验证数据展示
经过测试的应用
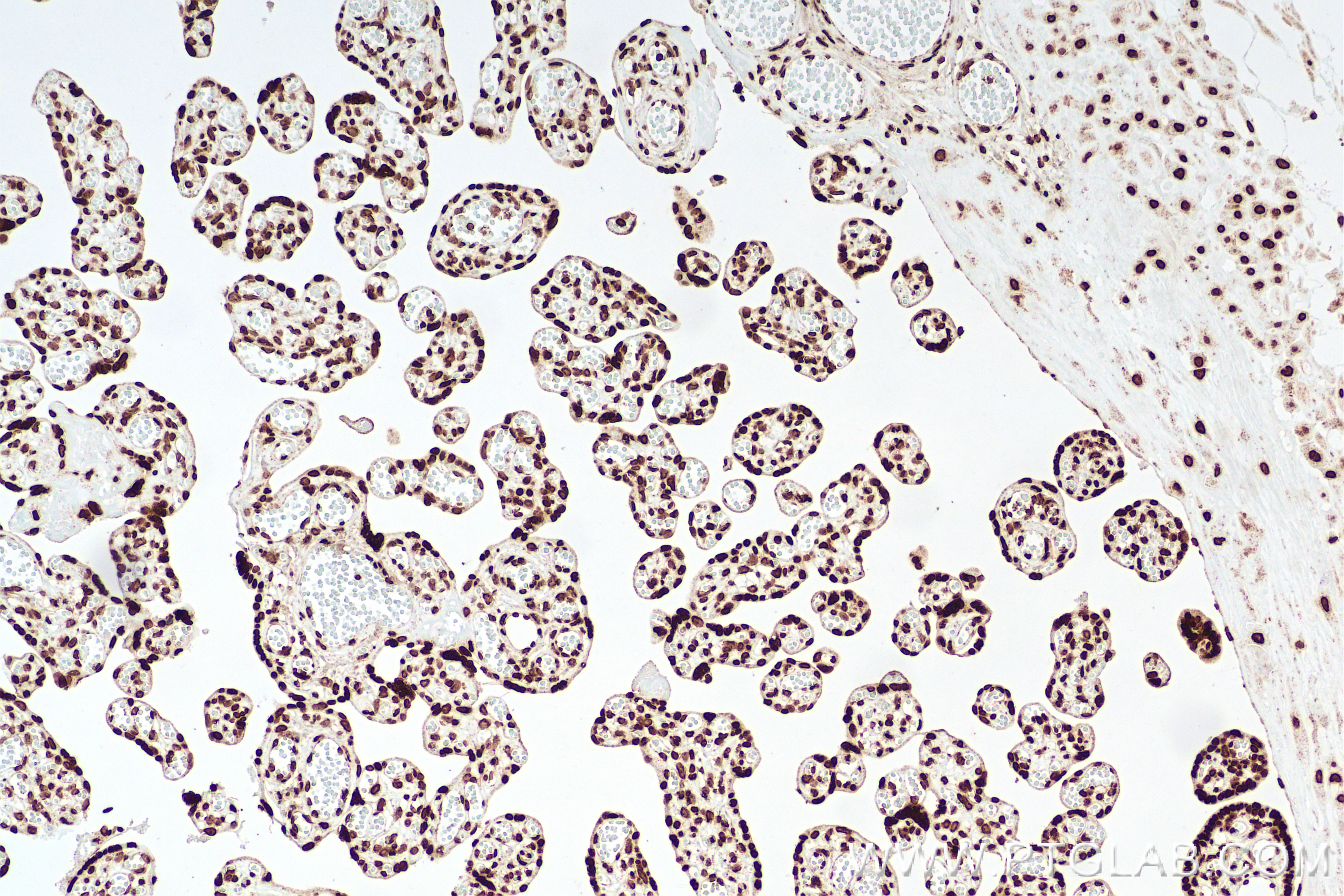
| Positive IHC detected in | human placenta tissue, human ovary tumor tissue, human tonsillitis tissue Note: suggested antigen retrieval with TE buffer pH 9.0; (*) Alternatively, antigen retrieval may be performed with citrate buffer pH 6.0 |
| Positive FC (Intra) detected in | HeLa cells |
| Positive Dot Blot detected in | N/A |
推荐稀释比
| 应用 | 推荐稀释比 |
|---|---|
| Immunohistochemistry (IHC) | IHC : 1:800-1:3200 |
| Flow Cytometry (FC) (INTRA) | FC (INTRA) : 0.2 ug per 10^6 cells in a 100 µl suspension |
| DOT BLOT | DOT BLOT : 1:50-1:500 |
| It is recommended that this reagent should be titrated in each testing system to obtain optimal results. | |
| Sample-dependent, Check data in validation data gallery. | |
产品信息
85854-1-RR targets DNA in IHC, FC (Intra), Dot Blot, ELISA applications and shows reactivity with n/a samples.
| 经测试应用 | IHC, FC (Intra), Dot Blot, ELISA Application Description |
| 经测试反应性 | n/a |
| 免疫原 |
DNA 种属同源性预测 |
| 宿主/亚型 | Rabbit / IgG |
| 抗体类别 | Recombinant |
| 产品类型 | Antibody |
| 全称 | DNA |
| 别名 | dsDNA, ssDNA, circular DNA, double stranded DNA, double-stranded DNA |
| 基因名称 | |
| Gene ID (NCBI) | |
| 偶联类型 | Unconjugated |
| 形式 | Liquid |
| 纯化方式 | Protein A purification |
| 储存缓冲液 | PBS with 0.02% sodium azide and 50% glycerol, pH 7.3. |
| 储存条件 | Store at -20°C. Stable for one year after shipment. Aliquoting is unnecessary for -20oC storage. |
背景介绍
DNA antibodies are a type of antibody that can specifically bind to DNA and are mainly used to detect and study DNA-related biological processes. This antibody can recognize single-stranded DNA and double-stranded DNA (including linear DNA and circular DNA).
实验方案
| Product Specific Protocols | |
|---|---|
| IHC protocol for DNA antibody 85854-1-RR | Download protocol |
| Standard Protocols | |
|---|---|
| Click here to view our Standard Protocols |





