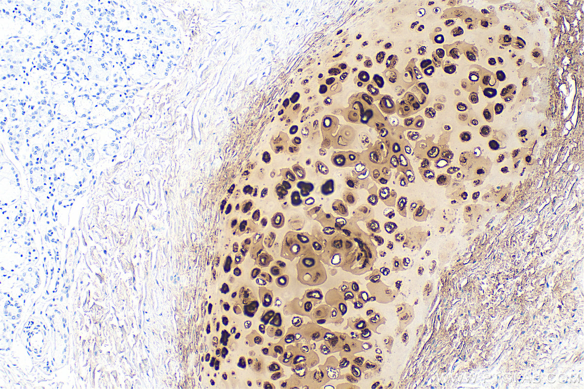
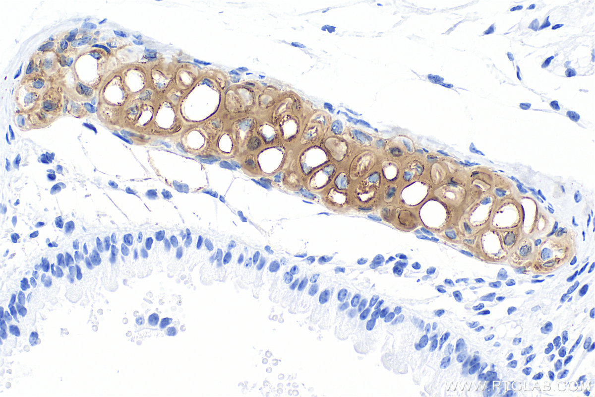
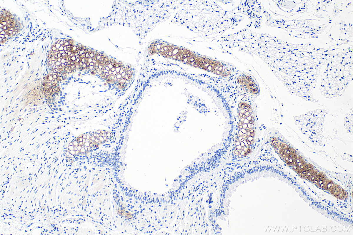
验证数据展示
产品信息
84819-5-PBS targets Aggrecan as part of a matched antibody pair:
MP01577-3: 84819-5-PBS capture and 84819-6-PBS detection (validated in Sandwich ELISA)
Unconjugated rabbit recombinant monoclonal antibody in PBS only (BSA and azide free) storage buffer at a concentration of 1 mg/mL, ready for conjugation. Created using Proteintech’s proprietary in-house recombinant technology. Recombinant production enables unrivalled batch-to-batch consistency, easy scale-up, and future security of supply.
This conjugation ready format makes antibodies ideal for use in many applications including: ELISAs, multiplex assays requiring matched pairs, mass cytometry, and multiplex imaging applications.Antibody use should be optimized by the end user for each application and assay.
| 经测试应用 | WB, Sandwich ELISA, Indirect ELISA, Sample test Application Description | 
| 经测试反应性 | human | 
| 免疫原 | 
                                             CatNo: Eg2994 Product name: Recombinant Human ACAN protein (rFc Tag) Source: mammalian cells-derived, V37 Tag: C-rFc Domain: 20-675 aa of NM_013227.4 Sequence: VETSDHDNSLSVSIPQPSPLRVLLGTSLTIPCYFIDPMHPVTTAPSTAPLAPRIKWSRVSKEKEVVLLVATEGRVRVNSAYQDKVSLPNYPAIPSDATLEVQSLRSNDSGVYRCEVMHGIEDSEATLEVVVKGIVFHYRAISTRYTLDFDRAQRACLQNSAIIATPEQLQAAYEDGFHQCDAGWLADQTVRYPIHTPREGCYGDKDEFPGVRTYGIRDTNETYDVYCFAEEMEGEVFYATSPEKFTFQEAANECRRLGARLATTGQLYLAWQAGMDMCSAGWLADRSVRYPISKARPNCGGNLLGVRTVYVHANQTGYPDPSSRYDAICYTGEDFVDIPENFFGVGGEEDITVQTVTWPDMELPLPRNITEGEARGSVILTVKPIFEVSPSPLEPEEPFTFAPEIGATAFAEVENETGEATRPWGFPTPGLGPATAFTSEDLVVQVTAVPGQPHLPGGVVFHYRPGPTRYSLTFEEAQQACLRTGAVIASPEQLQAAYEAGYEQCDAGWLRDQTVRYPIVSPRTPCVGDKDSSPGVRTYGVRPSTETYDVYCFVDRLEGEVFFATRLEQFTFQEALEFCESHNATLATTGQLYAAWSRGLDKCYAGWLADGSLRYPIVTPRPACGGDKPGVRTVYLYPNQTGLPDPLSRHHAFCFR 种属同源性预测 | 
                                    
| 宿主/亚型 | Rabbit / IgG | 
| 抗体类别 | Recombinant | 
| 产品类型 | Antibody | 
| 全称 | aggrecan | 
| 别名 | ACAN, AGC1, AGCAN, Aggrecan 1, Aggrecan core protein 2 | 
| 计算分子量 | 261 kDa | 
| GenBank蛋白编号 | NM_013227.4 | 
| 基因名称 | ACAN | 
| Gene ID (NCBI) | 176 | 
| 偶联类型 | Unconjugated | 
| 形式 | Liquid | 
| 纯化方式 | Protein A purification | 
| UNIPROT ID | P16112-1 | 
| 储存缓冲液 | PBS only, pH 7.3. | 
| 储存条件 | Store at -80°C.  The product is shipped with ice packs. Upon receipt, store it immediately at -80°C  | 

