验证数据展示
产品信息
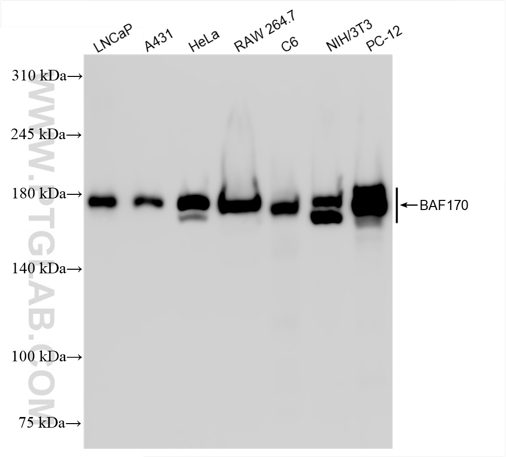
86473-3-PBS targets BAF170 in WB, IHC, Indirect ELISA applications and shows reactivity with human, mouse, rat samples.
| 经测试应用 | WB, IHC, Indirect ELISA Application Description |
| 经测试反应性 | human, mouse, rat |
| 免疫原 |
CatNo: Ag2634 Product name: Recombinant human BAF170 protein Source: e coli.-derived, PGEX-4T Tag: GST Domain: 300-647 aa of BC013045 Sequence: KRSPSPSPTPEAKKKNAKKGPSTPYTKSKRGHREEEQEDLTKDMDEPSPVPNVEEVTLPKTVNTKKDSESAPVKGGTMTDLDEQEDESMETTGKDEDENSTGNKGEQTKNPDLHEDNVTEQTHHIIIPSYAAWFDYNSVHAIERRALPEFFNGKNKSKTPEIYLAYRNFMIDTYRLNPQEYLTSTACRRNLAGDVCAIMRVHAFLEQWGLINYQVDAESRPTPMGPPPTSHFHVLADTPSGLVPLQPKTPQGRQVDADTKAGRKGKELDDLVPETAKGKPELQTSASQQMLNFPDKGKEKPTDMQNFGLRTDMYTKKNVPSKSKAAASATREWTEQETLLLLEALEMY 种属同源性预测 |
| 宿主/亚型 | Rabbit / IgG |
| 抗体类别 | Recombinant |
| 产品类型 | Antibody |
| 全称 | SWI/SNF related, matrix associated, actin dependent regulator of chromatin, subfamily c, member 2 |
| 别名 | SMARCC2, BRG1-associated factor 170, CRACC2, Rsc8, SWI/SNF-related matrix-associated actin-dependent regulator of chromatin subfamily C member 2 |
| 计算分子量 | 1214 aa, 132 kDa |
| 观测分子量 | 170 kDa |
| GenBank蛋白编号 | BC013045 |
| 基因名称 | BAF170 |
| Gene ID (NCBI) | 6601 |
| RRID | AB_3744909 |
| 偶联类型 | Unconjugated |
| 形式 | Liquid |
| 纯化方式 | Protein A purification |
| UNIPROT ID | Q8TAQ2 |
| 储存缓冲液 | PBS only, pH 7.3. |
| 储存条件 | Store at -80°C. The product is shipped with ice packs. Upon receipt, store it immediately at -80°C |
背景介绍
BAF170, also named as SWI/SNF complex 170 kDa subunit or SMARCC2, is a 1214 amino acid protein, which belongs to the SMARCC family. BAF170 is ubiquitously expressed. BAF170 is involved in transcriptional activation and repression of select genes by chromatin remodeling. BAF170 may be required for CoREST dependent repression of neuronal specific gene promoters in non-neuronal cells. BAF170 belongs to the neural progenitors-specific chromatin remodeling complex (npBAF complex) and the neuron-specific chromatin remodeling complex (nBAF complex). The calcualted molecular weight of BAF170, is 133 kDa, but modified BAF170 is about 170 kDa. (PMID: 8804307)


