验证数据展示
经过测试的应用
| Positive WB detected in | LNCaP cells, unboiled HepG2 cells, rat liver tissue, mouse liver tissue, pig lung tissue, HeLa cells, A549 cells |
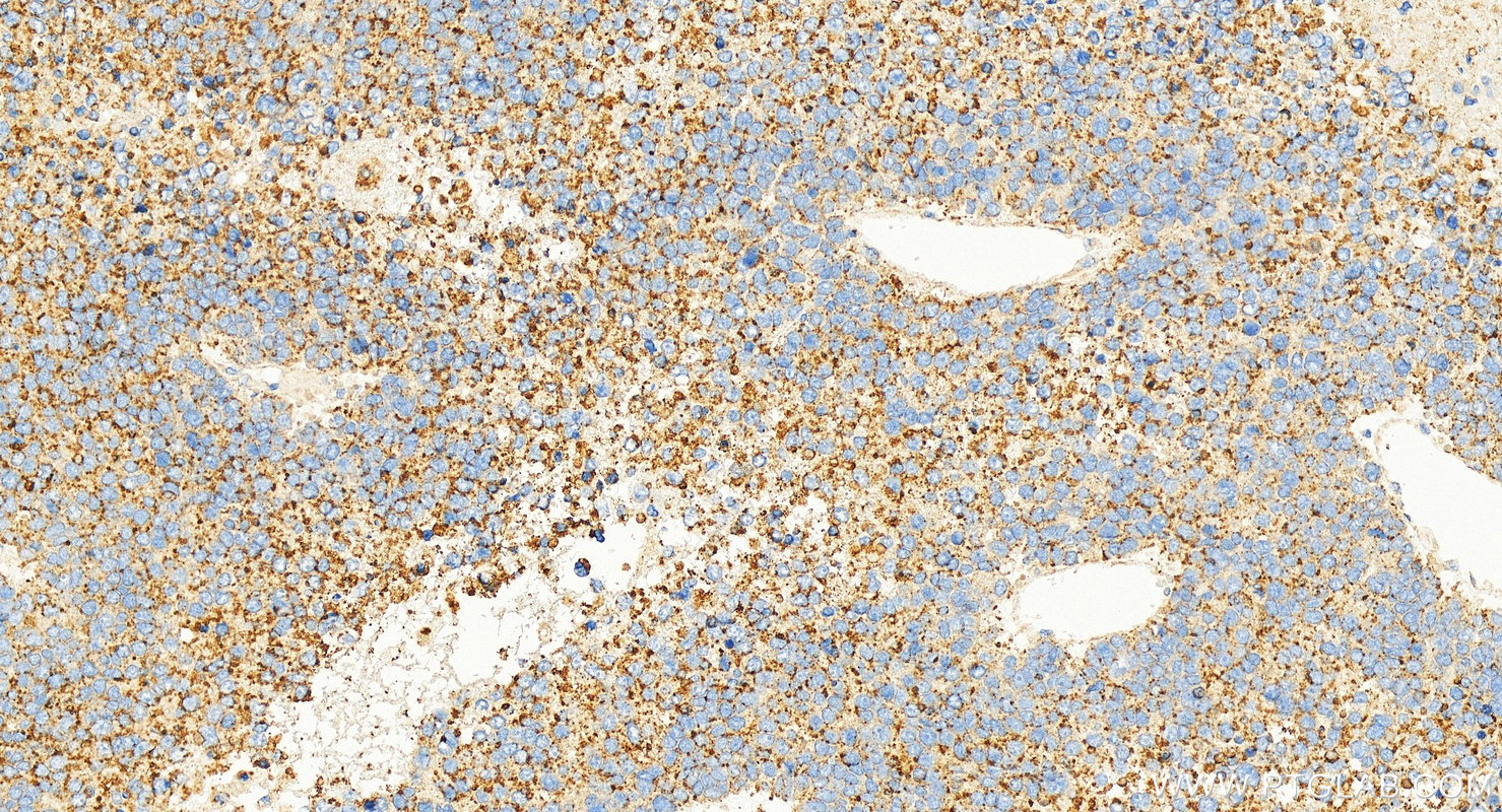
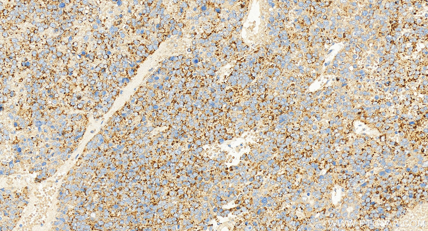
| Positive IHC detected in | mouse liver tissue, human cervical cancer tissue Note: suggested antigen retrieval with TE buffer pH 9.0; (*) Alternatively, antigen retrieval may be performed with citrate buffer pH 6.0 |
| Positive IF-P detected in | mouse liver tissue |
推荐稀释比
| 应用 | 推荐稀释比 |
|---|---|
| Western Blot (WB) | WB : 1:5000-1:50000 |
| Immunohistochemistry (IHC) | IHC : 1:8000-1:32000 |
| Immunofluorescence (IF)-P | IF-P : 1:5000-1:20000 |
| It is recommended that this reagent should be titrated in each testing system to obtain optimal results. | |
| Sample-dependent, Check data in validation data gallery. | |
产品信息
67512-1-Ig targets BSEP in WB, IHC, IF-P, ELISA applications and shows reactivity with human, mouse, rat, pig samples.
| 经测试应用 | WB, IHC, IF-P, ELISA Application Description |
| 文献引用应用 | WB, IHC, IF |
| 经测试反应性 | human, mouse, rat, pig |
| 文献引用反应性 | human, mouse, rat |
| 免疫原 |
CatNo: Ag29135 Product name: Recombinant human BSEP protein Source: e coli.-derived, PET28a Tag: 6*His Domain: 622-750 aa of NM_003742 Sequence: AADTIIGFEHGTAVERGTHEELLERKGVYFTLVTLQSQGNQALNEEDIKDATEDDMLARTFSRGSYQDSLRASIRQRSKSQLSYLVHEPPLAVVDHKSTYEEDRKDKDIPVQEEVEPAPVRRILKFSAP 种属同源性预测 |
| 宿主/亚型 | Mouse / IgG1 |
| 抗体类别 | Monoclonal |
| 产品类型 | Antibody |
| 全称 | ATP-binding cassette, sub-family B (MDR/TAP), member 11 |
| 别名 | ABCB11, 3C11D5, ABC16, Bile salt export pump, BRIC2 |
| 计算分子量 | 146 kDa |
| 观测分子量 | 150-160 kDa |
| GenBank蛋白编号 | NM_003742 |
| 基因名称 | BSEP |
| Gene ID (NCBI) | 8647 |
| RRID | AB_2882733 |
| 偶联类型 | Unconjugated |
| 形式 | Liquid |
| 纯化方式 | Protein G purification |
| UNIPROT ID | O95342 |
| 储存缓冲液 | PBS with 0.02% sodium azide and 50% glycerol, pH 7.3. |
| 储存条件 | Store at -20°C. Stable for one year after shipment. Aliquoting is unnecessary for -20oC storage. |
背景介绍
ABCB11, also named as BSEP, belongs to the ABC transporter superfamily. ABCB11 involved in the ATP-dependent secretion of bile salts into the canaliculus of hepatocytes. Mutation of ABCB11 will cause the progressive familial intrahepatic cholestasis type 2 (PFIC2) and the benign recurrent intrahepatic cholestasis type 2 (BRIC2). Genetic variations in ABCB11 may play a role in drug-induced cholestasis causing liver damage. The calculated MW of ABCB11 is 146 kDa, 67512-1-Ig can detect bands around 150 kDa. It's reported that ABCB11 has several N-glycosylation sites, the observed higher molecular mass may due to posttranslational N-glycosylation. (PMID: 9545351, 24359682)
实验方案
| Product Specific Protocols | |
|---|---|
| IF protocol for BSEP antibody 67512-1-Ig | Download protocol |
| IHC protocol for BSEP antibody 67512-1-Ig | Download protocol |
| WB protocol for BSEP antibody 67512-1-Ig | Download protocol |
| Standard Protocols | |
|---|---|
| Click here to view our Standard Protocols |
发表文章
| Species | Application | Title |
|---|---|---|
Phytomedicine Shen-Bai-Jie-Du decoction inhibits colorectal tumorigenesis by attenuating the malignancy of cancer stem cells via the gut microbiota-bile acid-FXR axis | ||
Free Radic Biol Med Silymarin ameliorates diet-induced gallstone formation by regulating gut microbiota-derived GCDCA to suppress ferroptosis-ROS-NFκB signaling pathway | ||
Food Res Int Fisetin ameliorates atherosclerosis through activating FXR-mediated hepatic cholesterol metabolism and transintestinal cholesterol excretion | ||
Front Pharmacol Vitamin C and vitamin D3 alleviate metabolic-associated fatty liver disease by regulating the gut microbiota and bile acid metabolism via the gut-liver axis | ||
Appl Biochem Biotechnol Sphincter of Oddi Dysfunction Induces Gallstone by Inhibiting the Expression of ABCB11 via PKC-α | ||
Biomed Pharmacother Lupeol improves bile acid metabolism and metabolic dysfunction-associated steatotic liver disease in mice via FXR signaling pathway and gut-liver axis |












