验证数据展示
经过测试的应用
| Positive WB detected in | MG-63 cells, HEK-293 cells, HeLa cells, HepG2 cells, human urine exosomes tissue, mouse brain tissue, Raw 264.7 cells, NIH/3T3 cells, K-562 cells, U-87 MG cells, MDA-MB-231 cells, pig brain tissue |
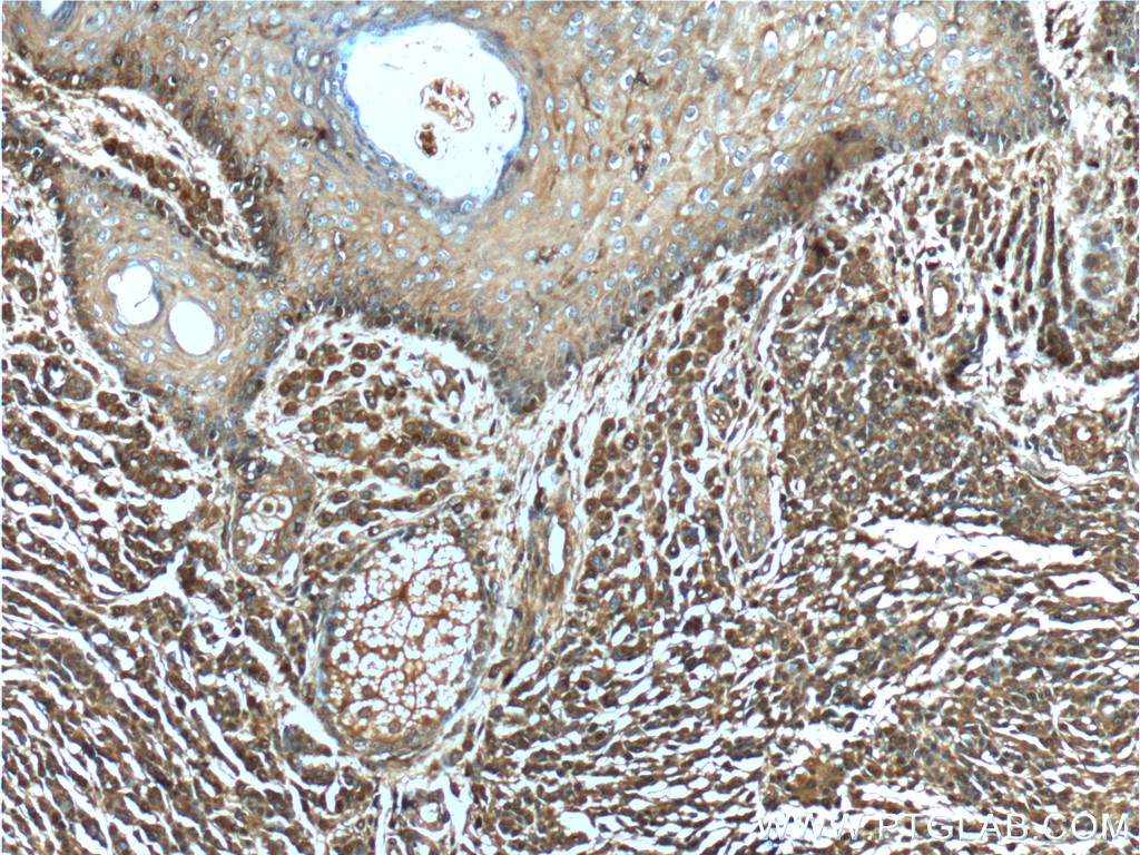
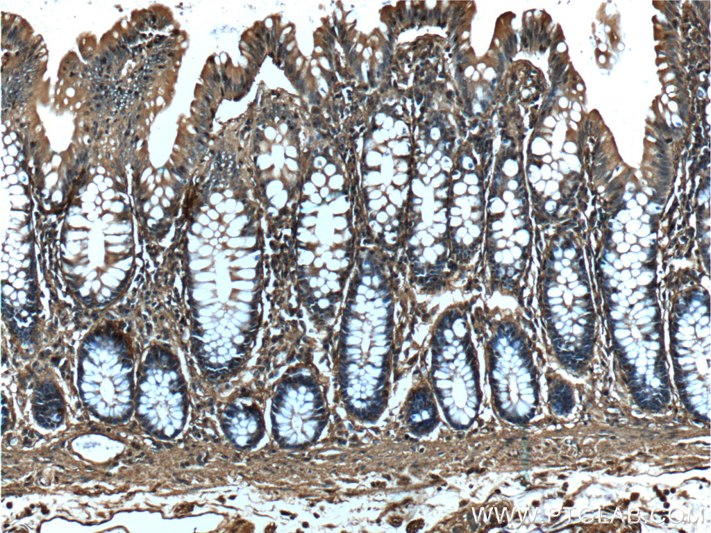
| Positive IHC detected in | human malignant melanoma tissue, human colon tissue, human spleen tissue Note: suggested antigen retrieval with TE buffer pH 9.0; (*) Alternatively, antigen retrieval may be performed with citrate buffer pH 6.0 |
| Positive IF/ICC detected in | HeLa cells |
| Positive FC (Intra) detected in | NIH/3T3 cells, HeLa cells |
推荐稀释比
| 应用 | 推荐稀释比 |
|---|---|
| Western Blot (WB) | WB : 1:5000-1:50000 |
| Immunohistochemistry (IHC) | IHC : 1:50-1:500 |
| Immunofluorescence (IF)/ICC | IF/ICC : 1:400-1:1600 |
| Flow Cytometry (FC) (INTRA) | FC (INTRA) : 0.25 ug per 10^6 cells in a 100 µl suspension |
| It is recommended that this reagent should be titrated in each testing system to obtain optimal results. | |
| Sample-dependent, Check data in validation data gallery. | |
发表文章中的应用
| IF | See 1 publications below |
产品信息
66245-1-Ig targets Annexin V in WB, IHC, IF/ICC, FC (Intra), ELISA applications and shows reactivity with human, mouse, pig samples.
| 经测试应用 | WB, IHC, IF/ICC, FC (Intra), ELISA Application Description |
| 文献引用应用 | IF |
| 经测试反应性 | human, mouse, pig |
| 文献引用反应性 | human |
| 免疫原 |
CatNo: Ag1538 Product name: Recombinant human ANXA5 protein Source: e coli.-derived, PET28a Tag: 6*His Domain: 1-320 aa of BC001429 Sequence: MAQVLRGTVTDFPGFDERADAETLRKAMKGLGTDEESILTLLTSRSNAQRQEISAAFKTLFGRDLLDDLKSELTGKFEKLIVALMKPSRLYDAYELKHALKGAGTNEKVLTEIIASRTPEELRAIKQVYEEEYGSSLEDDVVGDTSGYYQRMLVVLLQANRDPDAGIDEAQVEQDAQALFQAGELKWGTDEEKFITIFGTRSVSHLRKVFDKYMTISGFQIEETIDRETSGNLEQLLLAVVKSIRSIPAYLAETLYYAMKGAGTDDHTLIRVMVSRSEIDLFNIRKEFRKNFATSLYSMIKGDTSGDYKKALLLLCGEDD 种属同源性预测 |
| 宿主/亚型 | Mouse / IgG1 |
| 抗体类别 | Monoclonal |
| 产品类型 | Antibody |
| 全称 | annexin A5 |
| 别名 | Annexin A5, ANXA5, Anchorin CII, Annexin 5, Annexin-5 |
| 计算分子量 | 36 kDa |
| 观测分子量 | 36 kDa |
| GenBank蛋白编号 | BC001429 |
| 基因名称 | Annexin V |
| Gene ID (NCBI) | 308 |
| RRID | AB_2881634 |
| 偶联类型 | Unconjugated |
| 形式 | Liquid |
| 纯化方式 | Protein G purification |
| UNIPROT ID | P08758 |
| 储存缓冲液 | PBS with 0.02% sodium azide and 50% glycerol, pH 7.3. |
| 储存条件 | Store at -20°C. Stable for one year after shipment. Aliquoting is unnecessary for -20oC storage. |
背景介绍
Annexin A5 (ANXA5), is a member of the structurally related family of annexin proteins some of which have been implicated in membrane-related events along exocytotic and endocytotic pathways. Annexin 5 is a phospholipase A2 and protein kinase C inhibitory protein with calcium channel activity and a potential role in cellular signal transduction, inflammation, growth and differentiation. Annexin 5 has also been described as placental anticoagulant protein I, vascular anticoagulant-alpha, endonexin II, lipocortin V, placental protein 4 and anchorin CII.
实验方案
| Product Specific Protocols | |
|---|---|
| FC protocol for Annexin V antibody 66245-1-Ig | Download protocol |
| IF protocol for Annexin V antibody 66245-1-Ig | Download protocol |
| IHC protocol for Annexin V antibody 66245-1-Ig | Download protocol |
| WB protocol for Annexin V antibody 66245-1-Ig | Download protocol |
| Standard Protocols | |
|---|---|
| Click here to view our Standard Protocols |















