验证数据展示
经过测试的应用
| Positive WB detected in | HeLa cells, A431 cells, HepG2 cells, T-47D cells | 
| Positive IP detected in | RAW 264.7 cells | 
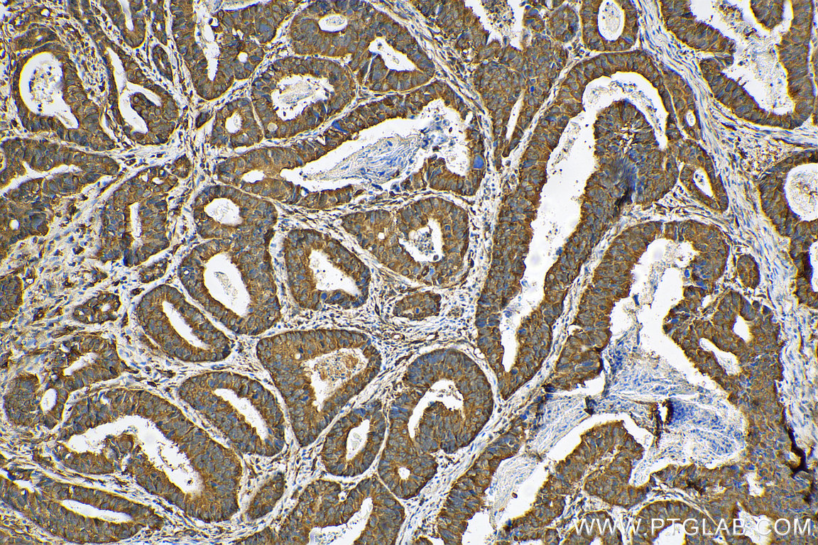
| Positive IHC detected in | human colon cancer tissue Note: suggested antigen retrieval with TE buffer pH 9.0; (*) Alternatively, antigen retrieval may be performed with citrate buffer pH 6.0 | 
| Positive IF/ICC detected in | HeLa cells | 
| Positive FC (Intra) detected in | A431 cells | 
推荐稀释比
| 应用 | 推荐稀释比 | 
|---|---|
| Western Blot (WB) | WB : 1:1000-1:8000 | 
| Immunoprecipitation (IP) | IP : 0.5-4.0 ug for 1.0-3.0 mg of total protein lysate | 
| Immunohistochemistry (IHC) | IHC : 1:50-1:500 | 
| Immunofluorescence (IF)/ICC | IF/ICC : 1:50-1:500 | 
| Flow Cytometry (FC) (INTRA) | FC (INTRA) : 0.25 ug per 10^6 cells in a 100 µl suspension | 
| It is recommended that this reagent should be titrated in each testing system to obtain optimal results. | |
| Sample-dependent, Check data in validation data gallery. | |
产品信息
16815-1-AP targets p130Cas / BCAR1 in WB, IHC, IF/ICC, FC (Intra), IP, ELISA applications and shows reactivity with human, mouse, rat samples.
| 经测试应用 | WB, IHC, IF/ICC, FC (Intra), IP, ELISA Application Description | 
| 经测试反应性 | human, mouse, rat | 
| 免疫原 | CatNo: Ag10354 Product name: Recombinant human BCAR1 protein Source: e coli.-derived, PGEX-4T Tag: GST Domain: 1-420 aa of BC062556 Sequence: MNHLNVLAKALYDNVAESPDELSFRKGDIMTVLEQDTQGLDGWWLCSLHGRQGIVPGNRLKILVGMYDKKPAGPGSGPPATPAQPQPGLHAPAPPASQYTPMLPNTYQPQPDSVYLVPTPSKAQQGLYQVPGPSPQFQSPPAKQTSTFSKQTPHHPFPNPATDLYQVPPGPGGPAQDIYQVPPSAGMGHDIYQVPPSMDTRSWEGTKPPAKVVVPTRVGQGYVYEAAQPEQDEYDIPRHLLAPGPQDIYDVPPVRGLLPSQYGQEVYDTPPMAVKGPNGRDPLLEVYDVPPSVEKGLPPSNHHAVYDVPPSVSKDVPDGPLLREETYDVPPAFAKAKPFDPARTPLVLAAPPPDSPPAEDVYDVPPPAPDLYDVPPGLRRPGPGTLYDVPRERVLPPEVADGGVVDSGVYAVPPPAEREA种属同源性预测 | 
| 宿主/亚型 | Rabbit / IgG | 
| 抗体类别 | Polyclonal | 
| 产品类型 | Antibody | 
| 全称 | breast cancer anti-estrogen resistance 1 | 
| 别名 | BCAR1, Breast cancer anti-estrogen resistance protein 1, CAS, CAS1, CASS1 | 
| 计算分子量 | 870 aa, 93 kDa | 
| 观测分子量 | 116 kDa | 
| GenBank蛋白编号 | BC062556 | 
| 基因名称 | BCAR1 | 
| Gene ID (NCBI) | 9564 | 
| RRID | AB_2065460 | 
| 偶联类型 | Unconjugated | 
| 形式 | Liquid | 
| 纯化方式 | Antigen affinity purification | 
| UNIPROT ID | P56945 | 
| 储存缓冲液 | PBS with 0.02% sodium azide and 50% glycerol, pH 7.3. | 
| 储存条件 | Store at -20°C. Stable for one year after shipment. Aliquoting is unnecessary for -20oC storage. | 
实验方案
| Product Specific Protocols | |
|---|---|
| FC protocol for p130Cas / BCAR1 antibody 16815-1-AP | Download protocol | 
| IF protocol for p130Cas / BCAR1 antibody 16815-1-AP | Download protocol | 
| IHC protocol for p130Cas / BCAR1 antibody 16815-1-AP | Download protocol | 
| IP protocol for p130Cas / BCAR1 antibody 16815-1-AP | Download protocol | 
| WB protocol for p130Cas / BCAR1 antibody 16815-1-AP | Download protocol | 
| Standard Protocols | |
|---|---|
| Click here to view our Standard Protocols | 







