antibody 85614-4-RR | Download protocol |
| WB protocol for BST2 antibody 85614-4-RR | Download protocol |
| Standard Protocols | |
|---|---|
| Click here to view our Standard Protocols |

