验证数据展示
经过测试的应用
| Positive WB detected in | A431 cells, HEK-293 cells, HeLa cells, MCF-7 cells, THP-1 cells, mouse brain tissue, mouse liver tissue, rat brain tissue, rat liver tisssue |
| Positive IP detected in | A431 cells |
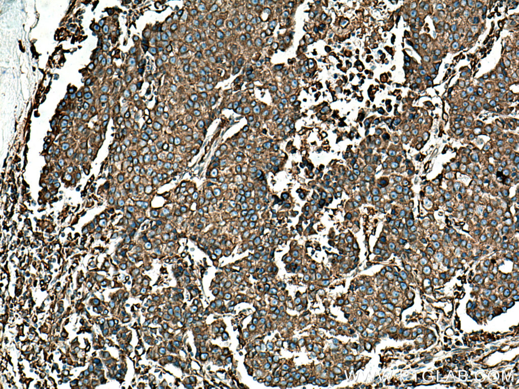
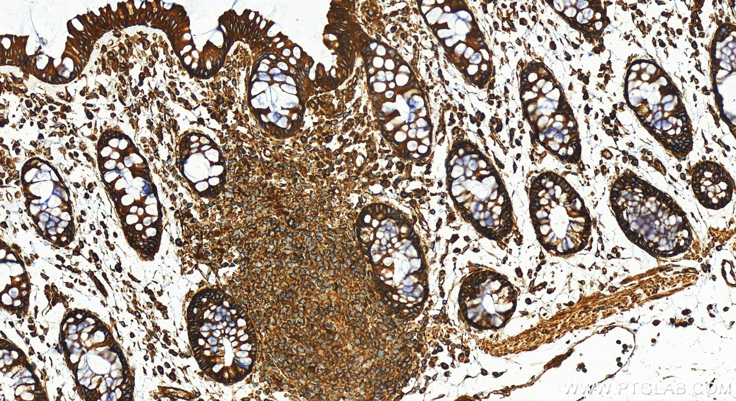
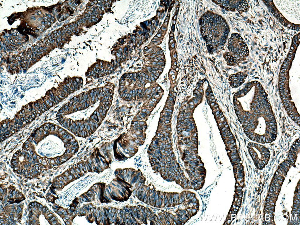
| Positive IHC detected in | human breast cancer tissue, human colon tissue, human colon cancer tissue Note: suggested antigen retrieval with TE buffer pH 9.0; (*) Alternatively, antigen retrieval may be performed with citrate buffer pH 6.0 |
| Positive IF/ICC detected in | HeLa cells |
推荐稀释比
| 应用 | 推荐稀释比 |
|---|---|
| Western Blot (WB) | WB : 1:5000-1:50000 |
| Immunoprecipitation (IP) | IP : 0.5-4.0 ug for 1.0-3.0 mg of total protein lysate |
| Immunohistochemistry (IHC) | IHC : 1:50-1:500 |
| Immunofluorescence (IF)/ICC | IF/ICC : 1:50-1:500 |
| It is recommended that this reagent should be titrated in each testing system to obtain optimal results. | |
| Sample-dependent, Check data in validation data gallery. | |
产品信息
11200-1-AP targets BAP31 in WB, IHC, IF/ICC, IP, ELISA applications and shows reactivity with human, mouse, rat samples.
| 经测试应用 | WB, IHC, IF/ICC, IP, ELISA Application Description |
| 文献引用应用 | WB, IHC, IF, IP |
| 经测试反应性 | human, mouse, rat |
| 文献引用反应性 | human, mouse, rat |
| 免疫原 |
CatNo: Ag1668 Product name: Recombinant human BCAP31 protein Source: e coli.-derived, PGEX-4T Tag: GST Domain: 1-246 aa of BC014323 Sequence: MSLQWTAVATFLYAEVFVVLLLCIPFISPKRWQKIFKSRLVELLVSYGNTFFVVLIVILVLLVIDAVREIREYDDVTEKVNLQNNPGAMEHFHMKLFRAQRNLYIAGFSLLLSFLLRRLVTLISQQATLLASNEAFKKQAESASEAAKKYMEENDQLKKGAAVDGGKLDVGNAEVKLEEENRSLKADLQKLKDELASTKQKLEKAENQVLAMRKQSEGLTKEYDRLLEEHAKLQAAVDGPMDKKEE 种属同源性预测 |
| 宿主/亚型 | Rabbit / IgG |
| 抗体类别 | Polyclonal |
| 产品类型 | Antibody |
| 全称 | B-cell receptor-associated protein 31 |
| 别名 | BCAP31, 6C6 AG, 6C6-AG tumor-associated antigen, B-cell receptor-associated protein 31, BCR-associated protein 31 |
| 计算分子量 | 28 kDa |
| 观测分子量 | 28 kDa |
| GenBank蛋白编号 | BC014323 |
| 基因名称 | BAP31 |
| Gene ID (NCBI) | 10134 |
| RRID | AB_2065142 |
| 偶联类型 | Unconjugated |
| 形式 | Liquid |
| 纯化方式 | Antigen affinity purification |
| UNIPROT ID | P51572 |
| 储存缓冲液 | PBS with 0.02% sodium azide and 50% glycerol, pH 7.3. |
| 储存条件 | Store at -20°C. Stable for one year after shipment. Aliquoting is unnecessary for -20oC storage. |
背景介绍
BAP31, also known as BCAP31, is a chaperone protein abundant in the endoplasmic reticulum (ER). BAP31 plays a role in the export of secreted proteins in the ER, the recognition of abnormally folded proteins, and their targeting to the ER-associated-degradation (ERAD). CDIP1 and BAP31 interact upon ER stress to regulate the mitochondrial apoptosis pathway(PMID: 24139803). It also serves as a cargo receptor for the export of transmembrane proteins. BAP31 may be involved in apoptosis.
实验方案
| Product Specific Protocols | |
|---|---|
| IF protocol for BAP31 antibody 11200-1-AP | Download protocol |
| IHC protocol for BAP31 antibody 11200-1-AP | Download protocol |
| IP protocol for BAP31 antibody 11200-1-AP | Download protocol |
| WB protocol for BAP31 antibody 11200-1-AP | Download protocol |
| Standard Protocols | |
|---|---|
| Click here to view our Standard Protocols |
发表文章
| Species | Application | Title |
|---|---|---|
Nat Commun HDLBP binds ER-targeted mRNAs by multivalent interactions to promote protein synthesis of transmembrane and secreted proteins. | ||
EMBO J FUNDC1 regulates mitochondrial dynamics at the ER-mitochondrial contact site under hypoxic conditions. | ||
Mol Syst Biol Subcellular mRNA kinetic modeling reveals nuclear retention as rate-limiting | ||
EMBO J Fis1 and Bap31 bridge the mitochondria-ER interface to establish a platform for apoptosis induction.
|







