验证数据展示
产品信息
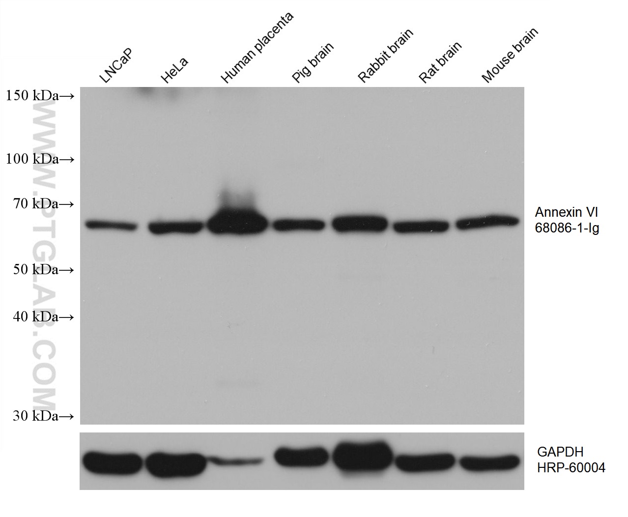
68086-1-PBS targets Annexin VI in WB, IF/ICC, FC (Intra), Indirect ELISA applications and shows reactivity with human, mouse, rat, pig, rabbit samples.
| 经测试应用 | WB, IF/ICC, FC (Intra), Indirect ELISA Application Description |
| 经测试反应性 | human, mouse, rat, pig, rabbit |
| 免疫原 |
CatNo: Ag3263 Product name: Recombinant human ANXA6 protein Source: e coli.-derived, T-HIS Tag: 6*His Domain: 324-674 aa of BC017046 Sequence: DDDAAGQFFPEAAQVAYQMWELSAVARVELKGTVRPANDFNPDADAKALRKAMKGLGTDEDTIIDIITHRSNVQRQQIRQTFKSHFGRDLMTDLKSEISGDLARLILGLMMPPAHYDAKQLKKAMEGAGTDEKALIEILATRTNAEIRAINEAYKEDYHKSLEDALSSDTSGHFRRILISLATGHREEGGENLDQAREDAQVAAEILEIADTPSGDKTSLETRFMTILCTRSYPHLRRVFQEFIKMTNYDVEHTIKKEMSGDVRDAFVAIVQSVKNKPLFFADKLYKSMKGAGTDEKTLTRIMVSRSEIDLLNIRREFIEKYDKSLHQAIEGDTSGDFLKALLALCGGED 种属同源性预测 |
| 宿主/亚型 | Mouse / IgG1 |
| 抗体类别 | Monoclonal |
| 产品类型 | Antibody |
| 全称 | annexin A6 |
| 别名 | Annexin A6, ANXA6, 2H7G7, 67 kDa calelectrin, Annexin 6 |
| 计算分子量 | 673 aa, 76 kDa |
| 观测分子量 | 67-72 kDa |
| GenBank蛋白编号 | BC017046 |
| 基因名称 | Annexin VI |
| Gene ID (NCBI) | 309 |
| RRID | AB_2918823 |
| 偶联类型 | Unconjugated |
| 形式 | Liquid |
| 纯化方式 | Protein G purification |
| UNIPROT ID | P08133 |
| 储存缓冲液 | PBS only, pH 7.3. |
| 储存条件 | Store at -80°C. The product is shipped with ice packs. Upon receipt, store it immediately at -80°C |
背景介绍
ANXA6, also called CBP68, or 67 kDa calelectrin, belongs to a family of calcium-dependent membrane and phospholipid binding proteins. Several members of the annexin family have been implicated in membrane-related events along exocytotic and endocytotic pathways. The annexin VI gene is approximately 60 kbp long and contains 26 exons. It encodes a protein of about 68 kDa that consists of eight 68-amino acid repeats separated by linking sequences of variable lengths. It is highly similar to human annexins I and II sequences, each of which contain four such repeats. Annexin VI has been implicated in mediating the endosome aggregation and vesicle fusion in secreting epithelia during exocytosis.




