验证数据展示
经过测试的应用
| Positive WB detected in | Daudi cells |
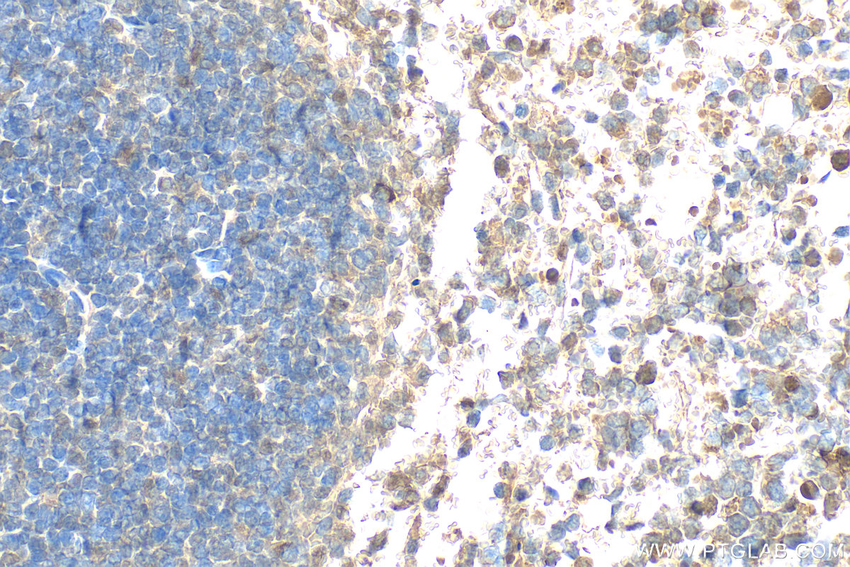
| Positive IHC detected in | human tonsillitis tissue, human gliomas tissue, mouse spleen tissue Note: suggested antigen retrieval with TE buffer pH 9.0; (*) Alternatively, antigen retrieval may be performed with citrate buffer pH 6.0 |
推荐稀释比
| 应用 | 推荐稀释比 |
|---|---|
| Western Blot (WB) | WB : 1:1000-1:8000 |
| Immunohistochemistry (IHC) | IHC : 1:50-1:500 |
| It is recommended that this reagent should be titrated in each testing system to obtain optimal results. | |
| Sample-dependent, Check data in validation data gallery. | |
发表文章中的应用
| IHC | See 1 publications below |
产品信息
11613-1-AP targets BCL11A in WB, IHC, ELISA applications and shows reactivity with human, mouse, rat samples.
| 经测试应用 | WB, IHC, ELISA Application Description |
| 文献引用应用 | IHC |
| 经测试反应性 | human, mouse, rat |
| 文献引用反应性 | mouse |
| 免疫原 |
CatNo: Ag2187 Product name: Recombinant human BCL11A protein Source: e coli.-derived, PGEX-4T Tag: GST Domain: 1-351 aa of BC021098 Sequence: MSRRKQGKPQHLSKREFSPEPLEAILTDDEPDHGPLGAPEGDHDLLTCGQCQMNFPLGDILIFIEHKRKQCNGSLCLEKAVDKPPSPSPIEMKKASNPVEVGIQVTPEDDDCLSTSSRGICPKQEHIADKLLHWRGLSSPRSAHGALIPTPGMSAEYAPQGICKDEPSSYTCTTCKQPFTSAWFLLQHAQNTHGLRIYLESEHGSPLTPRVGIPSGLGAECPSQPPLHGIHIADNNPFNLLRIPGSVSREASGLAEGRFPPTPPLFSPPPRHHLDPHRIERLGAEEMALATHHPSAFDRVLRLNPMAMEPPAMDFSRRLRELAGNTSSPPLSPGRPSPMQRLLQPFQPGSK 种属同源性预测 |
| 宿主/亚型 | Rabbit / IgG |
| 抗体类别 | Polyclonal |
| 产品类型 | Antibody |
| 全称 | B-cell CLL/lymphoma 11A (zinc finger protein) |
| 别名 | B cell lymphoma/leukaemia 11A, B-cell CLL/lymphoma 11A, B-cell lymphoma/leukemia 11A, BCL-11A, COUP-TF-interacting protein 1 |
| 计算分子量 | 835 aa, 91 kDa |
| GenBank蛋白编号 | BC021098 |
| 基因名称 | BCL11A |
| Gene ID (NCBI) | 53335 |
| RRID | AB_2259028 |
| 偶联类型 | Unconjugated |
| 形式 | Liquid |
| 纯化方式 | Antigen affinity purification |
| UNIPROT ID | Q9H165 |
| 储存缓冲液 | PBS with 0.02% sodium azide and 50% glycerol, pH 7.3. |
| 储存条件 | Store at -20°C. Stable for one year after shipment. Aliquoting is unnecessary for -20oC storage. |
背景介绍
B-CELL CLL/LYMPHOMA 11A(BCL11A)is a highly conserved zinc finger gene. It acts as a myeloid and B-cell proto-oncogene, and may play key roles in leukemogenesis and hematopoiesis. It is an essential factor in lymphopoiesis, and required for B-cell formation in fetal liver. May function as a modulator of the transcriptional repression activity of ARP1. It is also involved in lymphoid malignancies through translocation or amplification events. It has recently been shown that BCL11A expression is inversely correlated with γ globin expression.(PMID:21156846). This is a rabbit polyclonal antibody raised against part chain of N-terminal BCL11A of human origin. There are three isoforms of BCL11A: isoform1(773aa), isoform2(486aa) and isoform3(239aa)
实验方案
| Product Specific Protocols | |
|---|---|
| IHC protocol for BCL11A antibody 11613-1-AP | Download protocol |
| WB protocol for BCL11A antibody 11613-1-AP | Download protocol |
| Standard Protocols | |
|---|---|
| Click here to view our Standard Protocols |





