验证数据展示
经过测试的应用
| Positive WB detected in | Jurkat cells, human kidney tissue | 
| Positive IP detected in | Jurkat cells | 
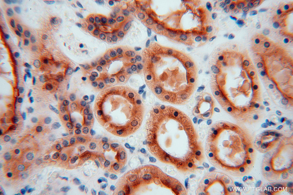
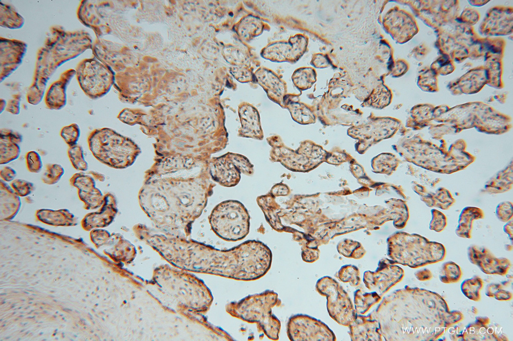
| Positive IHC detected in | human kidney tissue,  human brain tissue,  human heart tissue,  human liver tissue,  human ovary tissue,  human placenta tissue,  human skin tissue,  human spleen tissue,  human testis tissue Note: suggested antigen retrieval with TE buffer pH 9.0; (*) Alternatively, antigen retrieval may be performed with citrate buffer pH 6.0  | 
| Positive IF/ICC detected in | HEK-293 cells | 
推荐稀释比
| 应用 | 推荐稀释比 | 
|---|---|
| Western Blot (WB) | WB : 1:500-1:3000 | 
| Immunoprecipitation (IP) | IP : 0.5-4.0 ug for 1.0-3.0 mg of total protein lysate | 
| Immunohistochemistry (IHC) | IHC : 1:20-1:200 | 
| Immunofluorescence (IF)/ICC | IF/ICC : 1:20-1:200 | 
| It is recommended that this reagent should be titrated in each testing system to obtain optimal results. | |
| Sample-dependent, Check data in validation data gallery. | |
产品信息
16143-1-AP targets ATP6V1G1 in WB, IHC, IF/ICC, IP, ELISA applications and shows reactivity with human, mouse, rat samples.
| 经测试应用 | WB, IHC, IF/ICC, IP, ELISA Application Description | 
| 文献引用应用 | WB, IHC, IF | 
| 经测试反应性 | human, mouse, rat | 
| 文献引用反应性 | human, mouse, rat | 
| 免疫原 | 
                                             CatNo: Ag9217 Product name: Recombinant human ATP6V1G1 protein Source: e coli.-derived, PGEX-4T Tag: GST Domain: 1-118 aa of BC008452 Sequence: MASQSQGIQQLLQAEKRAAEKVSEARKRKNRRLKQAKEEAQAEIEQYRLQREKEFKAKEAAALGSRGSCSTEVEKETQEKMTILQTYFRQNRDEVLDNLLAFVCDIRPEIHENYRING 种属同源性预测 | 
                                    
| 宿主/亚型 | Rabbit / IgG | 
| 抗体类别 | Polyclonal | 
| 产品类型 | Antibody | 
| 全称 | ATPase, H+ transporting, lysosomal 13kDa, V1 subunit G1 | 
| 别名 | V-ATPase 13 kDa subunit 1, V ATPase subunit G 1, ATP6J, ATP6GL, ATP6G1 | 
| 计算分子量 | 118 aa, 14 kDa | 
| 观测分子量 | 14 kDa | 
| GenBank蛋白编号 | BC008452 | 
| 基因名称 | ATP6V1G1 | 
| Gene ID (NCBI) | 9550 | 
| RRID | AB_2062686 | 
| 偶联类型 | Unconjugated | 
| 形式 | Liquid | 
| 纯化方式 | Antigen affinity purification | 
| UNIPROT ID | O75348 | 
| 储存缓冲液 | PBS with 0.02% sodium azide and 50% glycerol, pH 7.3. | 
| 储存条件 | Store at -20°C. Stable for one year after shipment. Aliquoting is unnecessary for -20oC storage. | 
实验方案
| Product Specific Protocols | |
|---|---|
| IF protocol for ATP6V1G1 antibody 16143-1-AP | Download protocol | 
| IHC protocol for ATP6V1G1 antibody 16143-1-AP | Download protocol | 
| IP protocol for ATP6V1G1 antibody 16143-1-AP | Download protocol | 
| WB protocol for ATP6V1G1 antibody 16143-1-AP | Download protocol | 
| Standard Protocols | |
|---|---|
| Click here to view our Standard Protocols | 
发表文章
| Species | Application | Title | 
|---|---|---|
J Cell Physiol A pH-sensitive luminal His-cluster promotes interaction of PAM with V-ATPase along the secretory and endocytic pathways of peptidergic cells. | ||
PLoS One Acidification of endothelial Weibel-Palade bodies is mediated by the vacuolar-type H+-ATPase. | ||
EBioMedicine A GBM-like V-ATPase signature directs cell-cell tumor signaling and reprogramming via large oncosomes.
  | ||
EBioMedicine Specific V-ATPase expression sub-classifies IDHwt lower-grade gliomas and impacts glioma growth in vivo. | ||
Autophagy Inhibition of autophagy and induction of glioblastoma cell death by NEO214, a perillyl alcohol-rolipram conjugate | 





















