验证数据展示
经过测试的应用
| Positive WB detected in | HeLa cells, HepG2 cells, Jurkat cells, Neuro-2a cells, L02 cells, NIH/3T3 cells |
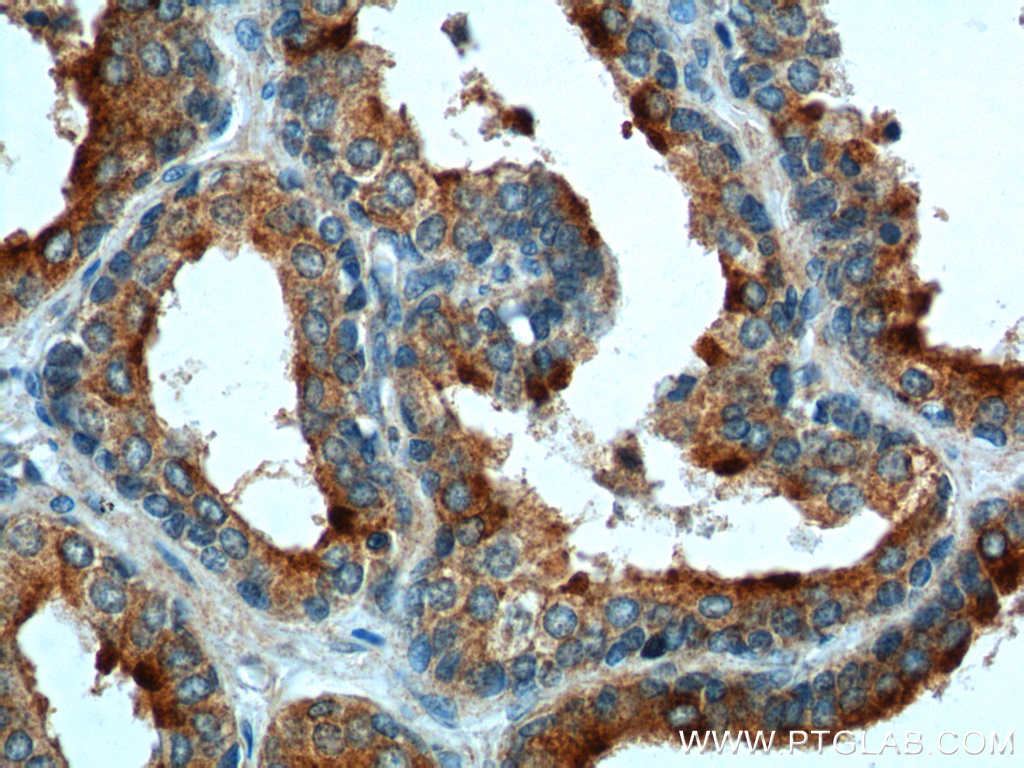
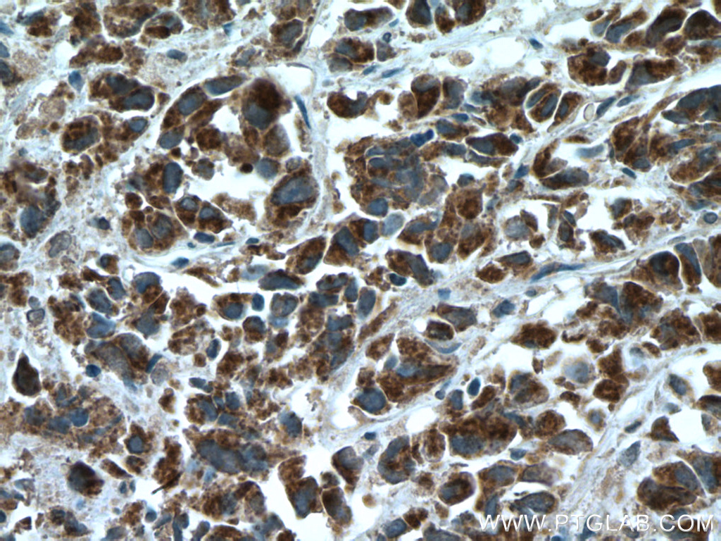
| Positive IHC detected in | human prostate hyperplasia tissue, human prostate cancer tissue, mouse liver tissue, human lymphoma tissue Note: suggested antigen retrieval with TE buffer pH 9.0; (*) Alternatively, antigen retrieval may be performed with citrate buffer pH 6.0 |
| Positive IF/ICC detected in | HeLa cells |
| Positive FC (Intra) detected in | Jurkat cells |
推荐稀释比
| 应用 | 推荐稀释比 |
|---|---|
| Western Blot (WB) | WB : 1:500-1:3000 |
| Immunohistochemistry (IHC) | IHC : 1:100-1:500 |
| Immunofluorescence (IF)/ICC | IF/ICC : 1:200-1:800 |
| Flow Cytometry (FC) (INTRA) | FC (INTRA) : 0.40 ug per 10^6 cells in a 100 µl suspension |
| It is recommended that this reagent should be titrated in each testing system to obtain optimal results. | |
| Sample-dependent, Check data in validation data gallery. | |
发表文章中的应用
| WB | See 115 publications below |
| IHC | See 5 publications below |
产品信息
10435-1-AP targets BAD in WB, IHC, IF/ICC, FC (Intra), ELISA applications and shows reactivity with human, mouse samples.
| 经测试应用 | WB, IHC, IF/ICC, FC (Intra), ELISA Application Description |
| 文献引用应用 | WB, IHC |
| 经测试反应性 | human, mouse |
| 文献引用反应性 | human, mouse, rat, pig, canine, sheep |
| 免疫原 |
CatNo: Ag0688 Product name: Recombinant human BAD protein Source: e coli.-derived, PGEX-4T Tag: GST Domain: 14-168 aa of BC001901 Sequence: DSSSAERGLGPSPAGDGPSGSGKHHRQAPGLLWDASHQQEQPTSSSHHGGAGAVEIRSRHSSYPAGTEDDEGMGEEPSPFRGRSRSAPPNLWAAQRYGRELRRMSDEFVDSFKKGLPRPKSAGTATQMRQSSSWTRVFQSWWDRNLGRGSSAPSQ 种属同源性预测 |
| 宿主/亚型 | Rabbit / IgG |
| 抗体类别 | Polyclonal |
| 产品类型 | Antibody |
| 全称 | BCL2-associated agonist of cell death |
| 别名 | BBC2, BBC6, Bcl2-associated agonist of cell death, Bcl-2-binding component 6, BCL2L8 |
| 计算分子量 | 18 kDa |
| 观测分子量 | 18-25 kDa |
| GenBank蛋白编号 | BC001901 |
| 基因名称 | BAD |
| Gene ID (NCBI) | 572 |
| RRID | AB_2061994 |
| 偶联类型 | Unconjugated |
| 形式 | Liquid |
| 纯化方式 | Antigen affinity purification |
| UNIPROT ID | Q92934 |
| 储存缓冲液 | PBS with 0.02% sodium azide and 50% glycerol, pH 7.3. |
| 储存条件 | Store at -20°C. Stable for one year after shipment. Aliquoting is unnecessary for -20oC storage. |
背景介绍
BAD, also named as BBC6 and BCL2L8, promotes cell death. It is successfully competes for the binding to Bcl-X(L), Bcl-2 and Bcl-W, thereby affecting the level of heterodimerization of these proteins with BAX. BAD can reverse the death repressor activity of Bcl-X(L), but not that of Bcl-2. It appears to act as a link between growth factor receptor signaling and the apoptotic pathways.
实验方案
| Product Specific Protocols | |
|---|---|
| FC protocol for BAD antibody 10435-1-AP | Download protocol |
| IF protocol for BAD antibody 10435-1-AP | Download protocol |
| IHC protocol for BAD antibody 10435-1-AP | Download protocol |
| WB protocol for BAD antibody 10435-1-AP | Download protocol |
| Standard Protocols | |
|---|---|
| Click here to view our Standard Protocols |
发表文章
| Species | Application | Title |
|---|---|---|
Carbohydr Polym A multi-bioresponsive self-assembled nano drug delivery system based on hyaluronic acid and geraniol against liver cancer | ||
Oxid Med Cell Longev Cystathionine β-Synthase Regulates the Proliferation, Migration, and Invasion of Thyroid Carcinoma Cells. | ||
Oxid Med Cell Longev Dihydroartemisinin Modulates Apoptosis and Autophagy in Multiple Myeloma through the P38/MAPK and Wnt/β-Catenin Signaling Pathways. | ||
Int J Nanomedicine Synergism of cisplatin-oleanolic acid co-loaded calcium carbonate nanoparticles on hepatocellular carcinoma cells for enhanced apoptosis and reduced hepatotoxicity. | ||
Cell Death Dis CRB3 regulates contact inhibition by activating the Hippo pathway in mammary epithelial cells. | ||
Int J Oncol CUDC‑101 is a potential target inhibitor for the EGFR‑overexpression bladder cancer cells |











