IHCeasy® ATP6V1E1 Ready-To-Use IHC Kit
ATP6V1E1 Ready-to-use reagent kit for IHC.
Reactivity
Human, Mouse, Rat
Sample Type
FFPE tissue
Cat no : KHC1354
Synonyms
ATP6E, ATP6E2, ATP6V1E, ATP6V1E1, P31, V ATPase 31 kDa subunit, V ATPase subunit E 1, Vma4
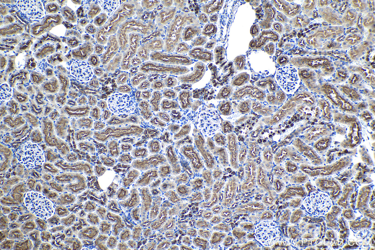
Validation Data Gallery
Product Information
KHC1354 is a ready-to-use IHC kit for staining of ATP6V1E1. The kit provides all reagents, from antigen retrieval to cover slip mounting, that require little to no diluting or handling prior to use. Simply apply the reagents to your sample slide according to the protocol and you're steps away from obtaining high-quality IHC data.
| Product name | IHCeasy ATP6V1E1 Ready-To-Use IHC Kit |
| Sample type | FFPE tissue |
| Assay type | Immunohistochemistry |
| Primary antibody type | Rabbit Polyclonal |
| Secondary antibody type | Polymer-HRP-Goat anti-Rabbit |
| Reactivity | Human, Mouse, Rat |
Kit components
| Component | Size | Concentration |
|---|---|---|
| Antigen Retrieval Buffer | 100 mL | 50× |
| Washing Buffer | 100 mL ×2 | 20× |
| Blocking Buffer | 5 mL | RTU |
| Primary Antibody | 5 mL | RTU |
| Secondary Antibody | 5 mL | RTU |
| Chromogen Component A | 0.2 mL | RTU |
| Chromogen Component B | 4 mL | RTU |
| Signal Enhancer | 5 mL | RTU |
| Counter Staining Reagent | 5 mL | RTU |
| Mounting Media | 5 mL | RTU |
| Datasheet | 1 Copy | |
| Manual | 1 Copy |
Background Information
ATP6V1E1, also named as ATP6E, ATP6E2 and p31, belongs to the V-ATPase E subunit family. It is a subunit of the peripheral V1 complex of vacuolar ATPase essential for assembly or catalytic function. V-ATPase is responsible for acidifying a variety of intracellular compartments in eukaryotic cells. V-ATPase and the lack of mycobacterial phagosome acidification are directly attributed to the Mtb protein tyrosine phosphatase PtpA.
Properties
| Storage Instructions | All the reagents are stored at 2-8°C. The kit is stable for 6 months from the date of receipt. |
| Synonyms | ATP6E, ATP6E2, ATP6V1E, ATP6V1E1, P31, V ATPase 31 kDa subunit, V ATPase subunit E 1, Vma4 |




