验证数据展示
经过测试的应用
| Positive WB detected in | HeLa cells, human liver tissue, human brain tissue, mouse brain tissue, HEK-293 cells |
| Positive IP detected in | mouse brain tissue |
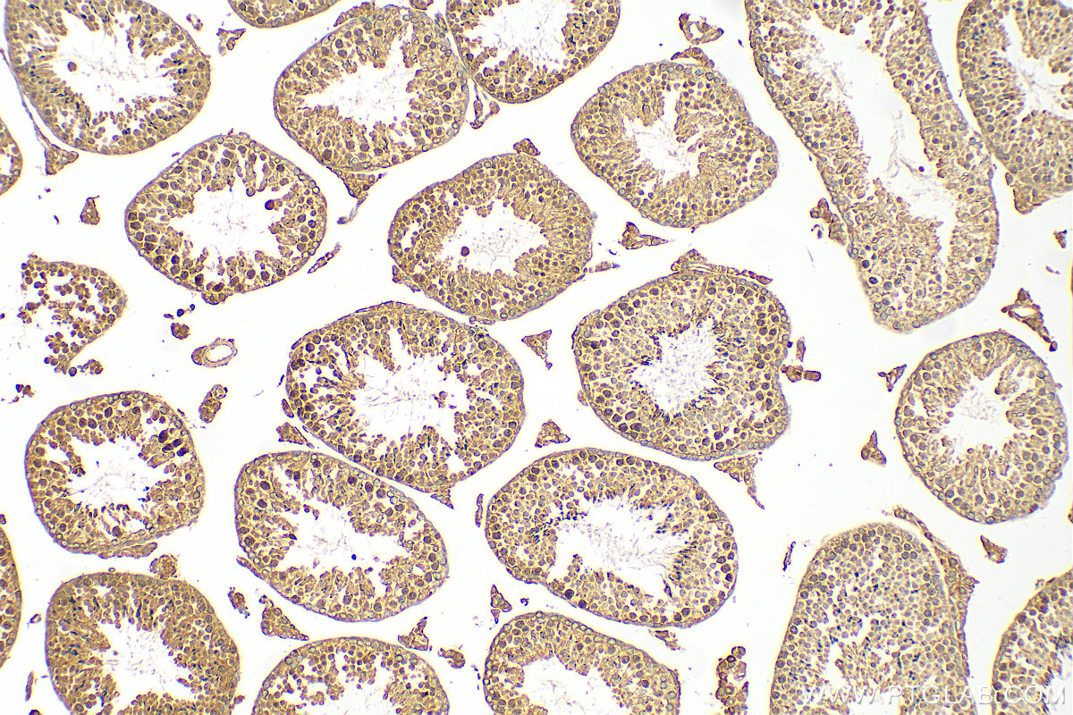
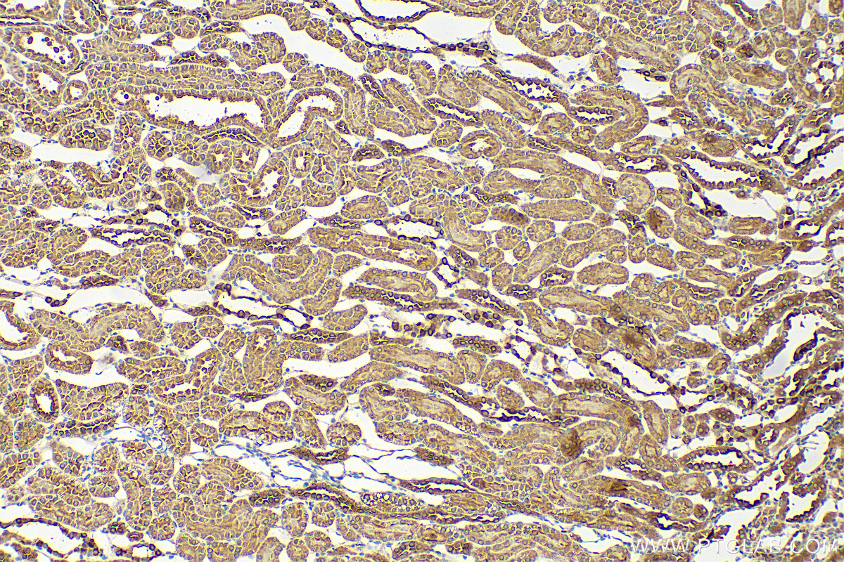
| Positive IHC detected in | mouse testis tissue, human testis tissue, mouse kidney tissue, rat kidney tissue Note: suggested antigen retrieval with TE buffer pH 9.0; (*) Alternatively, antigen retrieval may be performed with citrate buffer pH 6.0 |
推荐稀释比
| 应用 | 推荐稀释比 |
|---|---|
| Western Blot (WB) | WB : 1:1000-1:6000 |
| Immunoprecipitation (IP) | IP : 0.5-4.0 ug for 1.0-3.0 mg of total protein lysate |
| Immunohistochemistry (IHC) | IHC : 1:50-1:500 |
| It is recommended that this reagent should be titrated in each testing system to obtain optimal results. | |
| Sample-dependent, Check data in validation data gallery. | |
产品信息
15280-1-AP targets ATP6V1E1 in WB, IHC, IF, IP, ELISA applications and shows reactivity with human, mouse, rat samples.
| 经测试应用 | WB, IP, IHC, ELISA Application Description |
| 文献引用应用 | WB, IHC, IF |
| 经测试反应性 | human, mouse, rat |
| 文献引用反应性 | human, mouse, pig |
| 免疫原 |
CatNo: Ag7399 Product name: Recombinant human ATP6V1E1 protein Source: e coli.-derived, PGEX-4T Tag: GST Domain: 1-226 aa of BC004443 Sequence: MALSDADVQKQIKHMMAFIEQEANEKAEEIDAKAEEEFNIEKGRLVQTQRLKIMEYYEKKEKQIEQQKKIQMSNLMNQARLKVLRARDDLITDLLNEAKQRLSKVVKDTTRYQVLLDGLVLQGLYQLLEPRMIVRCRKQDFPLVKAAVQKAIPMYKIATKNDVDVQIDQESYLPEDIAGGVEIYNGDRKIKVSNTLESRLDLIAQQMMPEVRGALFGANANRKFLD 种属同源性预测 |
| 宿主/亚型 | Rabbit / IgG |
| 抗体类别 | Polyclonal |
| 产品类型 | Antibody |
| 全称 | ATPase, H+ transporting, lysosomal 31kDa, V1 subunit E1 |
| 别名 | ATP6E, ATP6E2, ATP6V1E, ATP6V1E1, P31, V ATPase 31 kDa subunit, V ATPase subunit E 1, Vma4 |
| 计算分子量 | 26 kDa |
| 观测分子量 | 31 kDa |
| GenBank蛋白编号 | BC004443 |
| 基因名称 | ATP6V1E1 |
| Gene ID (NCBI) | 529 |
| RRID | AB_2062545 |
| 偶联类型 | Unconjugated |
| 形式 | Liquid |
| 纯化方式 | Antigen affinity purification |
| UNIPROT ID | P36543 |
| 储存缓冲液 | PBS with 0.02% sodium azide and 50% glycerol, pH 7.3. |
| 储存条件 | Store at -20°C. Stable for one year after shipment. Aliquoting is unnecessary for -20oC storage. |
背景介绍
ATP6V1E1, also named as ATP6E, ATP6E2 and p31, belongs to the V-ATPase E subunit family. It is a subunit of the peripheral V1 complex of vacuolar ATPase essential for assembly or catalytic function. V-ATPase is responsible for acidifying a variety of intracellular compartments in eukaryotic cells. V-ATPase and the lack of mycobacterial phagosome acidification are directly attributed to the Mtb protein tyrosine phosphatase PtpA.
实验方案
| Product Specific Protocols | |
|---|---|
| IHC protocol for ATP6V1E1 antibody 15280-1-AP | Download protocol |
| IP protocol for ATP6V1E1 antibody 15280-1-AP | Download protocol |
| WB protocol for ATP6V1E1 antibody 15280-1-AP | Download protocol |
| Standard Protocols | |
|---|---|
| Click here to view our Standard Protocols |
发表文章
| Species | Application | Title |
|---|---|---|
Proc Natl Acad Sci U S A Mycobacterium tuberculosis protein tyrosine phosphatase (PtpA) excludes host vacuolar-H+-ATPase to inhibit phagosome acidification.
| ||
J Biol Chem The ROGDI protein mutated in Kohlschutter-Tonz syndrome is a novel subunit of the Rabconnectin-3 complex implicated in V-ATPase assembly | ||
J Cell Sci Neutral sphingomyelinase 2 controls exosome secretion by counteracting V-ATPase-mediated endosome acidification. | ||
Microorganisms Exopolysaccharides from Bifidobacterium animalis Ameliorate Escherichia coli-Induced IPEC-J2 Cell Damage via Inhibiting Apoptosis and Restoring Autophagy. | ||
J Proteomics iTRAQ-based quantitative proteomic analysis for identification of oligodendroglioma biomarkers related with loss of heterozygosity on chromosomal arm 1p. | ||
Vet Res Butyrate-mediated autophagy inhibition limits cytosolic Salmonella Infantis replication in the colon of pigs treated with a mixture of Lactobacillus and Bacillus. |














