验证数据展示
经过测试的应用
| Positive WB detected in | HEK-293T cells, mouse brain tissue, LNCaP cells, PC-3 cells |
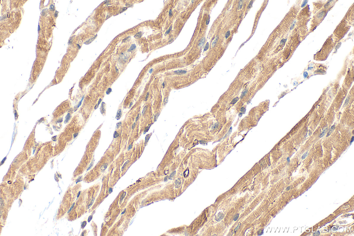
| Positive IHC detected in | mouse heart tissue Note: suggested antigen retrieval with TE buffer pH 9.0; (*) Alternatively, antigen retrieval may be performed with citrate buffer pH 6.0 |
| Positive IF/ICC detected in | HepG2 cells |
推荐稀释比
| 应用 | 推荐稀释比 |
|---|---|
| Western Blot (WB) | WB : 1:500-1:2000 |
| Immunohistochemistry (IHC) | IHC : 1:50-1:500 |
| Immunofluorescence (IF)/ICC | IF/ICC : 1:50-1:500 |
| It is recommended that this reagent should be titrated in each testing system to obtain optimal results. | |
| Sample-dependent, Check data in validation data gallery. | |
产品信息
20049-1-AP targets MPC2 in WB, IHC, IF/ICC, ELISA applications and shows reactivity with human, mouse, rat samples.
| 经测试应用 | WB, IHC, IF/ICC, ELISA Application Description |
| 文献引用应用 | WB, IHC, IF |
| 经测试反应性 | human, mouse, rat |
| 文献引用反应性 | human, mouse, rat |
| 免疫原 |
Peptide 种属同源性预测 |
| 宿主/亚型 | Rabbit / IgG |
| 抗体类别 | Polyclonal |
| 产品类型 | Antibody |
| 全称 | brain protein 44 |
| 别名 | Brain protein 44, BRP44, Mitochondrial pyruvate carrier 2 |
| 计算分子量 | 14 kDa |
| 观测分子量 | 18-20 kDa |
| GenBank蛋白编号 | NM_015415 |
| 基因名称 | MPC2 |
| Gene ID (NCBI) | 25874 |
| RRID | AB_10665371 |
| 偶联类型 | Unconjugated |
| 形式 | Liquid |
| 纯化方式 | Antigen affinity purification |
| UNIPROT ID | O95563 |
| 储存缓冲液 | PBS with 0.02% sodium azide and 50% glycerol, pH 7.3. |
| 储存条件 | Store at -20°C. Stable for one year after shipment. Aliquoting is unnecessary for -20oC storage. |
背景介绍
BRP44 belongs to the UPF0041 (0-44) family. The antibody is specific to BRP44.
实验方案
| Product Specific Protocols | |
|---|---|
| IF protocol for MPC2 antibody 20049-1-AP | Download protocol |
| IHC protocol for MPC2 antibody 20049-1-AP | Download protocol |
| WB protocol for MPC2 antibody 20049-1-AP | Download protocol |
| Standard Protocols | |
|---|---|
| Click here to view our Standard Protocols |
发表文章
| Species | Application | Title |
|---|---|---|
Curr Biol Defining the Substrate Spectrum of the TIM22 Complex Identifies Pyruvate Carrier Subunits as Unconventional Cargos. | ||
Mol Cancer 3-BrPA eliminates human bladder cancer cells with highly oncogenic signatures via engagement of specific death programs and perturbation of multiple signaling and metabolic determinants. | ||
J Biol Chem Mitochondrial pyruvate carrier blockade results in decreased osteoclastogenesis and bone resorption via regulating mitochondrial energy production. | ||
Hum Mol Genet Systemic proteome phenotypes reveal defective metabolic flexibility in Mecp2 mutants | ||
Life Sci Mitochondrial pyruvate carrier 2 mediates mitochondrial dysfunction and apoptosis in high glucose-treated podocytes. | ||
Brain Res Bull Downregulation of mitochondrial pyruvate carrier 2 aggravates neuronal injury in the cortex following cerebral ischemia in rat. |



